症例詳細
Case detail
気になる前歯を審美歯科治療と矯正歯科治療で美しく
- 患者様
- 20代女性
- 矯正装置
- インビザライン
- 治療期間
- 1年2ヶ月
- 治療回数
- 10-30回
- 治療計画
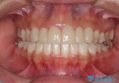
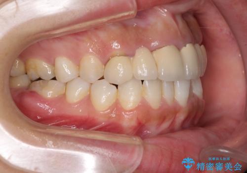
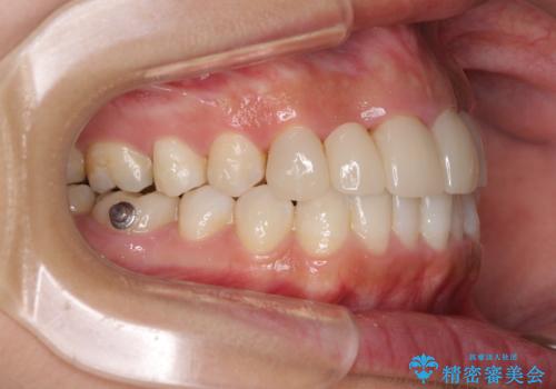
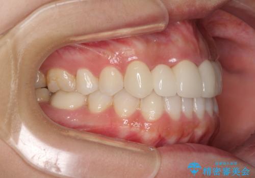
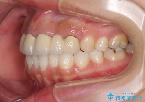
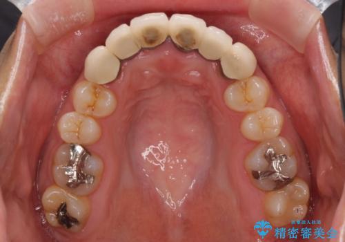
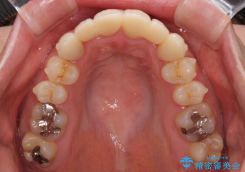
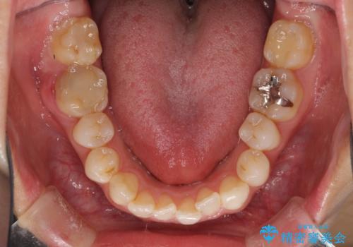
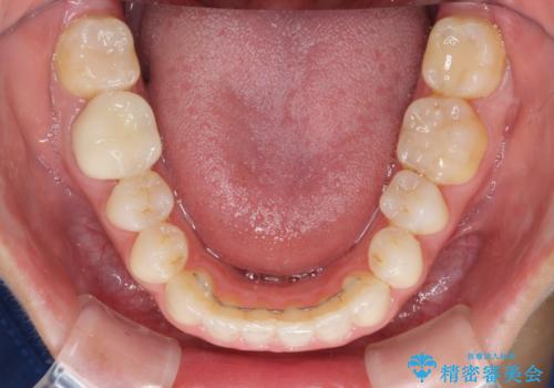
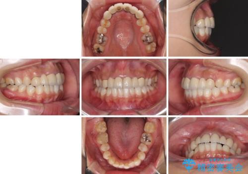
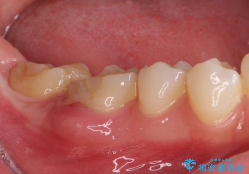
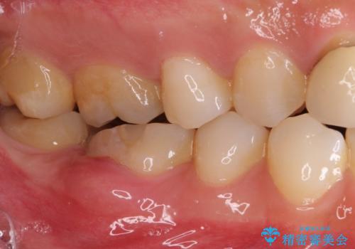
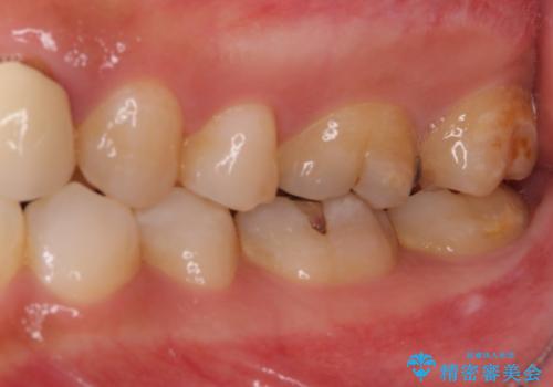
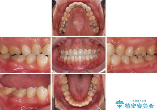
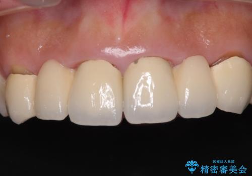
- 審美的ではない上の前歯とデコボコの下の前歯、歯茎が腫れている奥歯を気にして来院された患者様です。
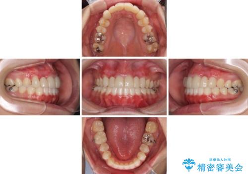
根管治療の必要な歯がいくつかあるため、まずは根管治療を行い、その後インビザラインにて矯正治療を行うこととしました。
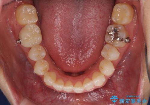
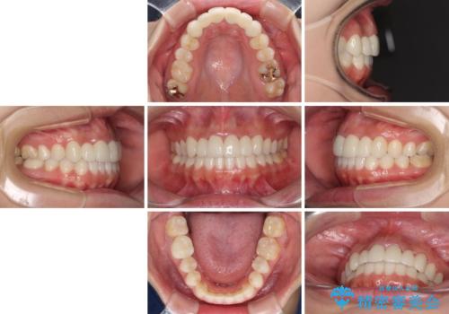
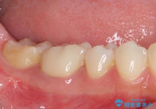
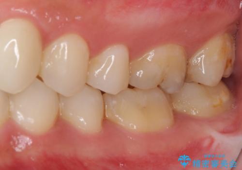
矯正治療後に前歯をセラミックブリッジに、奥の銀歯はセラミックインレーやPGAインレー(ゴールドインレー)にて補綴・修復治療を行うこととしました。
- 費用(概算)
- 治療費の目安: 200万円費用は治療当時の料金となります
治療について
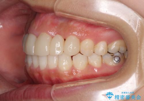
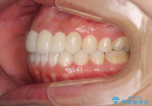
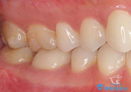
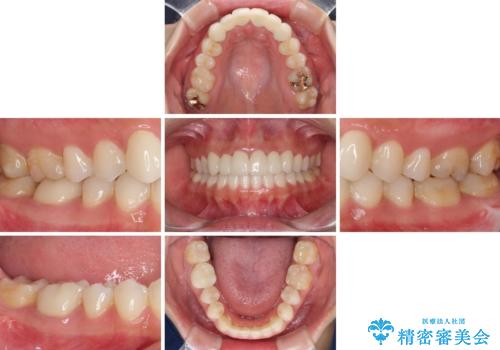
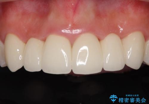
矯正治療により下顎前歯を整列させたため、上顎前歯のセラミックブリッジを補綴することで口元を少し下げることができました。
ヒトの目線がいつも口元に向けられているように感じることがなくなり、患者様には大変満足していただきました。
セラミック治療の注意事項(リスク・副作用など)
- 天然歯を削ります
- 硬い素材は天然歯を傷つけてしまう場合があります
- かみ合わせや歯ぎしりが強すぎる方はセラミックが割れてしまう可能性があります
- 自費診療(保険適用外治療)となります
PGA(ゴールド)クラウン、インレーの注意事項(リスク・副作用など)
- インレーおよびクラウンは脱離するリスクがあります
- 形成量はセラミックより少ないですが、歯の形成、修復後に歯に症状が出ることがあります
- 自費診療(保険適用外治療)となります
マウスピース矯正の注意事項(リスク・副作用など)
- 口腔内・歯並びの状態によっては対応できない場合があります
- マウスピース型矯正装置の長時間装着(1日20時間以上)が必須です
- 治療計画通りに進めるためには、患者様の意志が重要になります
- 矯正治療後の保定が不十分だと後戻り(元の位置に戻ろうとする動き)をします
- 薬機法対象外の矯正歯科装置のため医薬品副作用被害救済制度の対象外となる場合があります
- 自費診療(保険適用外)となります
根管治療の注意事項(リスク・副作用など)
- 根管治療により類似の全ての症例の問題が解決するわけではなく、症例はあくまでも一例です
- 根管治療により痛みや腫れがひかない事や、術後に痛みや腫れが生じる事、治療によるファイル破折やパーフォレーションなどの偶発症、術後の歯根破折を生じる可能性もあります
- 自費診療(保険適用外)となります
当サイトの内容、テキスト、画像等の無断転載、複製、複写、盗用を固く禁じます。








































