症例詳細
Case detail
【インビザラインとセラミック】前歯を綺麗に
- 患者様
- 20代男性
- 矯正装置
- インビザライン
- 治療期間
- 1年2ヶ月
- 治療回数
- 10-30回
- 治療計画
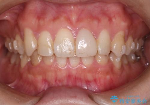
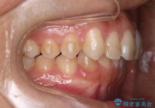
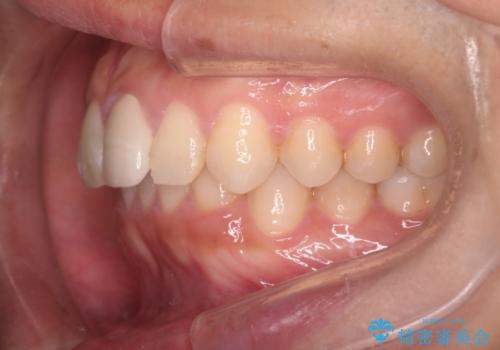
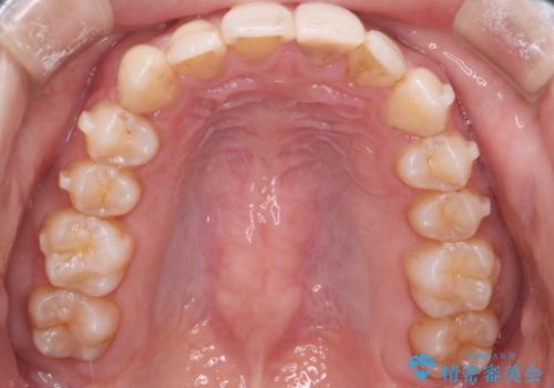
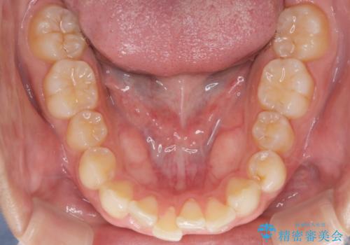
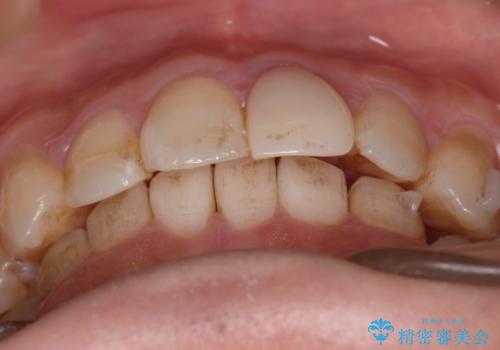
- 前歯のがたつきと口元を下げたいとのことで来院されました。
骨格的に左右差があるので正中を合わせることと抜歯矯正での口元改善は難しいことを説明させていただきました。
患者様に理解していただいた上で、インビザラインにてIPR(歯と歯の間を削る処置)を行いながら前歯のがたつきを整える治療計画を立てました。
- 費用(概算)
- 82.5万円(税込)(矯正費用とセラミックの費用の合計金額)費用は治療当時の料金となります
治療について
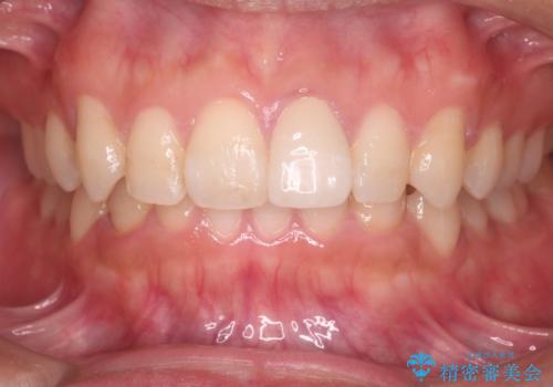
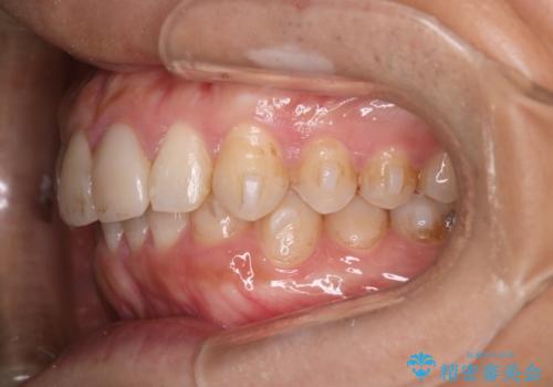
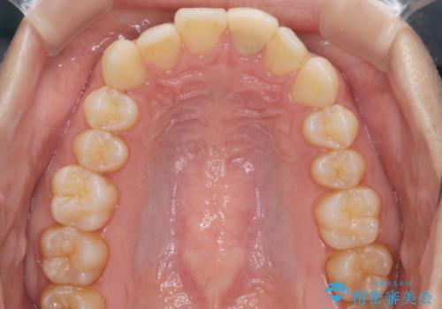
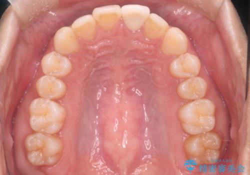
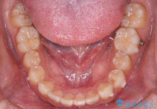
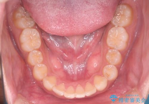
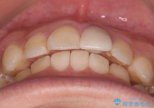
インビザラインにて治療を行うことで、前歯のがたつきが改善されました。
左上1番目の前歯はセラミックをご希望されたので、セラミックにて被せ物の治療を行いました。
とても綺麗な前歯になりました。
マウスピース矯正の注意事項(リスク・副作用など)
- 口腔内・歯並びの状態によっては対応できない場合があります
- マウスピース型矯正装置の長時間装着(1日20時間以上)が必須です
- 治療計画通りに進めるためには、患者様の意志が重要になります
- 矯正治療後の保定が不十分だと後戻り(元の位置に戻ろうとする動き)をします
- 薬機法対象外の矯正歯科装置のため医薬品副作用被害救済制度の対象外となる場合があります
- 自費診療(保険適用外)となります
セラミック治療の注意事項(リスク・副作用など)
- 天然歯を削ります
- 硬い素材は天然歯を傷つけてしまう場合があります
- かみ合わせや歯ぎしりが強すぎる方はセラミックが割れてしまう可能性があります
- 自費診療(保険適用外治療)となります
当サイトの内容、テキスト、画像等の無断転載、複製、複写、盗用を固く禁じます。




















