症例詳細
Case detail
矯正の後戻りと変色歯を治したい 総合歯科診療
治療症例の内容
- 患者様
- 50代女性
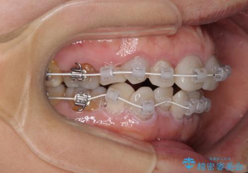
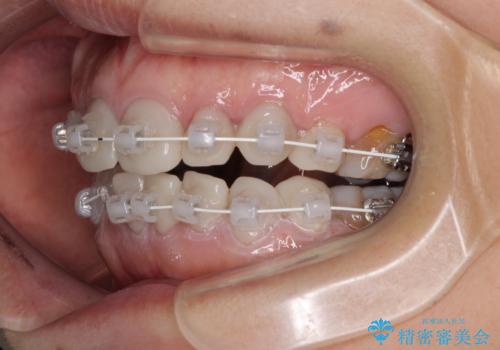
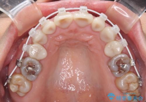
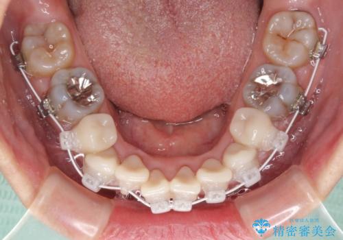
- 矯正装置
- 審美装置
- 治療期間
- 1年3ヶ月
- 治療回数
- 10-30回
- 治療計画
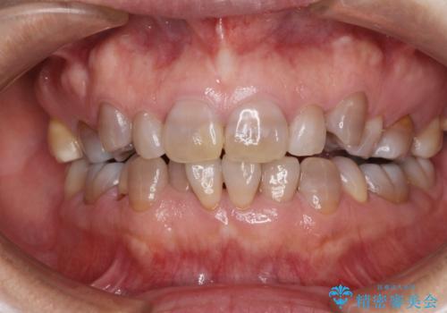
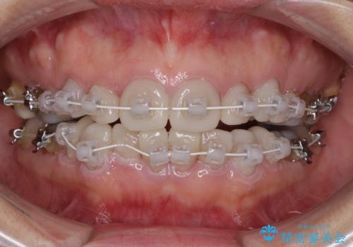
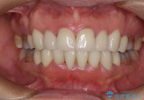
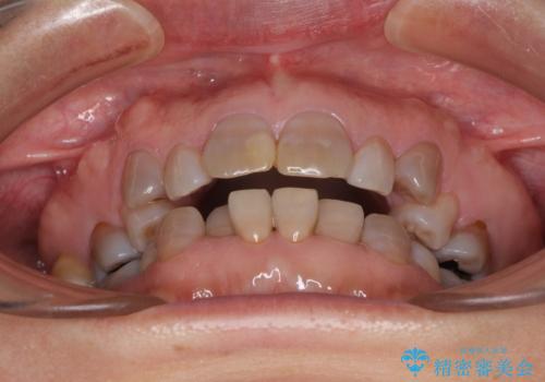
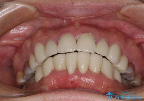
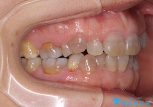
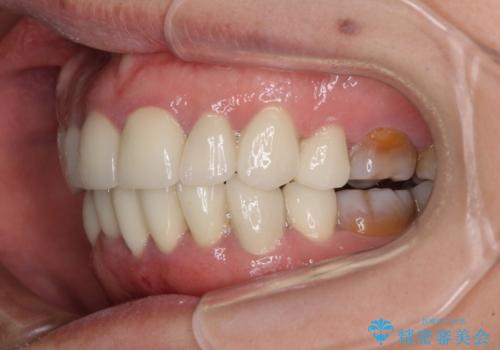
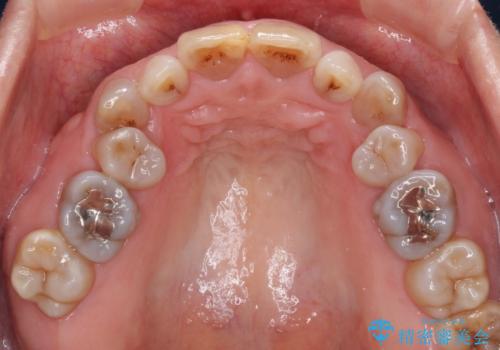
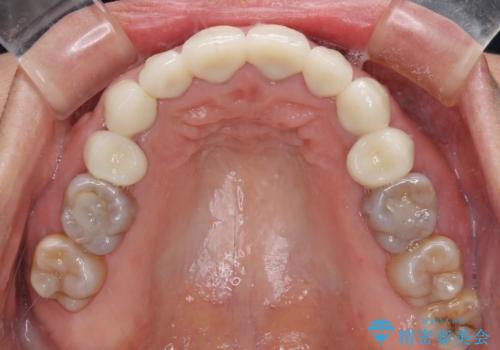
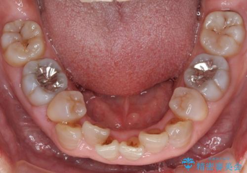
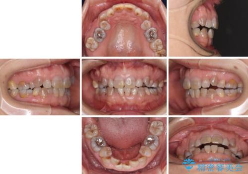
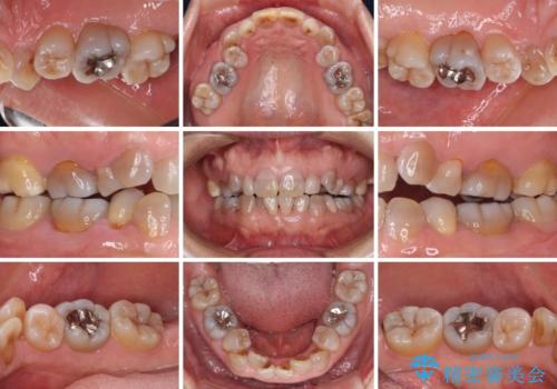
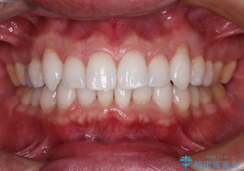
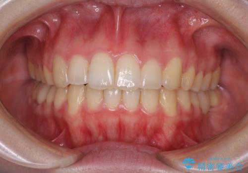
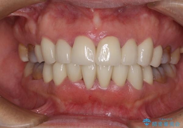
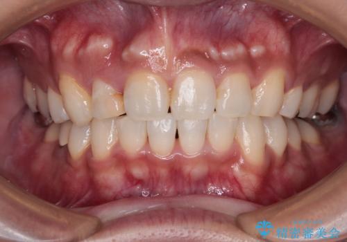
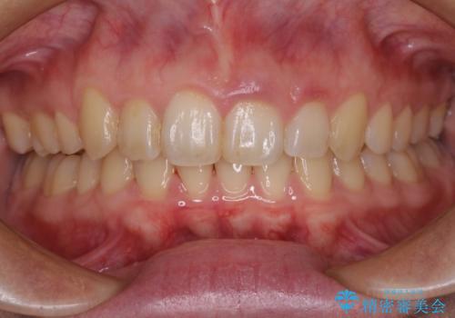
- 小さいころからの歯の変色と矯正治療の後戻りを気にして来院された患者様です。
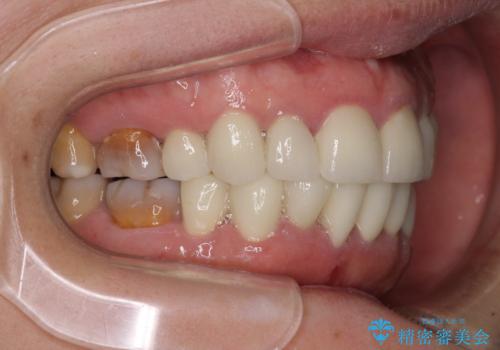
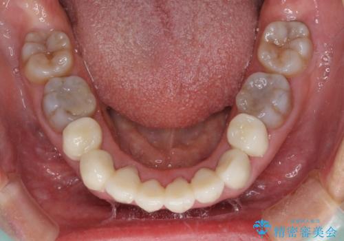
気になる変色歯を仮歯に変え、その後歯列不正を矯正治療で改善し、最後にオールセラミッククラウンにて補綴治療することとしました。
- 費用(概算)
- 治療費の目安: 250万円費用は治療当時の料金となります
治療について
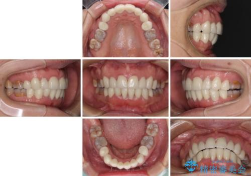
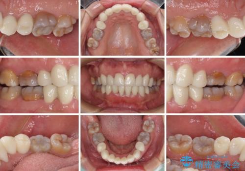
数十年に及んだ歯の変色が改善されたため、大変満足していただきました。
セラミック治療の注意事項(リスク・副作用など)
- 天然歯を削ります
- 硬い素材は天然歯を傷つけてしまう場合があります
- かみ合わせや歯ぎしりが強すぎる方はセラミックが割れてしまう可能性があります
- 自費診療(保険適用外治療)となります
ワイヤー矯正の注意事項(リスク・副作用など)
- 治療中は違和感や痛みが起こることがあります
- 症状により、抜歯が必要な場合があります
- 治療中は歯磨きがしにくくなるため、虫歯や歯周病になりやすくなります
- 矯正治療後の保定が不十分だと後戻り(元の位置に戻ろうとする動き)をします
- 自費診療(保険適用外)となります
当サイトの内容、テキスト、画像等の無断転載、複製、複写、盗用を固く禁じます。
































