症例詳細
Case detail
歯並びや奥歯の痛み 色々と治したい 総合歯科診療
- 患者様
- 40代男性
- 矯正装置
- インビザライン
- 治療期間
- 4年3ヶ月
- 治療回数
- 10-30回
- 治療計画
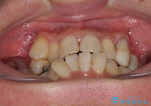
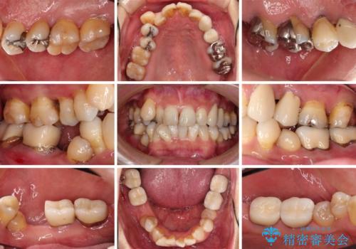
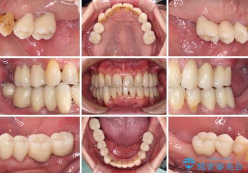
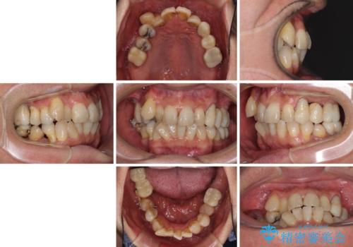
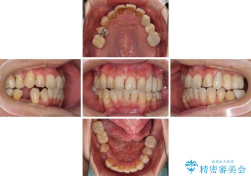
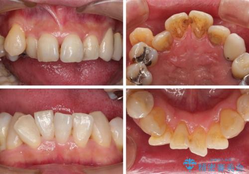
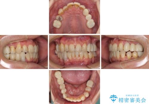
- 歯並びやグラグラする奥歯など、気になる所を全部治したいとのことで来院された患者様です。
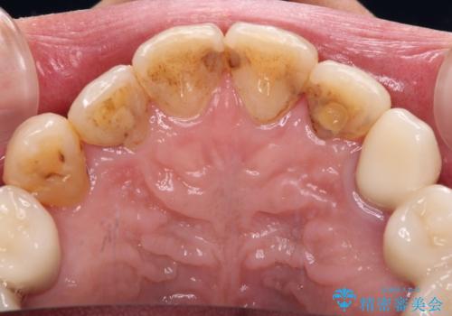
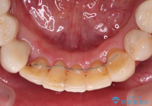
奥歯は咬み合わせや歯周病により歯槽骨が失われていたり、むし歯や破折している歯などがあったりと、歯周病治療やインプラント補綴、矯正治療など、総合的に治療が必要と診断されました。
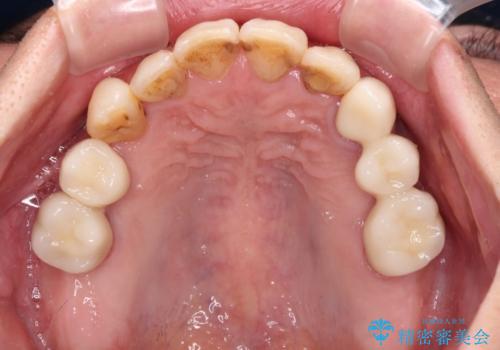
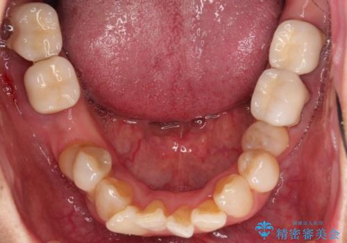
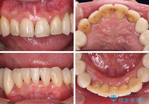
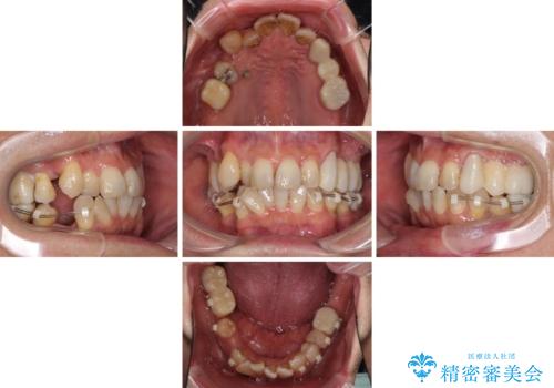
まずは歯周病治療やインプラント埋入を行い、環境が整った後にワイヤーを併用したインビザライン矯正を行い、オールセラミッククラウンにて補綴治療を行うこととしました。
- 費用(概算)
- 治療費の目安: 330万円(税込)費用は治療当時の料金となります
治療について
初診時に4年かかりますとお伝えし、実際に4年数ヶ月を要する治療となりました。
治療中は仮歯が頻繁に脱落したり、歯周外科によりむき出しとなった歯根が知覚過敏を起こしたりと、苦労は絶えませんでしたが、4年の治療の後にスッキリと仕上げることができました。
セラミック治療の注意事項(リスク・副作用など)
- 天然歯を削ります
- 硬い素材は天然歯を傷つけてしまう場合があります
- かみ合わせや歯ぎしりが強すぎる方はセラミックが割れてしまう可能性があります
- 自費診療(保険適用外治療)となります
インプラント治療の注意事項(リスク・副作用など)
- 外科手術のため、術後に痛みや腫れ、違和感を伴います
- メンテナンスを怠ったり喫煙により、お口の中に大きな悪影響を及ぼすインプラント周囲炎等にかかる可能性があります
- 糖尿病、肝硬変、心臓病等の場合、インプラント治療ができない可能性があります
- 高血圧、貧血・不整脈等の場合、インプラント治療後に治癒不全を招く可能性があります
- 自費診療(保険適用外治療)となります
マウスピース矯正の注意事項(リスク・副作用など)
- 口腔内・歯並びの状態によっては対応できない場合があります
- マウスピース型矯正装置の長時間装着(1日20時間以上)が必須です
- 治療計画通りに進めるためには、患者様の意志が重要になります
- 矯正治療後の保定が不十分だと後戻り(元の位置に戻ろうとする動き)をします
- 薬機法対象外の矯正歯科装置のため医薬品副作用被害救済制度の対象外となる場合があります
- 自費診療(保険適用外)となります
歯周病治療の注意事項(リスク・副作用など)
- 外科手術のため、術後に痛みや腫れ、違和感を伴います
- 歯周組織再生治療は患者様の状態によって術後の経過が異なります(見た目が改善しない場合もあります)
- 歯周組織再生治療は自費診療(保険適用外)となります
当サイトの内容、テキスト、画像等の無断転載、複製、複写、盗用を固く禁じます。




































