症例詳細
Case detail
歯列不正と歯周病 総合歯科治療による全顎治療
- 患者様
 - 50代男性
 
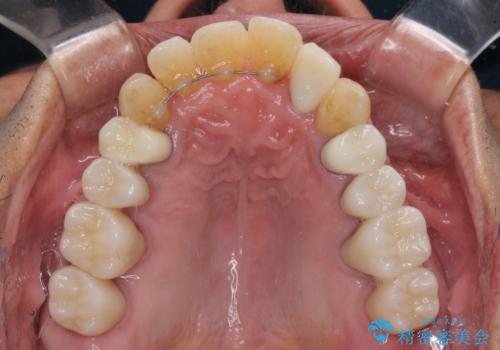
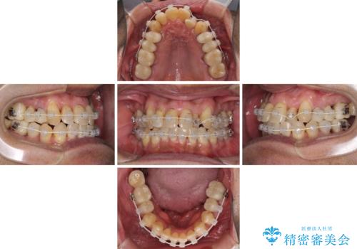
- 矯正装置
 - 審美装置
 
- 治療期間
 - 3年8ヶ月
 
- 治療回数
 - 30回以上
 
- 治療計画
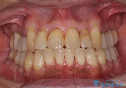
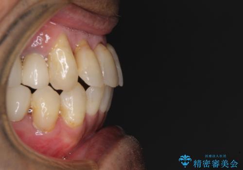
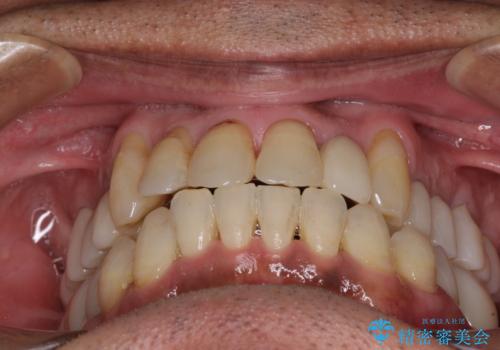
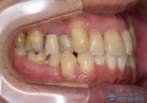
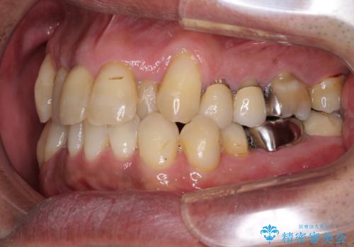
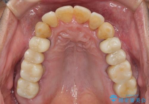
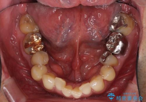
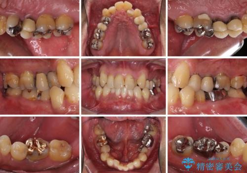
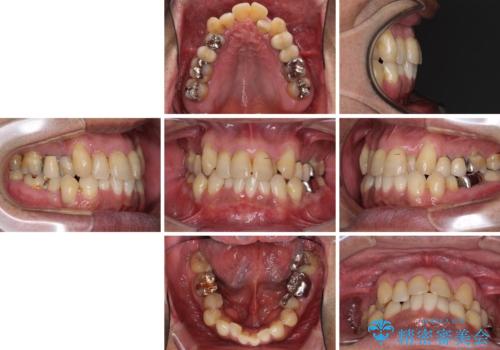
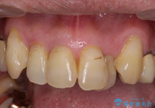
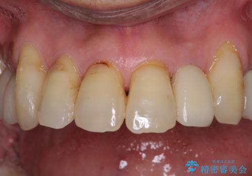
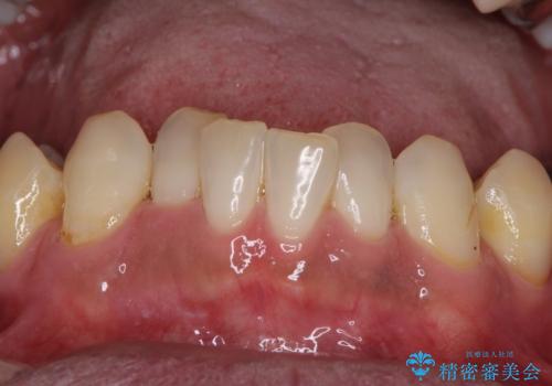
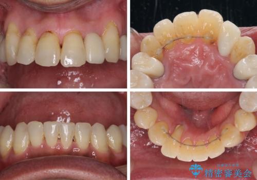
 - 前歯がのデコボコや、奥歯に咬んだときに痛みがあるとのことで来院された患者様です。
全体的に問題が多く、全てをしっかりと治療したいとのことでした。
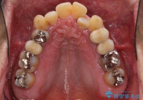
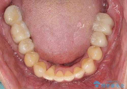
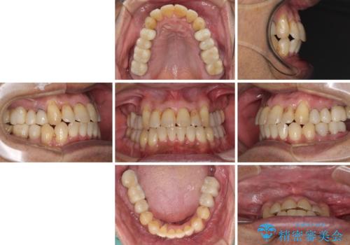
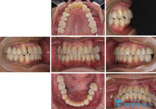
全体的に中等度の歯周病と診断されたため、歯周外科処置やインプラントによる咬合回復から進めて行き、矯正治療による歯列改善を行った後にオールセラミッククラウンにて補綴することとしました。 
- 費用(概算)
 - 治療費の目安: 350万円費用は治療当時の料金となります
 
治療について
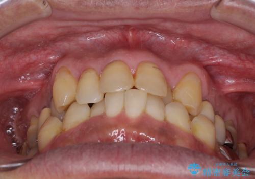
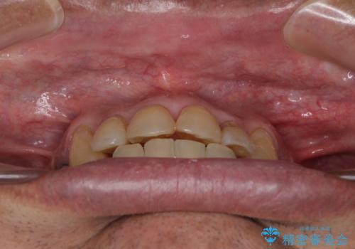
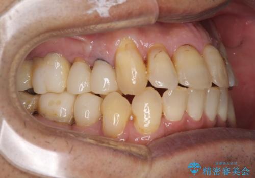
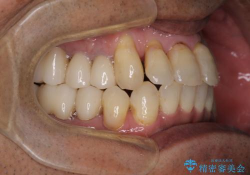
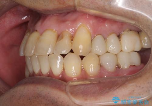
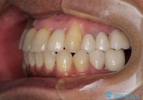
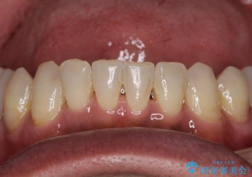
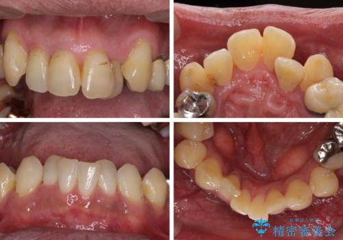
歯槽骨の再生治療を行ったため、外科処置後の静置期間がながくなり、4年弱の治療期間となりました。
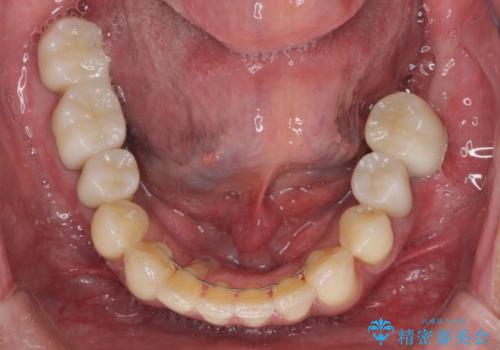
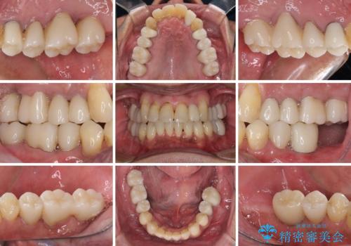
初診来院時には矯正治療を行うことは想像していなかったようで、治療後には咬みやすさだけでなく、前歯が大変審美的に仕上がり、患者様には大変満足していただきました。
セラミック治療の注意事項(リスク・副作用など)
- 天然歯を削ります
 - 硬い素材は天然歯を傷つけてしまう場合があります
 - かみ合わせや歯ぎしりが強すぎる方はセラミックが割れてしまう可能性があります
 - 自費診療(保険適用外治療)となります
 
インプラント治療の注意事項(リスク・副作用など)
- 外科手術のため、術後に痛みや腫れ、違和感を伴います
 - メンテナンスを怠ったり喫煙により、お口の中に大きな悪影響を及ぼすインプラント周囲炎等にかかる可能性があります
 - 糖尿病、肝硬変、心臓病等の場合、インプラント治療ができない可能性があります
 - 高血圧、貧血・不整脈等の場合、インプラント治療後に治癒不全を招く可能性があります
 - 自費診療(保険適用外治療)となります
 
ワイヤー矯正の注意事項(リスク・副作用など)
- 治療中は違和感や痛みが起こることがあります
 - 症状により、抜歯が必要な場合があります
 - 治療中は歯磨きがしにくくなるため、虫歯や歯周病になりやすくなります
 - 矯正治療後の保定が不十分だと後戻り(元の位置に戻ろうとする動き)をします
 - 自費診療(保険適用外)となります
 
歯周病治療の注意事項(リスク・副作用など)
- 外科手術のため、術後に痛みや腫れ、違和感を伴います
 - 歯周組織再生治療は患者様の状態によって術後の経過が異なります(見た目が改善しない場合もあります)
 - 歯周組織再生治療は自費診療(保険適用外)となります
 
根管治療の注意事項(リスク・副作用など)
- 根管治療により類似の全ての症例の問題が解決するわけではなく、症例はあくまでも一例です
 - 根管治療により痛みや腫れがひかない事や、術後に痛みや腫れが生じる事、治療によるファイル破折やパーフォレーションなどの偶発症、術後の歯根破折を生じる可能性もあります
 - 自費診療(保険適用外)となります
 
当サイトの内容、テキスト、画像等の無断転載、複製、複写、盗用を固く禁じます。

                      
                                                          



































