症例・治療例紹介
Cases
Dr. 菊地俊介の症例写真
1ページ目 / 6
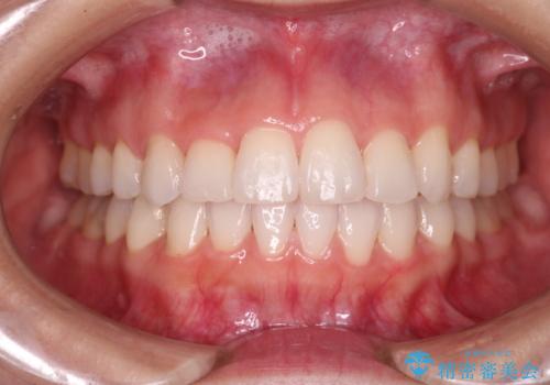
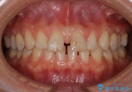
【インビザライン】前歯の捻れ気になる


【インビザライン】上の前歯出ているのが気になる


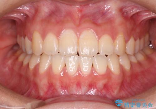
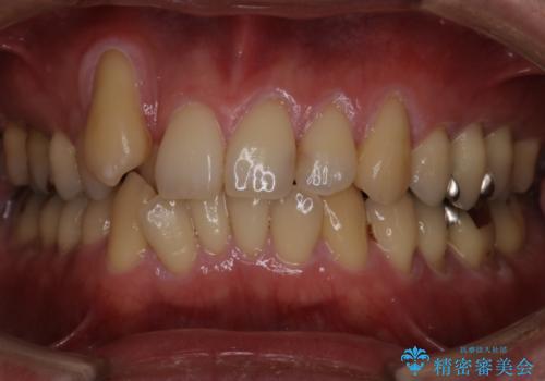
【インビザラインとワイヤー矯正】がたつきと噛み合わせを改善!


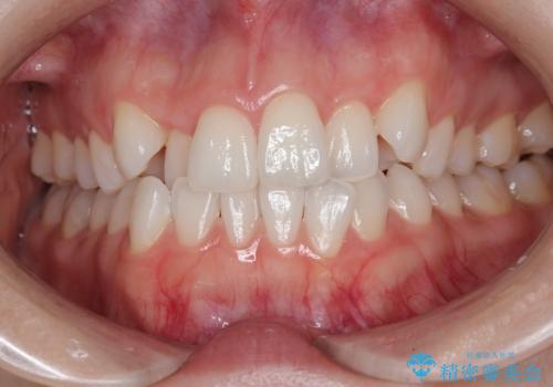
【審美ワイヤー】八重歯とがたつき気になる


【メタル装置】1本のみ抜歯してワイヤー矯正


【審美装置】非抜歯矯正で八重歯改善!


【インビザライン】右側のがたつき治したい


【インビザライン】マウスピースで開咬改善


【インビザラインモニター】前歯が出ているのが気になる


【クリア装置】八重歯とがたつきを綺麗に


【審美装置】前歯のデコボコを綺麗に


【審美装置】すきっ歯をワイヤー装置で治したい
担当医 菊地俊介


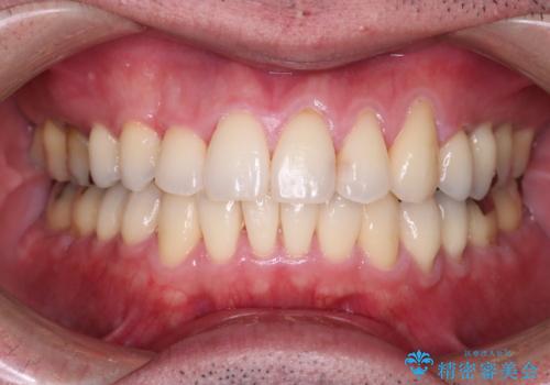
【審美装置】開口(オープンバイト)を改善


【インビザラインモニター】費用を抑えて歯並び改善!


【審美装置】前歯の反対咬合改善


