症例詳細
Case detail
奥歯で物を噛めるようにしたい 入れ歯による咬合回復
- 患者様
- 50代男性
- 治療期間
- 1年8ヶ月
- 治療回数
- 10-30回
- 治療計画
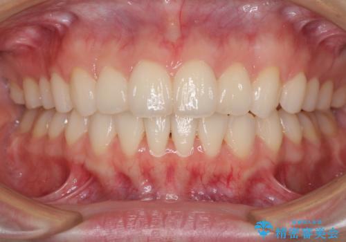
- 上の奥歯がなく、噛みにくいとのことで来院された患者様です。
インプラントが避けられれば避けたいとのご希望であったため、入れ歯による補綴治療を行うこととしました。
下顎はデコボコがあり清掃性が悪かったため、矯正治療により歯列を整えていくこととしました。
- 費用(概算)
- 治療費の目安: 320万円費用は治療当時の料金となります
治療について
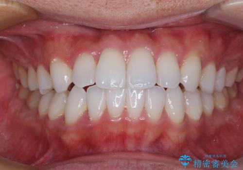
下顎は矯正治療の後に奥歯をセラミッククラウンにて補綴することで、咬み合わせを理想的な状態に整えることができました。
上顎の義歯は外れにくい安定した装着感たするため、土台となるクラウンと平行して製作し、リジッドサポートの義歯を完成させました。
固いものから噛みちぎりにくいものまで、何でも不自由なく食べられるようになり、患者様には大変満足していただきました。
セラミック治療の注意事項(リスク・副作用など)
- 天然歯を削ります
- 硬い素材は天然歯を傷つけてしまう場合があります
- かみ合わせや歯ぎしりが強すぎる方はセラミックが割れてしまう可能性があります
- 自費診療(保険適用外治療)となります
ワイヤー矯正の注意事項(リスク・副作用など)
- 治療中は違和感や痛みが起こることがあります
- 症状により、抜歯が必要な場合があります
- 治療中は歯磨きがしにくくなるため、虫歯や歯周病になりやすくなります
- 矯正治療後の保定が不十分だと後戻り(元の位置に戻ろうとする動き)をします
- 自費診療(保険適用外)となります
歯周病治療の注意事項(リスク・副作用など)
- 外科手術のため、術後に痛みや腫れ、違和感を伴います
- 歯周組織再生治療は患者様の状態によって術後の経過が異なります(見た目が改善しない場合もあります)
- 歯周組織再生治療は自費診療(保険適用外)となります
入れ歯の注意事項(リスク・副作用など)
- ブリッジやインプラントと比較して、色が合いづらい、見た目の違和感があります
- ブリッジやインプラントと比較して、話しにくい、舌が当たる等の違和感があります
- 慣れるまで微調整で何度か通って頂くことがあります
- 就寝時や食後に毎回取り外して、清掃する必要があります
- 自費診療(保険適用外)となります
当サイトの内容、テキスト、画像等の無断転載、複製、複写、盗用を固く禁じます。




























