症例詳細
Case detail
長年気になっていた前歯 矯正治療と補綴治療による審美歯科治療
- 患者様
- 60代女性
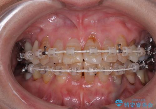
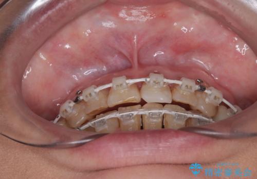
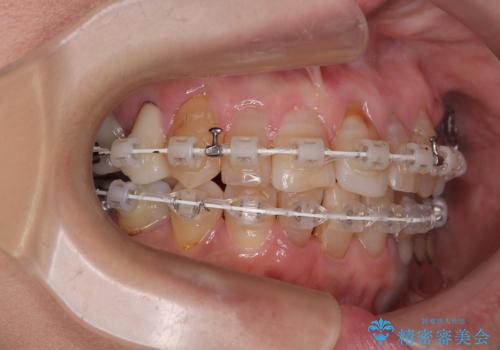
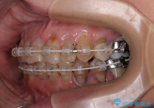
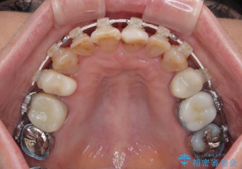
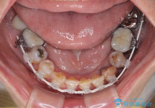
- 矯正装置
- 審美装置
- 治療期間
- 2年1ヶ月
- 治療回数
- 30回以上
- 治療計画
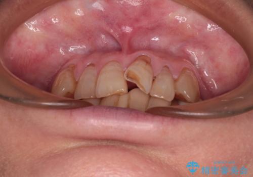
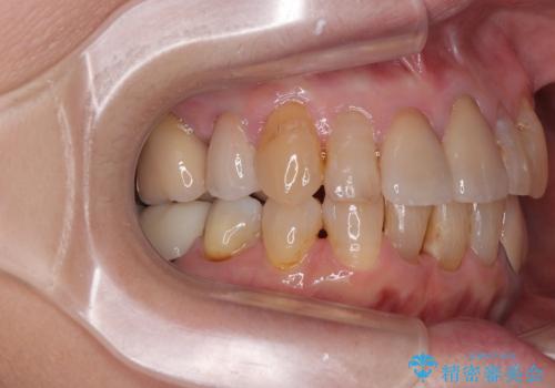
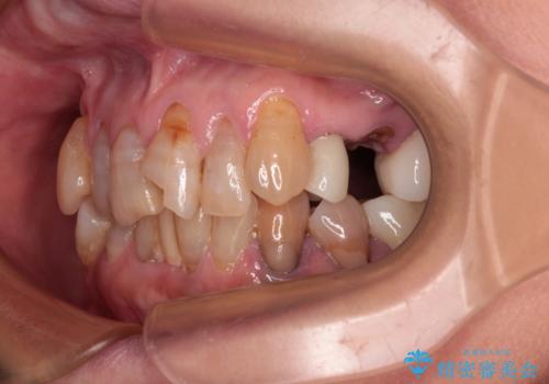
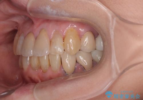
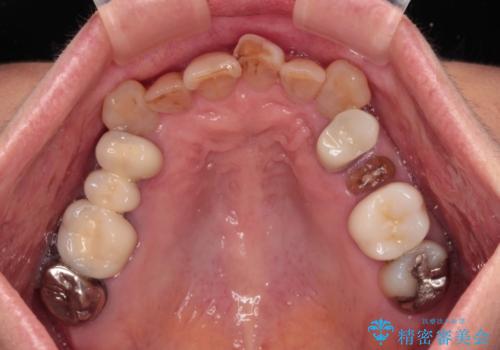
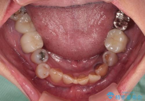
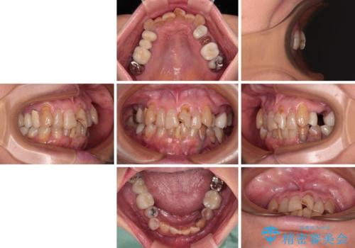
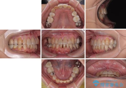
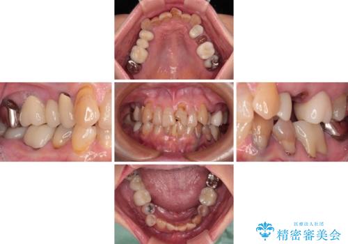
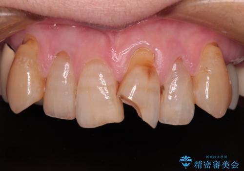
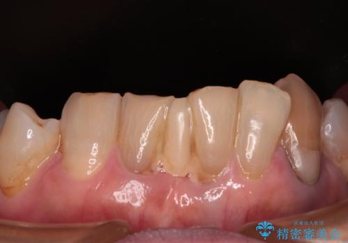
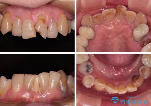
- 長年気にしていた捻れた前歯が欠けたとのことで来院された患者様です。
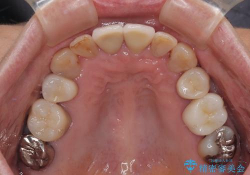
矯正治療に抵抗があったそうですが、前歯が欠けたことをきっかけに、矯正治療で歯列を整えた上で、セラミッククラウン治療を行う決心が付いたとのことでした。
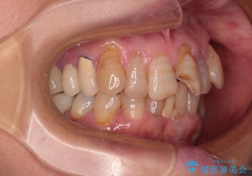
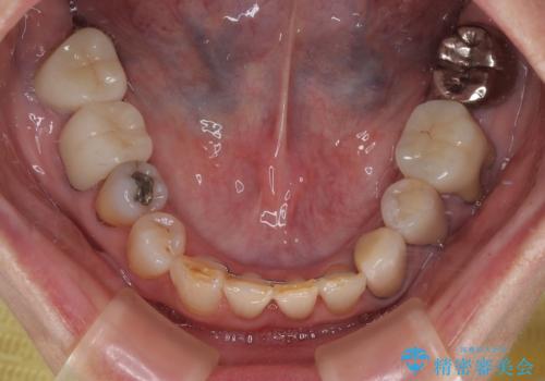
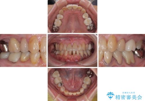
デコボコが強いため、ブリッジや残根となっている部分のスペースを利用して歯列を整え、変色や欠けている歯をオールセラミッククラウンによる補綴治療を行うこととしました。
- 費用(概算)
- 250万円(税込)費用は治療当時の料金となります
治療について
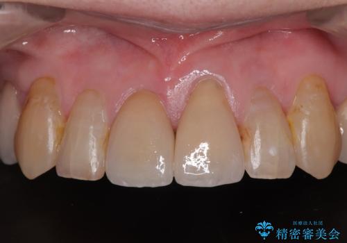
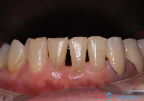
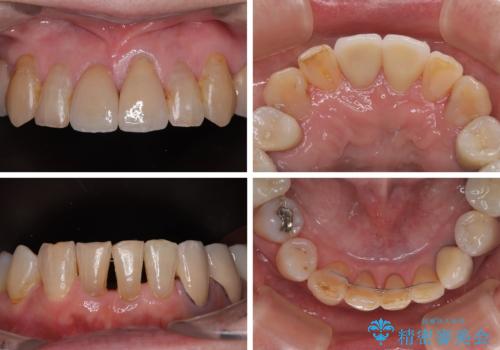
歯肉移植などによる前歯部の歯肉ライン改善を提案しましたが、口を開けたときにほとんど見えないので気にならないとのことで、特に処置を行うことなく補綴治療を行いました。
ワイヤー矯正の注意事項(リスク・副作用など)
- 治療中は違和感や痛みが起こることがあります
- 症状により、抜歯が必要な場合があります
- 治療中は歯磨きがしにくくなるため、虫歯や歯周病になりやすくなります
- 矯正治療後の保定が不十分だと後戻り(元の位置に戻ろうとする動き)をします
- 自費診療(保険適用外)となります
セラミック治療の注意事項(リスク・副作用など)
- 天然歯を削ります
- 硬い素材は天然歯を傷つけてしまう場合があります
- かみ合わせや歯ぎしりが強すぎる方はセラミックが割れてしまう可能性があります
- 自費診療(保険適用外治療)となります
当サイトの内容、テキスト、画像等の無断転載、複製、複写、盗用を固く禁じます。



































