症例詳細
Case detail
転んで前歯が欠けた 折れた前歯をきっかけに矯正治療で歯列をきれいに整える
治療症例の内容
- 患者様
- 30代女性
- 矯正装置
- インビザライン
- 治療期間
- 2年9ヶ月
- 治療回数
- 10-30回
- 治療計画
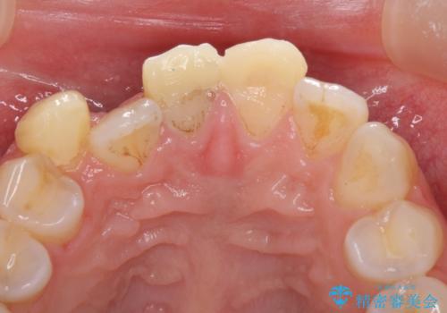
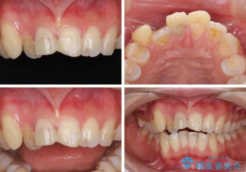
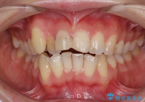
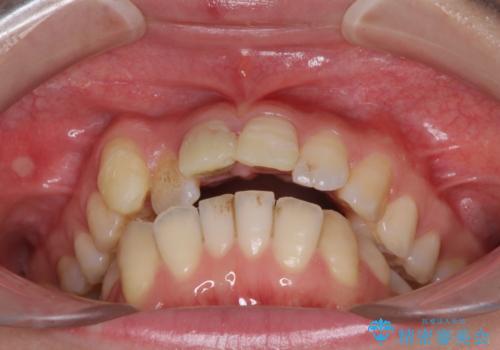
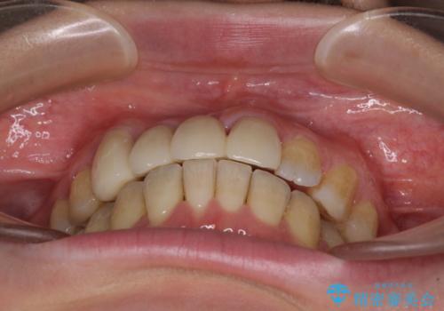
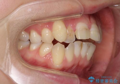
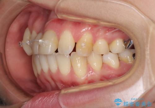
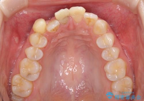
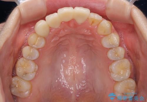
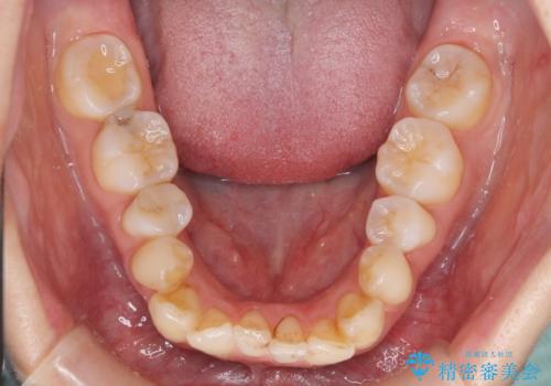
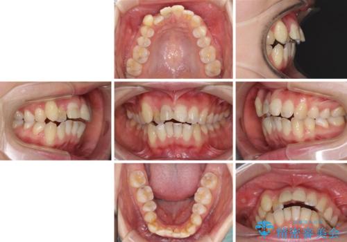
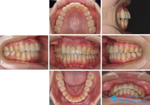
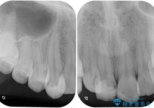
- 転倒により前歯の一部が欠けてしまったとのことで来院された患者様です。
神経が保存できる歯、神経を除去しなければならない歯、抜歯が必要な歯があり、ブリッジやインプラントなどによる治療を提案しました。
元々歯並びが気になっていたとのことで、前歯の治療を行うことを契機に矯正治療も行うこととしました。
本来であれば積極的に小臼歯を抜歯して口元を下げても良いのですが、前歯を1本抜歯しないといけなくなったため、非抜歯矯正をインビザラインを用いて行うこととしました。
- 費用(概算)
- 治療費の目安: 180万円(税込)費用は治療当時の料金となります
治療について
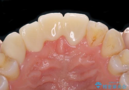
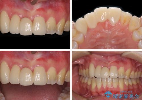
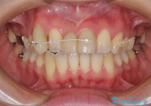
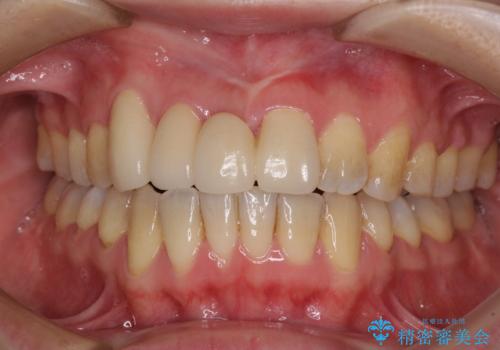
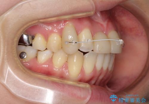
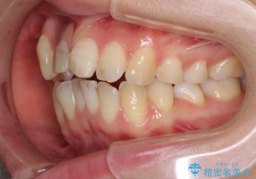
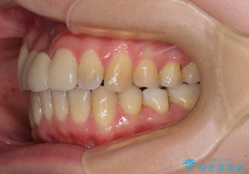
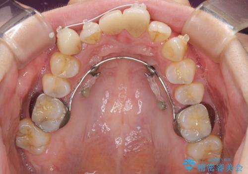
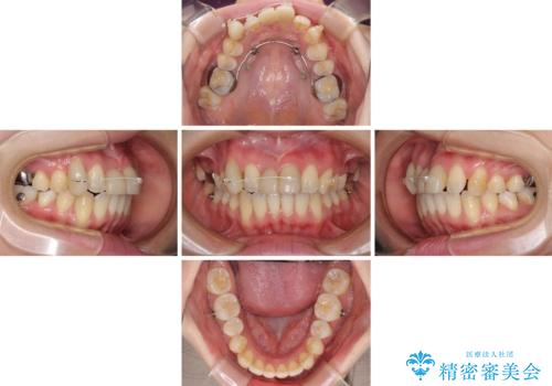
補助装置により上顎歯列を遠心移動させたため、非抜歯でしたが口元の突出感をある程度改善させることができました。
欠けてしまった前歯もオールセラミッククラウンにて自然に補綴することができました。
マウスピース矯正の注意事項(リスク・副作用など)
- 口腔内・歯並びの状態によっては対応できない場合があります
- マウスピース型矯正装置の長時間装着(1日20時間以上)が必須です
- 治療計画通りに進めるためには、患者様の意志が重要になります
- 矯正治療後の保定が不十分だと後戻り(元の位置に戻ろうとする動き)をします
- 薬機法対象外の矯正歯科装置のため医薬品副作用被害救済制度の対象外となる場合があります
- 自費診療(保険適用外)となります
セラミック治療の注意事項(リスク・副作用など)
- 天然歯を削ります
- 硬い素材は天然歯を傷つけてしまう場合があります
- かみ合わせや歯ぎしりが強すぎる方はセラミックが割れてしまう可能性があります
- 自費診療(保険適用外治療)となります
当サイトの内容、テキスト、画像等の無断転載、複製、複写、盗用を固く禁じます。


































