症例詳細
Case detail
金属を白いものにして、悪いところを治したい 矯正治療も含めた総合歯科治療
- 患者様
- 50代女性
- 矯正装置
- 審美装置
- 治療期間
- 2年3ヶ月
- 治療回数
- 10-30回
- 治療計画
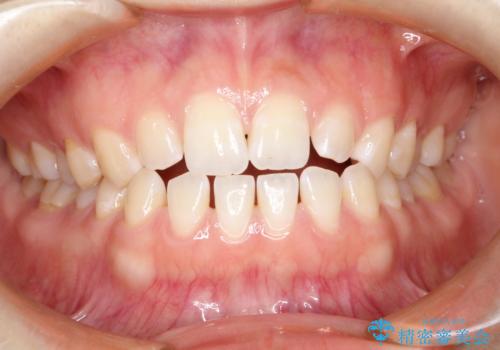
- 金属の歯を白くしたいのと、悪いところがあればそこも治したいとのことで来院されました。
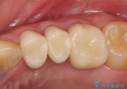
金属が入っているところはオールセラミッククラウン・セラミックインレーへ変更。
また、下の歯列に隙間があり上下の前歯の先端が接触していたので、矯正治療も行い歯並びを整えることとなりました。
- 費用(概算)
- 約320万円費用は治療当時の料金となります
治療について
仮歯へ置き換えて、矯正治療後にセラミック装着を行い治療期間が長くかかってしまいましたが、仕上がりには満足していただけました。
今後歯の後戻りや、セラミックの破損を防ぐために、マウスピースを使用していただく予定です。
セラミック治療の注意事項(リスク・副作用など)
- 天然歯を削ります
- 硬い素材は天然歯を傷つけてしまう場合があります
- かみ合わせや歯ぎしりが強すぎる方はセラミックが割れてしまう可能性があります
- 自費診療(保険適用外治療)となります
ワイヤー矯正の注意事項(リスク・副作用など)
- 治療中は違和感や痛みが起こることがあります
- 症状により、抜歯が必要な場合があります
- 治療中は歯磨きがしにくくなるため、虫歯や歯周病になりやすくなります
- 矯正治療後の保定が不十分だと後戻り(元の位置に戻ろうとする動き)をします
- 自費診療(保険適用外)となります
当サイトの内容、テキスト、画像等の無断転載、複製、複写、盗用を固く禁じます。















