症例詳細
Case detail
矯正治療と歯周外科処置を併用した審美歯科治療
- 患者様
- 60代男性
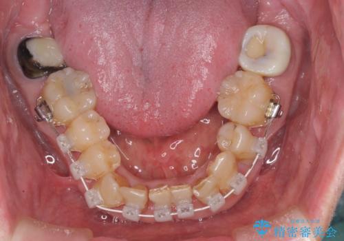
- 矯正装置
- 審美装置
- 治療期間
- 1年6ヶ月
- 治療回数
- 10-30回
- 治療計画
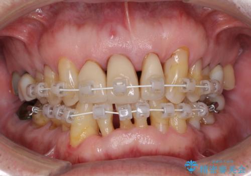
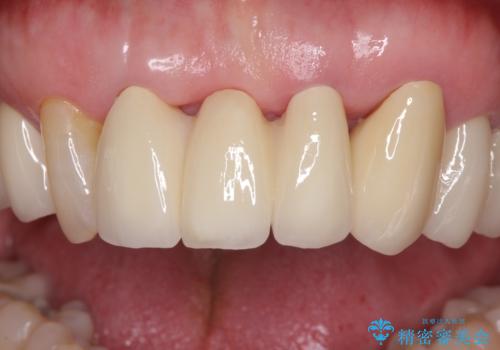
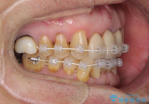
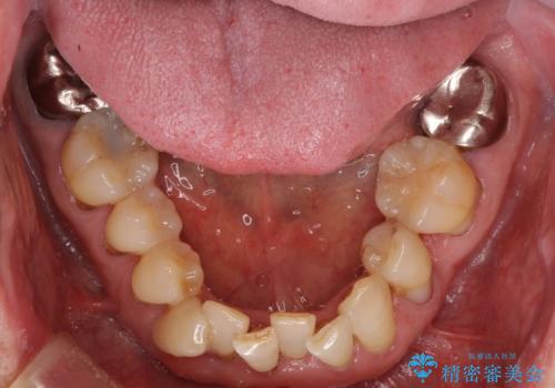
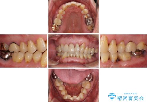
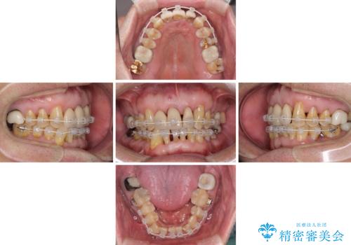
- 上の前歯が痛むとのことで来院された患者様です。
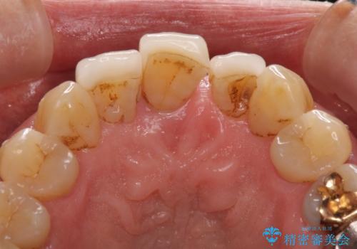
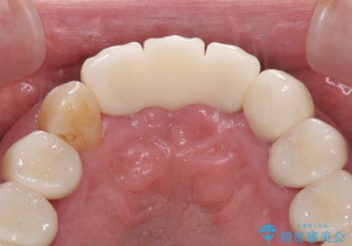
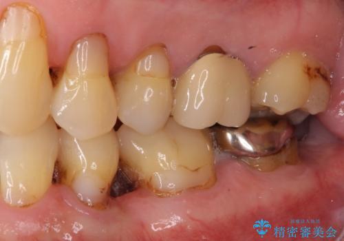
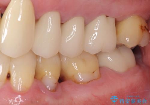
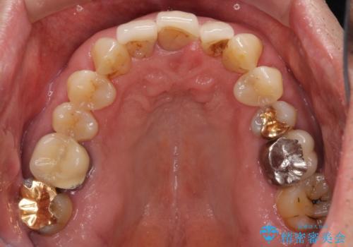
検査を行ったところ、前歯1本は周辺の骨が失われており、抜歯が必要でした。
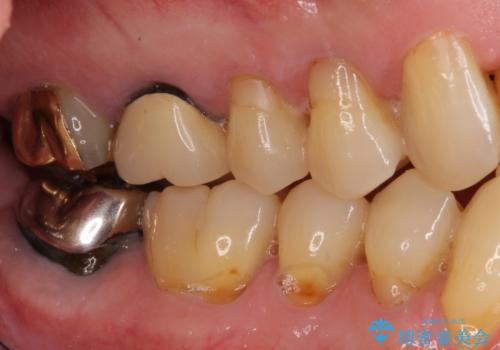
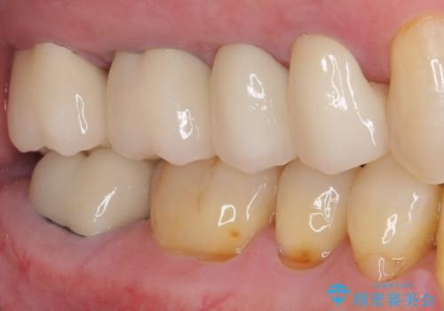
上顎の奥歯は全体的に歯周ポケットが散見され出血が認められたため、歯周外科処置を行うこととしました。
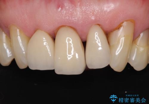
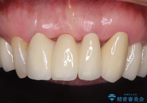
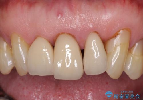
上の歯は見た目を良くしたいというご希望があったため、歯周外科処置を行った歯についてはセラミッククラウンで補綴することとしました。
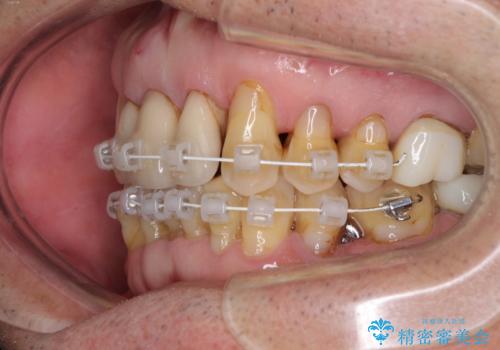
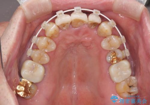
また、前歯の部分矯正も希望されたため、歯周外科処置と平行して矯正治療を行うこととしました。
- 費用(概算)
- 治療費の目安: 220万円費用は治療当時の料金となります
治療について
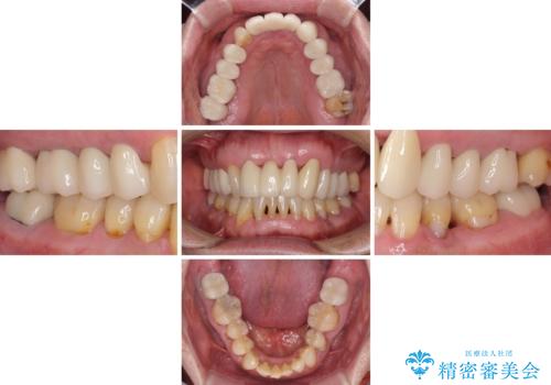
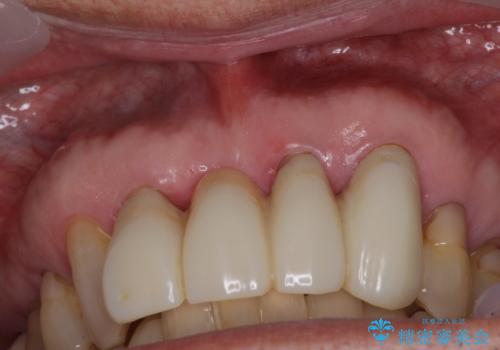
患者様ご自身が痛みには強いとおっしゃっていたので、治療中は特に辛いと感じることはなく進めることができました。
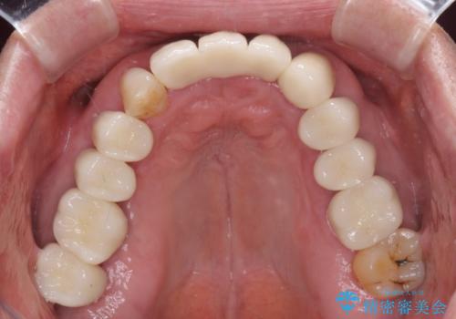
気になっていた歯の痛みや歯肉からの出血がなくなり、改善したいと思っていた外見も綺麗に仕上がり、大変満足していただきました。
セラミック治療の注意事項(リスク・副作用など)
- 天然歯を削ります
- 硬い素材は天然歯を傷つけてしまう場合があります
- かみ合わせや歯ぎしりが強すぎる方はセラミックが割れてしまう可能性があります
- 自費診療(保険適用外治療)となります
ワイヤー矯正の注意事項(リスク・副作用など)
- 治療中は違和感や痛みが起こることがあります
- 症状により、抜歯が必要な場合があります
- 治療中は歯磨きがしにくくなるため、虫歯や歯周病になりやすくなります
- 矯正治療後の保定が不十分だと後戻り(元の位置に戻ろうとする動き)をします
- 自費診療(保険適用外)となります
歯周病治療の注意事項(リスク・副作用など)
- 外科手術のため、術後に痛みや腫れ、違和感を伴います
- 歯周組織再生治療は患者様の状態によって術後の経過が異なります(見た目が改善しない場合もあります)
- 歯周組織再生治療は自費診療(保険適用外)となります
当サイトの内容、テキスト、画像等の無断転載、複製、複写、盗用を固く禁じます。

































