症例詳細
Case detail
深い咬み合わせと奥歯のむし歯 総合歯科治療
- 患者様
- 20代女性
- 矯正装置
- 審美装置
- 治療期間
- 2年4ヶ月
- 治療回数
- 10-30回
- 治療計画
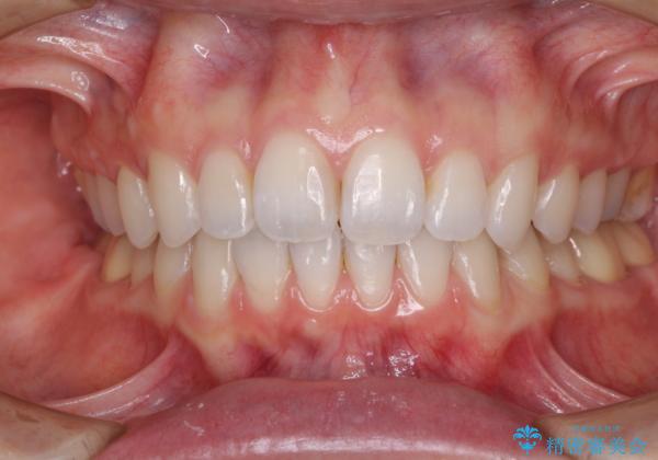
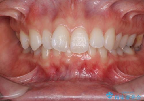
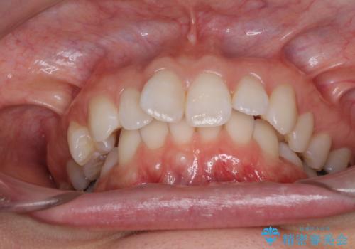
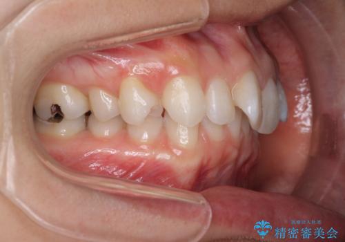
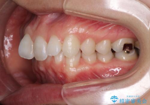
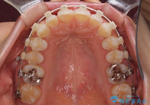
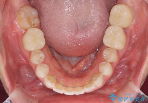
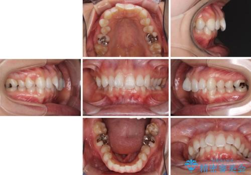
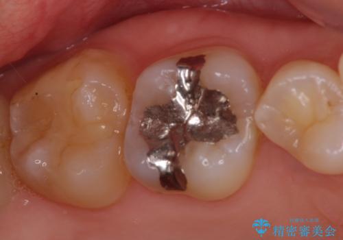
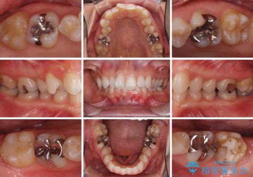
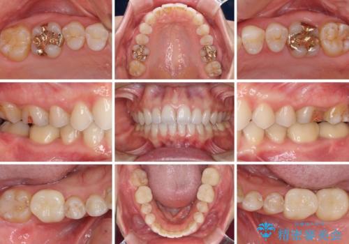
- 奥歯の虫歯と前歯のデコボコや突出感を気にして来院された患者様です。
 上顎歯列が、下顎に対して前方にありましたが、口元に出っ歯の印象がなかったため、親知らずを抜歯した上で、上顎歯列全体を後方に移動させることとしました。
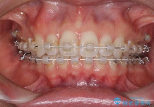
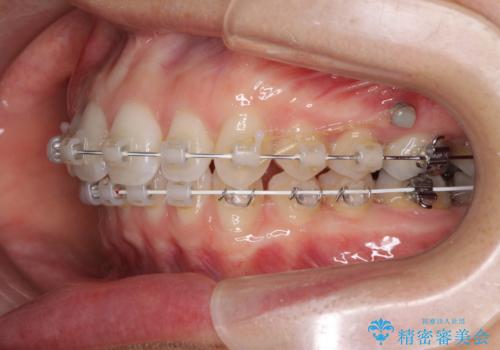
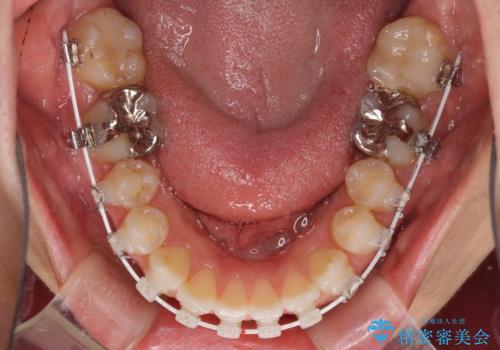
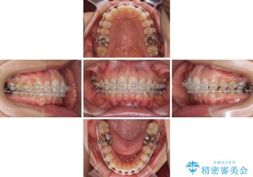
 咬合力が強いため、アンカースクリューを使用し、ワイヤー装置にて矯正治療を行うこととしました。
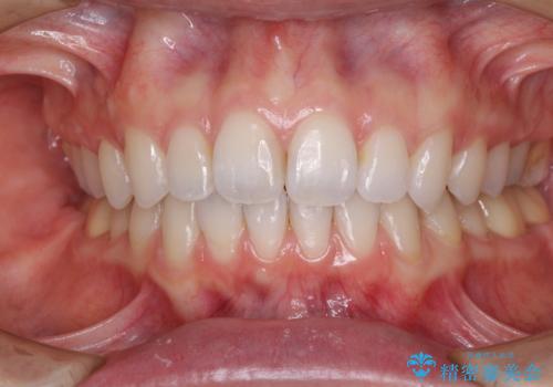
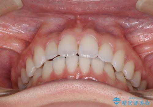
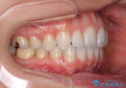
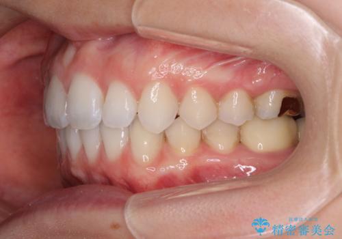
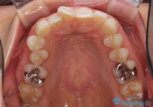
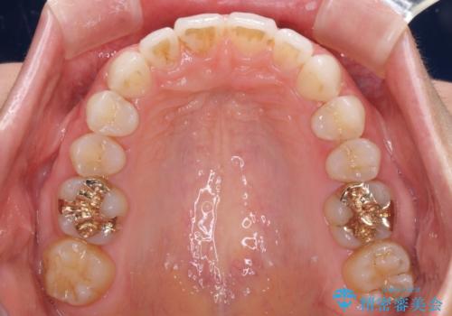
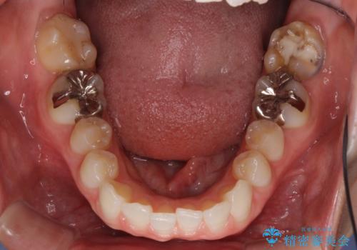
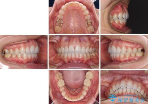
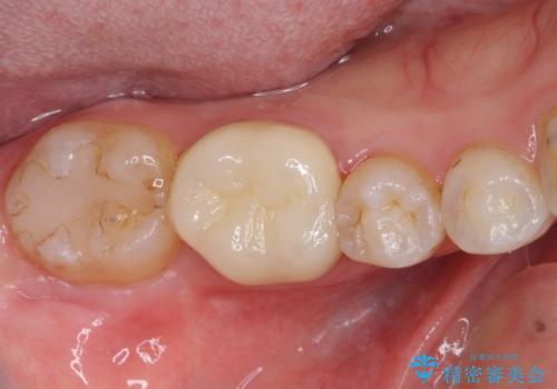
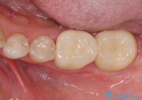
 矯正治療後は、奥歯の虫歯や銀歯を補綴・修復治療することとしました。
- 費用(概算)
- 治療費の目安: 130万円費用は治療当時の料金となります
治療について
上顎歯列を下顎に対して4mmほど移動させる必要があったため、治療は長期化することが予想されましたが、患者様にはこちらの期待以上にゴムかけなどに協力いただき、補綴治療も含めて2年強で終えることができました。
セラミック治療の注意事項(リスク・副作用など)
- 天然歯を削ります
- 硬い素材は天然歯を傷つけてしまう場合があります
- かみ合わせや歯ぎしりが強すぎる方はセラミックが割れてしまう可能性があります
- 自費診療(保険適用外治療)となります
PGA(ゴールド)クラウン、インレーの注意事項(リスク・副作用など)
- インレーおよびクラウンは脱離するリスクがあります
- 形成量はセラミックより少ないですが、歯の形成、修復後に歯に症状が出ることがあります
- 自費診療(保険適用外治療)となります
ワイヤー矯正の注意事項(リスク・副作用など)
- 治療中は違和感や痛みが起こることがあります
- 症状により、抜歯が必要な場合があります
- 治療中は歯磨きがしにくくなるため、虫歯や歯周病になりやすくなります
- 矯正治療後の保定が不十分だと後戻り(元の位置に戻ろうとする動き)をします
- 自費診療(保険適用外)となります
当サイトの内容、テキスト、画像等の無断転載、複製、複写、盗用を固く禁じます。








 
                       
                                                          







































 
                   
                   
                  