症例詳細
Case detail
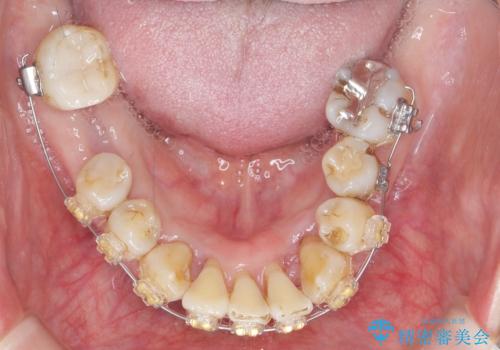
歯周病 、インプラント、 矯正 全顎治療
- 患者様
- 30代女性
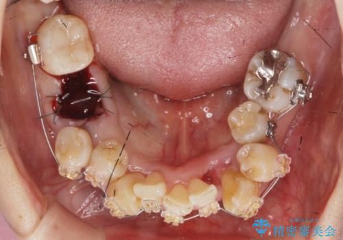
- 矯正装置
- ワイヤー矯正
- 治療期間
- 3年
- 治療回数
- 30回以上
- 治療計画
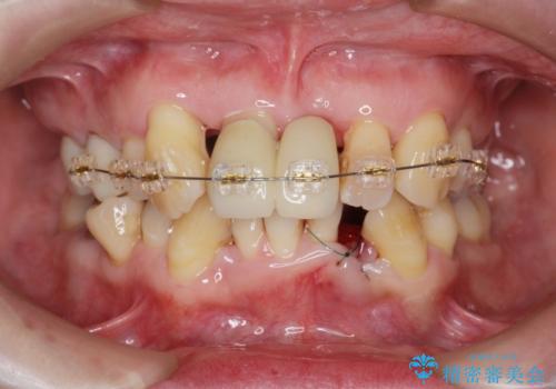
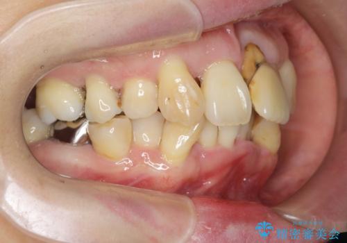
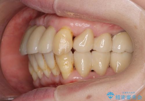
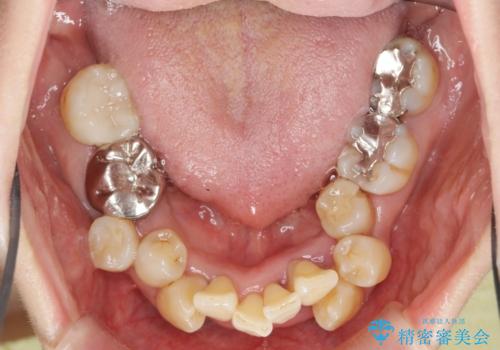
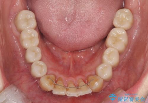
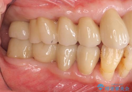
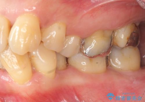
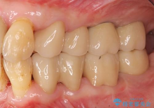
- 重度の歯周病に罹患しており、他院で「多数の歯を抜歯したのち、入れ歯を入れるしかない。」と言われ、入れ歯以外の方法がないか相談のため来院されました。
重度の歯周病で多数の歯を残せない問題、歯並び・噛み合わせの問題、欠損の問題、と多数の大きな問題が認められました。
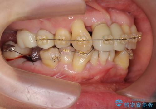
このままの歯並びでは仮にインプラントを埋入したとしても歯ブラシがしづらく、また歯周病の問題が再発しやすい、と判断し矯正治療を行ったのちに歯周病治療、インプラント治療を行っていく治療計画としました。
- 費用(概算)
- 660万円費用は治療当時の料金となります
治療について
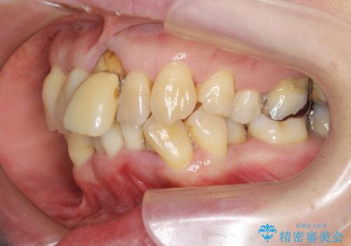
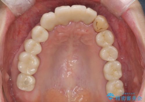
インプラント治療に加え、歯周病に対しての再生治療や歯周ポケットの除去を行う歯周外科、矯正治療、と必要な治療は多岐に渡りましたが、最終的に安定した噛み合わせを得られたとともに、清掃のしやすい口腔内環境を確立できました。
歯周病治療の注意事項(リスク・副作用など)
- 外科手術のため、術後に痛みや腫れ、違和感を伴います
- 歯周組織再生治療は患者様の状態によって術後の経過が異なります(見た目が改善しない場合もあります)
- 歯周組織再生治療は自費診療(保険適用外)となります
インプラント治療の注意事項(リスク・副作用など)
- 外科手術のため、術後に痛みや腫れ、違和感を伴います
- メンテナンスを怠ったり喫煙により、お口の中に大きな悪影響を及ぼすインプラント周囲炎等にかかる可能性があります
- 糖尿病、肝硬変、心臓病等の場合、インプラント治療ができない可能性があります
- 高血圧、貧血・不整脈等の場合、インプラント治療後に治癒不全を招く可能性があります
- 自費診療(保険適用外治療)となります
セラミック治療の注意事項(リスク・副作用など)
- 天然歯を削ります
- 硬い素材は天然歯を傷つけてしまう場合があります
- かみ合わせや歯ぎしりが強すぎる方はセラミックが割れてしまう可能性があります
- 自費診療(保険適用外治療)となります
当サイトの内容、テキスト、画像等の無断転載、複製、複写、盗用を固く禁じます。



























