症例詳細
Case detail
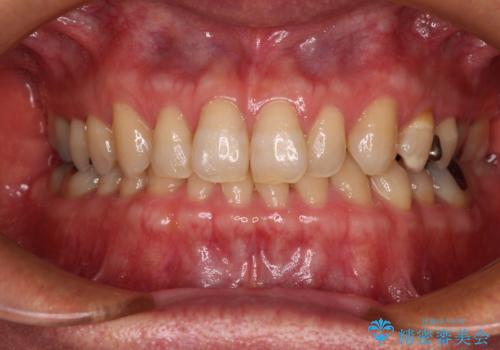
前歯のブリッジを綺麗に作り変えたい
治療症例の内容
- 患者様
- 40代女性
- 治療期間
- 7ヶ月
- 治療回数
- 5-10回
- 治療計画
- 前歯の突出感がきになり、ブリッジの作り替えを希望して来院された患者様です。
土台となる歯のうち、違和感のある歯については根管治療を行うこととしました。
口元の突出感を軽減するため、下の前歯をマウスピース矯正により引っ込め、その後オールセラミックブリッジにより補綴することとしました。
- 費用(概算)
- 治療費の目安: 100万円費用は治療当時の料金となります
治療について
下の前歯の矯正治療に時間がかかりましたが、しっかりと内側に下げることができたので、ブリッジの突出感を大幅に改善することができました。
自然な仕上がりの前歯になるとともに、口元も引っ込めることができ、患者様には大変満足していただきました。
セラミック治療の注意事項(リスク・副作用など)
- 天然歯を削ります
- 硬い素材は天然歯を傷つけてしまう場合があります
- かみ合わせや歯ぎしりが強すぎる方はセラミックが割れてしまう可能性があります
- 自費診療(保険適用外治療)となります
マウスピース矯正の注意事項(リスク・副作用など)
- 口腔内・歯並びの状態によっては対応できない場合があります
- マウスピース型矯正装置の長時間装着(1日20時間以上)が必須です
- 治療計画通りに進めるためには、患者様の意志が重要になります
- 矯正治療後の保定が不十分だと後戻り(元の位置に戻ろうとする動き)をします
- 薬機法対象外の矯正歯科装置のため医薬品副作用被害救済制度の対象外となる場合があります
- 自費診療(保険適用外)となります
当サイトの内容、テキスト、画像等の無断転載、複製、複写、盗用を固く禁じます。




















