症例詳細
Case detail
欠損歯と矮小歯 矯正治療と前歯のセラミック治療
- 患者様
- 20代女性
- 矯正装置
- インビザライン
- 治療期間
- 1年11ヶ月
- 治療回数
- 10-30回
- 治療計画
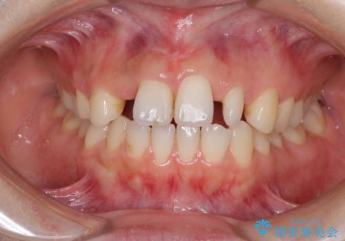
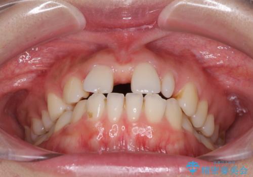
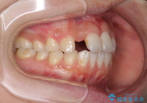
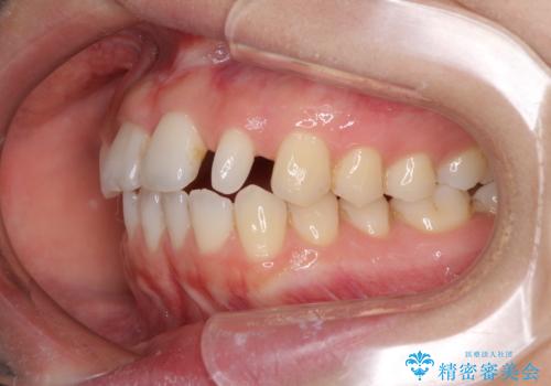
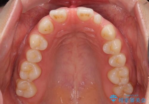
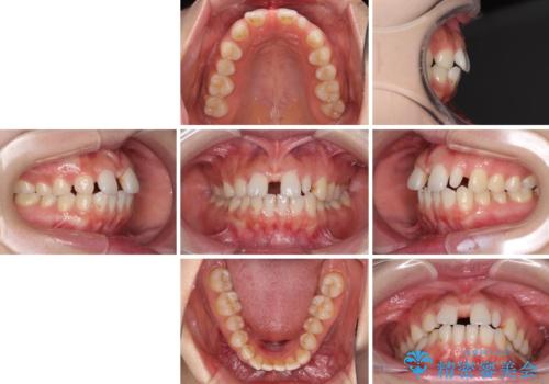
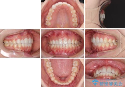
- 前歯の隙間を気にして来院された患者様です。
診察の結果、前歯が1本欠損しており、さらに矮小歯(通常よりも小さい歯)が1本存在していました。
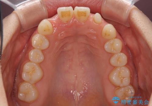
欠損による前歯のスペースが大きかったため、事前にワイヤー矯正で前歯の位置を大きく動かし、その後は上下をインビザラインで整えることとしました。
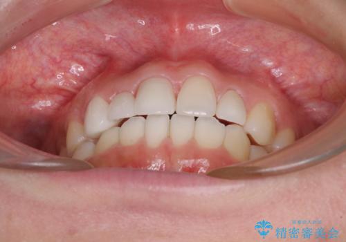
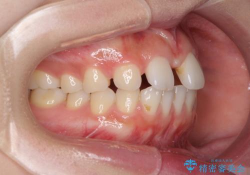
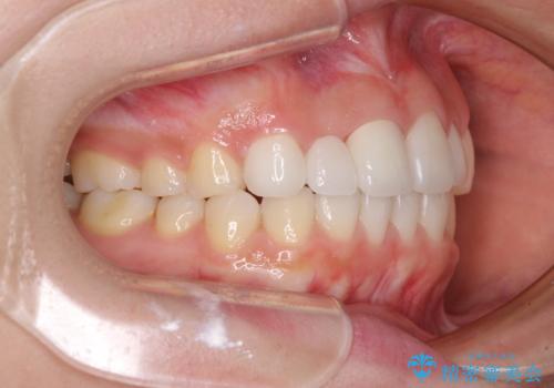
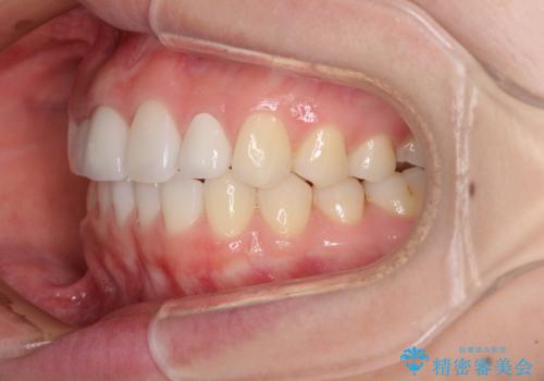
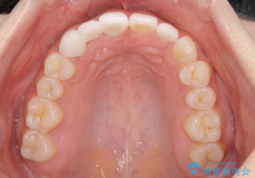
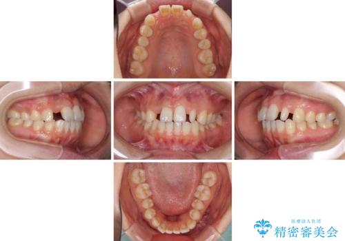
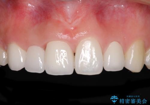
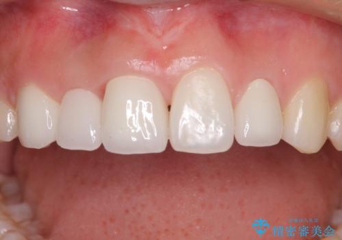
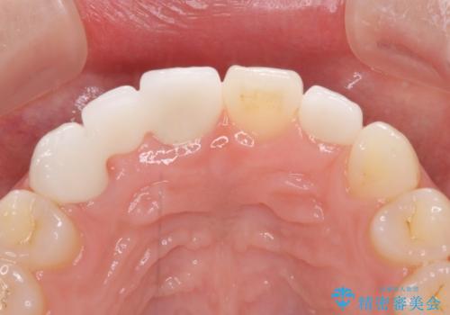
矯正治療後には欠損部はオールセラミックブリッジに、矮小歯はオールセラミッククラウンにて補綴することとしました。
- 費用(概算)
- 治療費の目安: 120万円費用は治療当時の料金となります
治療について
前歯のスペースは、堅い線維の通った歯肉があり、幅も大きかったことから、歯肉切除を行った上でワイヤー矯正により移動を行いました。また、上唇小帯も歯間部付近まで付着していたため、合わせて切除しました。
ワイヤー矯正により、インビザラインよりも早く、歯軸の向きもコントロールしながら移動させることができました。
セラミック治療の注意事項(リスク・副作用など)
- 天然歯を削ります
- 硬い素材は天然歯を傷つけてしまう場合があります
- かみ合わせや歯ぎしりが強すぎる方はセラミックが割れてしまう可能性があります
- 自費診療(保険適用外治療)となります
マウスピース矯正の注意事項(リスク・副作用など)
- 口腔内・歯並びの状態によっては対応できない場合があります
- マウスピース型矯正装置の長時間装着(1日20時間以上)が必須です
- 治療計画通りに進めるためには、患者様の意志が重要になります
- 矯正治療後の保定が不十分だと後戻り(元の位置に戻ろうとする動き)をします
- 薬機法対象外の矯正歯科装置のため医薬品副作用被害救済制度の対象外となる場合があります
- 自費診療(保険適用外)となります
当サイトの内容、テキスト、画像等の無断転載、複製、複写、盗用を固く禁じます。





























