症例詳細
Case detail
矯正治療とインプラント治療を同時に 総合歯科診療
治療症例の内容
- 患者様
- 20代女性
- 矯正装置
- 審美装置
- 治療期間
- 2年6ヶ月
- 治療回数
- 10-30回
- 治療計画
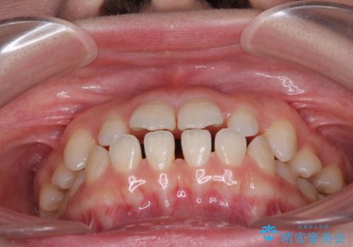
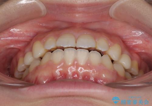
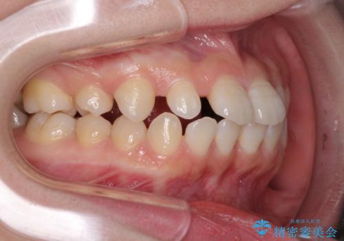
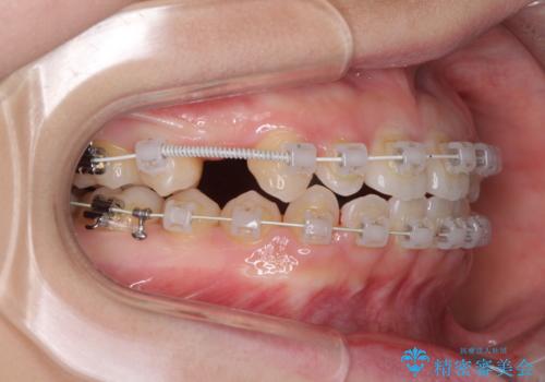
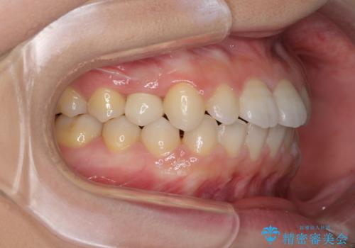
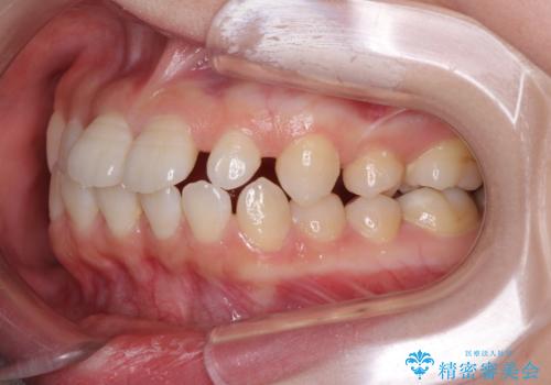
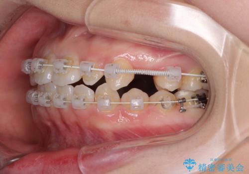
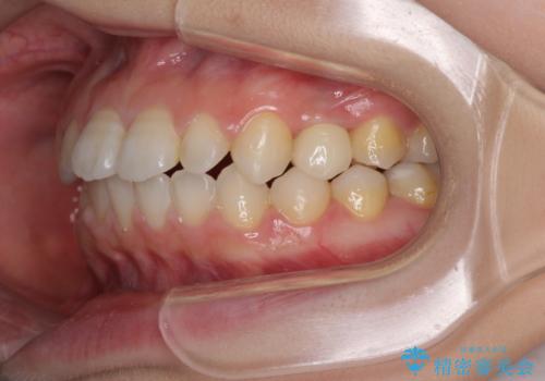
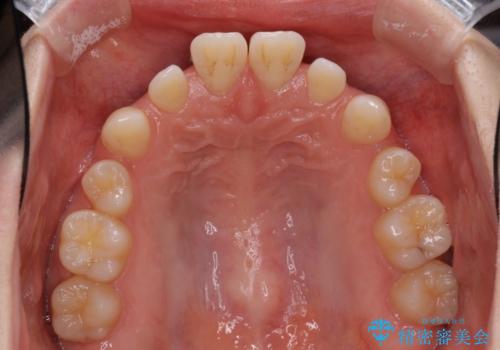
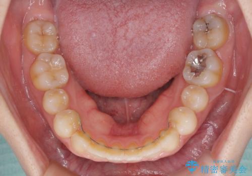
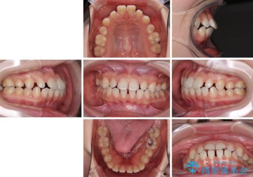
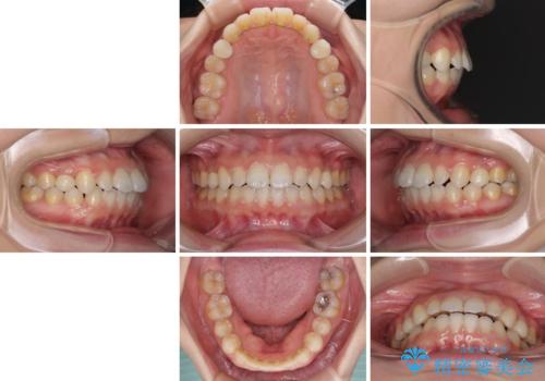
- 歯の欠損による隙間だらけの歯並びを気にして来院された患者様です。
上顎左右1本ずつ欠損していたため、歯列矯正により欠損部位にスペースを集め、その後欠損部位をインプラントにて補綴することとしました。
- 費用(概算)
- 治療費の目安: 165万円費用は治療当時の料金となります
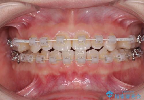
治療について
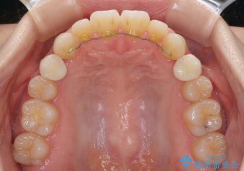
インビザラインによる矯正治療も提案しましたが、長時間の装着や自己管理が難しいとお考えで、ワイヤーによる矯正治療を行いました。
歯並びは比較的早めに整いましたが、インプラントを埋入するにあたって前後の歯根位置を改善する必要があり、矯正治療に期間を要することとなりました。
セラミック治療の注意事項(リスク・副作用など)
- 天然歯を削ります
- 硬い素材は天然歯を傷つけてしまう場合があります
- かみ合わせや歯ぎしりが強すぎる方はセラミックが割れてしまう可能性があります
- 自費診療(保険適用外治療)となります
インプラント治療の注意事項(リスク・副作用など)
- 外科手術のため、術後に痛みや腫れ、違和感を伴います
- メンテナンスを怠ったり喫煙により、お口の中に大きな悪影響を及ぼすインプラント周囲炎等にかかる可能性があります
- 糖尿病、肝硬変、心臓病等の場合、インプラント治療ができない可能性があります
- 高血圧、貧血・不整脈等の場合、インプラント治療後に治癒不全を招く可能性があります
- 自費診療(保険適用外治療)となります
ワイヤー矯正の注意事項(リスク・副作用など)
- 治療中は違和感や痛みが起こることがあります
- 症状により、抜歯が必要な場合があります
- 治療中は歯磨きがしにくくなるため、虫歯や歯周病になりやすくなります
- 矯正治療後の保定が不十分だと後戻り(元の位置に戻ろうとする動き)をします
- 自費診療(保険適用外)となります
当サイトの内容、テキスト、画像等の無断転載、複製、複写、盗用を固く禁じます。





























