症例詳細
Case detail
出っ歯を改善した後に真っ白な歯に 矯正歯科治療と審美歯科治療
- 患者様
- 50代女性
- 矯正装置
- 審美装置
- 治療期間
- 2年10ヶ月
- 治療回数
- 10-30回
- 治療計画
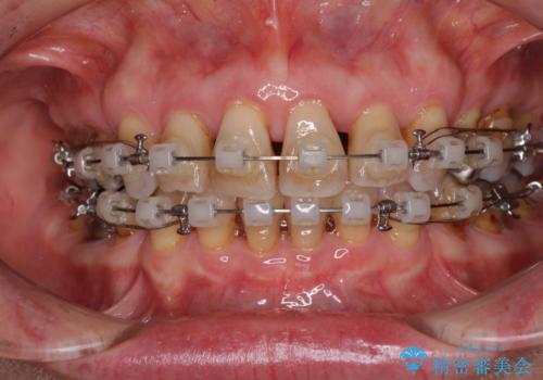
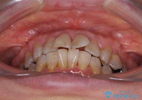
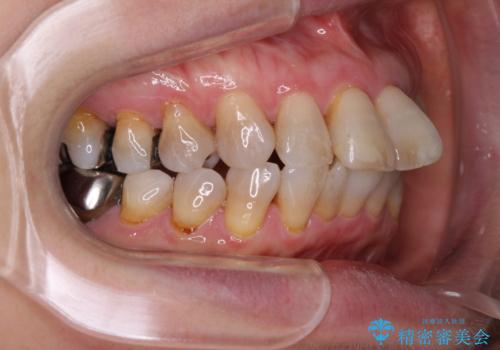
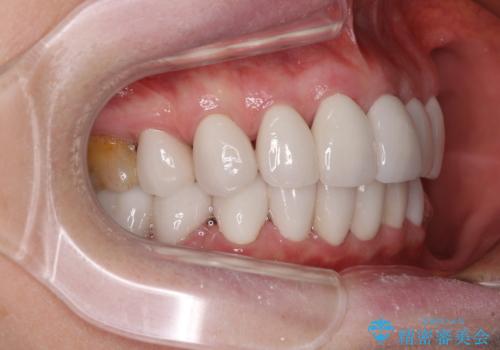
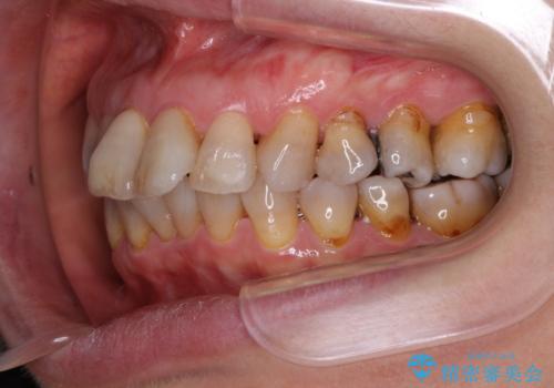
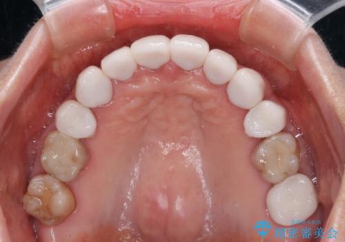
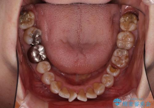
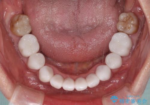
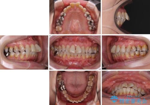
- 口元の突出感と歯の色を気にして来院された患者様です。
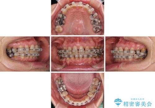
口元を引っ込めるために上下左右第一小臼歯4本を抜歯し、ワイヤー矯正を行うこととしました。
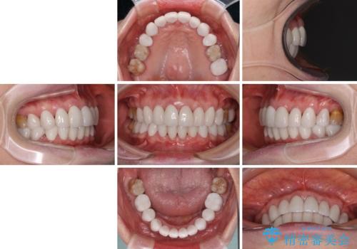
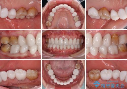
歯の色はホワイトニングかセラミッククラウンで対応することとしましたが、ブラックトライアングルが目立つことが予想されたため、目立つ範囲をオールセラミッククラウンで補綴することとしました。
- 費用(概算)
- 治療費の目安: 330万円費用は治療当時の料金となります
治療について
矯正治療をせず、セラミッククラウンので口元の突出感を改善しようとしても、神経を取り除く必要があったり、口元の突出感はあまり改善されなかったりと、後悔する可能性が高くなります。
セラミック治療の注意事項(リスク・副作用など)
- 天然歯を削ります
- 硬い素材は天然歯を傷つけてしまう場合があります
- かみ合わせや歯ぎしりが強すぎる方はセラミックが割れてしまう可能性があります
- 自費診療(保険適用外治療)となります
ワイヤー矯正の注意事項(リスク・副作用など)
- 治療中は違和感や痛みが起こることがあります
- 症状により、抜歯が必要な場合があります
- 治療中は歯磨きがしにくくなるため、虫歯や歯周病になりやすくなります
- 矯正治療後の保定が不十分だと後戻り(元の位置に戻ろうとする動き)をします
- 自費診療(保険適用外)となります
当サイトの内容、テキスト、画像等の無断転載、複製、複写、盗用を固く禁じます。




























