症例詳細
Case detail
反対咬合で痛む前歯を改善 インビザラインによる矯正治療
- 患者様
- 40代女性
- 矯正装置
- インビザライン
- 治療期間
- 2年6ヶ月
- 治療回数
- 10-30回
- 治療計画
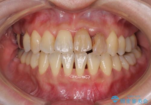
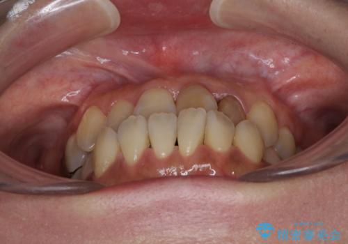
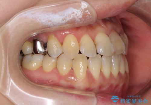
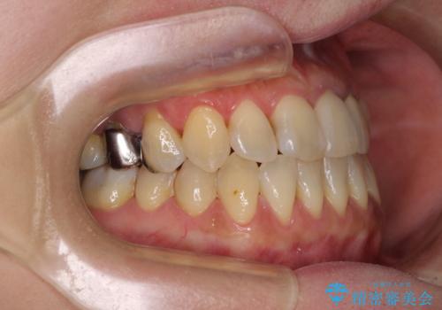
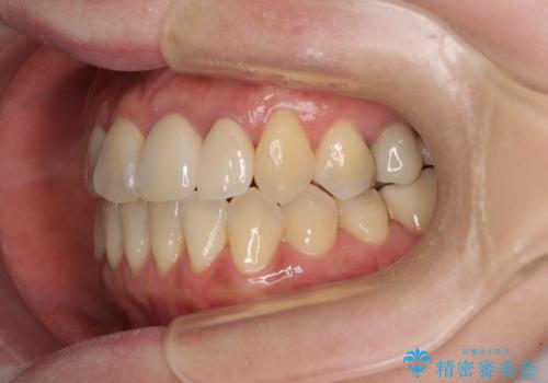
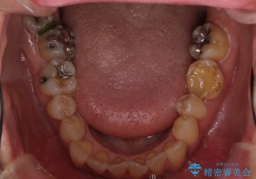
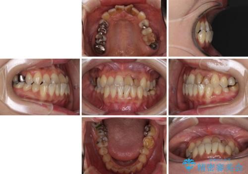
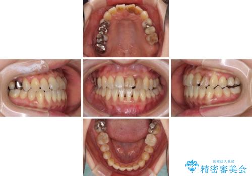
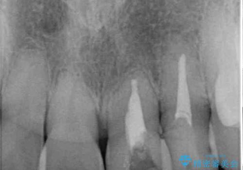
- 前歯の反対咬合により、日々強い痛みを感じているとのことで来院された患者様です。
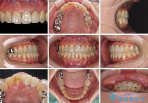
骨格的に下顎が前方位にありますが、歯列矯正で前歯の被蓋関係を改善することができると判断されたため、インビザラインにより矯正治療を行うこととしました。
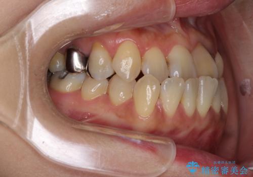
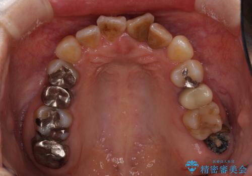
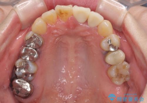
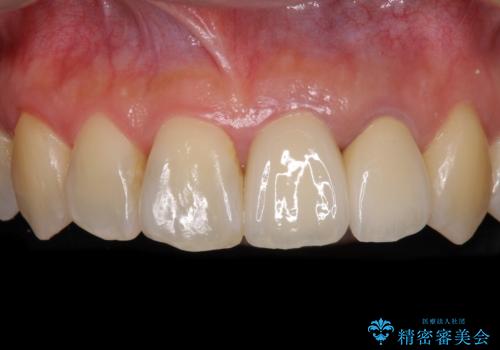
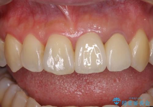
また、上顎前歯と下顎大臼歯に神経を取り除いた歯があったため、矯正治療後に、セラミッククラウンにて補綴することとしました。
- 費用(概算)
- 治療費の目安: 120万円費用は治療当時の料金となります
治療について
前歯が内側に倒れ込む力がかかり、正常な歯ぎしりもできないため、非常に負担のかかりやすい咬み合わせでした。
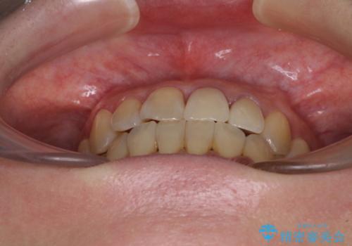
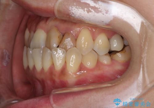
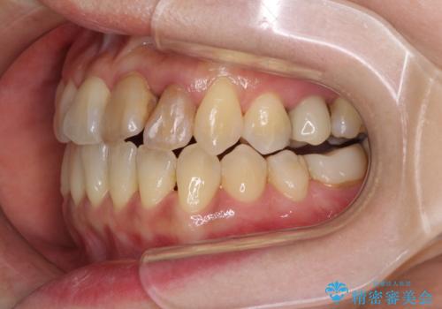
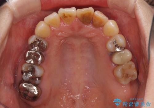
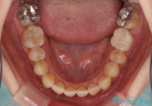
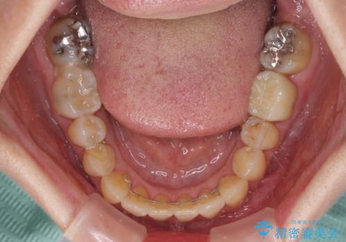
矯正治療中に上顎前歯が下顎前歯を乗り越える際は、前歯でしか咬めない状況が続くため、食事など不便を感じましたが、治療後には前歯の痛みもなくなり、安定した咬み合わせとなりました。
マウスピース矯正の注意事項(リスク・副作用など)
- 口腔内・歯並びの状態によっては対応できない場合があります
- マウスピース型矯正装置の長時間装着(1日20時間以上)が必須です
- 治療計画通りに進めるためには、患者様の意志が重要になります
- 矯正治療後の保定が不十分だと後戻り(元の位置に戻ろうとする動き)をします
- 薬機法対象外の矯正歯科装置のため医薬品副作用被害救済制度の対象外となる場合があります
- 自費診療(保険適用外)となります
セラミック治療の注意事項(リスク・副作用など)
- 天然歯を削ります
- 硬い素材は天然歯を傷つけてしまう場合があります
- かみ合わせや歯ぎしりが強すぎる方はセラミックが割れてしまう可能性があります
- 自費診療(保険適用外治療)となります
当サイトの内容、テキスト、画像等の無断転載、複製、複写、盗用を固く禁じます。
































