症例詳細
Case detail
全ての銀歯を外すメタルフリー治療 + 歯並びをきれいにする矯正治療
- 患者様
- 30代男性
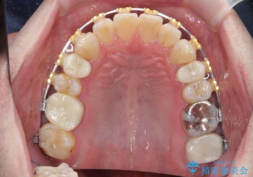
- 矯正装置
- ワイヤー矯正
- 治療期間
- 1年6ヶ月
- 治療回数
- 10-30回
- 治療計画
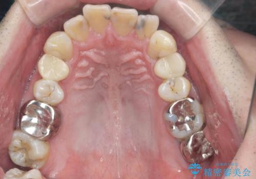
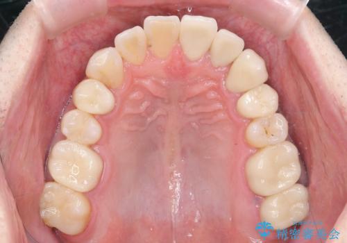
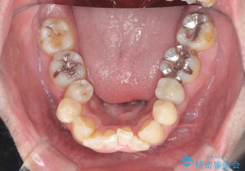
- 今装着されている全ての銀歯の除去、虫歯の治療、矯正治療を含めた総合治療を希望され来院されました。
放置すると大きくなりそうな虫歯をまず治療、矯正治療を行ったのち、全ての銀歯を除去しセラミック治療を行う治療計画としました。
当法人では、矯正治療と一般治療を総合的な観点からご提案が可能です。また複数の医院や歯科医師による診察の必要がなく最短距離での治療ゴールへ到達できるような治療方針を提案可能です。
- 費用(概算)
- 330万円 (税別)費用は治療当時の料金となります
治療について
長年の悩みであった虫歯や、噛み合わせ、歯並びの問題が解決でき喜んでいただくことができました。
セラミック治療の注意事項(リスク・副作用など)
- 天然歯を削ります
- 硬い素材は天然歯を傷つけてしまう場合があります
- かみ合わせや歯ぎしりが強すぎる方はセラミックが割れてしまう可能性があります
- 自費診療(保険適用外治療)となります
ワイヤー矯正の注意事項(リスク・副作用など)
- 治療中は違和感や痛みが起こることがあります
- 症状により、抜歯が必要な場合があります
- 治療中は歯磨きがしにくくなるため、虫歯や歯周病になりやすくなります
- 矯正治療後の保定が不十分だと後戻り(元の位置に戻ろうとする動き)をします
- 自費診療(保険適用外)となります
当サイトの内容、テキスト、画像等の無断転載、複製、複写、盗用を固く禁じます。








