症例詳細
Case detail
前歯ブリッジのやりかえ 下の歯のがたつき 銀歯を全てセラミックに
- 患者様
 - 20代男性
 
- 矯正装置
 - 審美装置
 
- 治療期間
 - 3年
 
- 治療回数
 - 10-30回
 
- 治療計画
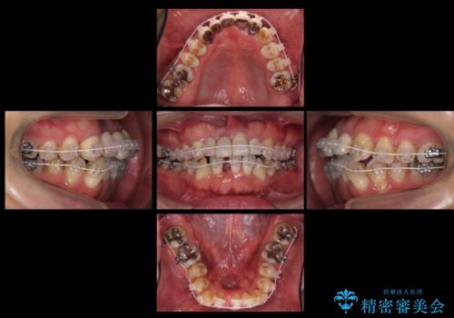
 - 前歯のブリッジのやりかえおよび銀の詰め物をセラミックにしたいと来院。
過去に事故で前歯を折って、ブリッジにしたとのことでしたが、支台となる歯が持たない状況で、ブリッジを延長せざるを得ない状況でした。
長いブリッジへ設計変更になるため、下の前歯のがたつきが気になるのであれば、先に矯正治療をしてから最終的なブリッジを入れることをご提案し、全て行なっていくことになりました。
上の前歯の本数が少ないことから、小臼歯を4本抜歯するのではなく下の前歯を1本だけ減らして並べました。
 
- 費用(概算)
 - 240万円(矯正治療90万円 補綴費用150万円)費用は治療当時の料金となります
 
治療について
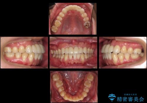
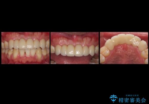
総合歯科治療をやりきったことで、メンテナンスに移行することができました。
左上1番は再根管治療を行いましたが途中で破折が確認されたため、抜歯しています。
また、大臼歯の銀歯もセラミックに全てやりかえています。
左上7番は歯周病によりやむなく抜歯となり、インプラントをおすすめしましたが、希望されませんでした。
セラミック治療の注意事項(リスク・副作用など)
- 天然歯を削ります
 - 硬い素材は天然歯を傷つけてしまう場合があります
 - かみ合わせや歯ぎしりが強すぎる方はセラミックが割れてしまう可能性があります
 - 自費診療(保険適用外治療)となります
 
ワイヤー矯正の注意事項(リスク・副作用など)
- 治療中は違和感や痛みが起こることがあります
 - 症状により、抜歯が必要な場合があります
 - 治療中は歯磨きがしにくくなるため、虫歯や歯周病になりやすくなります
 - 矯正治療後の保定が不十分だと後戻り(元の位置に戻ろうとする動き)をします
 - 自費診療(保険適用外)となります
 
当サイトの内容、テキスト、画像等の無断転載、複製、複写、盗用を固く禁じます。

                      
                                                          








