症例詳細
Case detail
気になる八重歯と変色した前歯 抜歯矯正とセラミッククラウン治療
治療症例の内容
- 患者様
- 20代女性
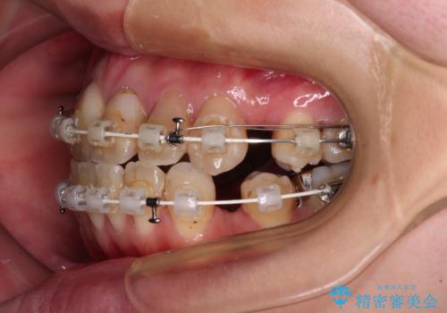
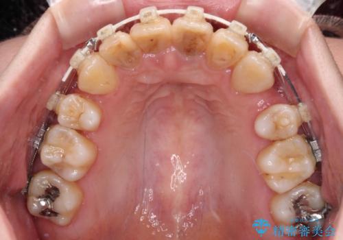
- 矯正装置
- 審美装置
- 治療期間
- 2年8ヶ月
- 治療回数
- 30回以上
- 治療計画
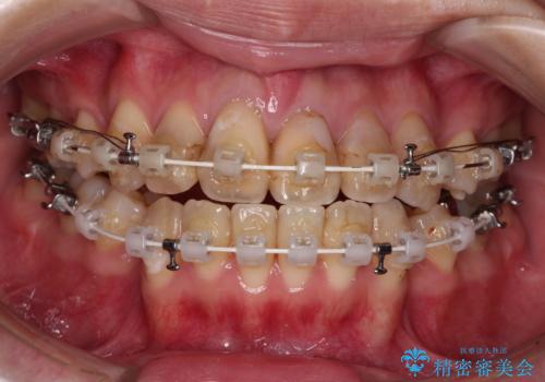
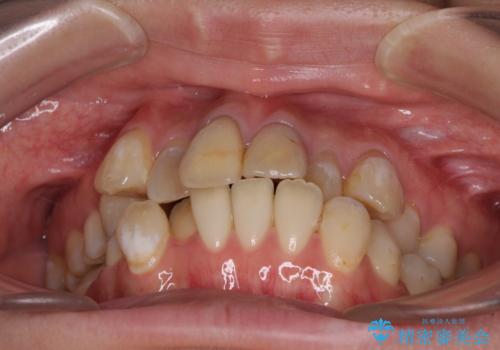
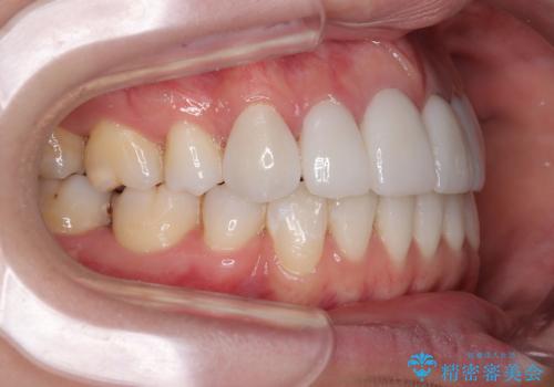
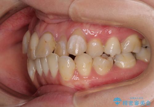
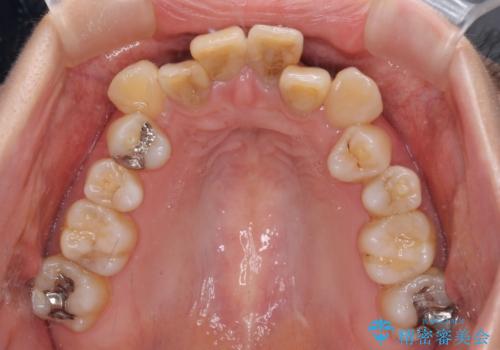
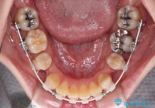
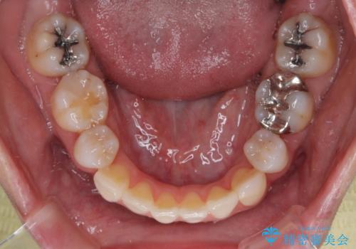
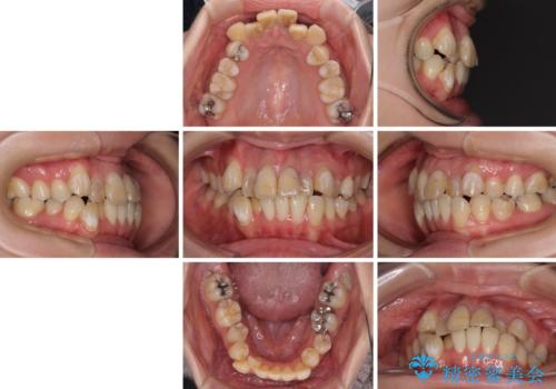
- 前歯の八重歯やデコボコを気にして来院された患者様です。
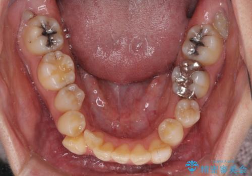
口元の突出感はありませんが、前歯の重なりが著しいため、目立ちにくい表側のワイヤー装置にて、上下左右の第一小臼歯4本を抜歯して矯正治療を行うこととしました。
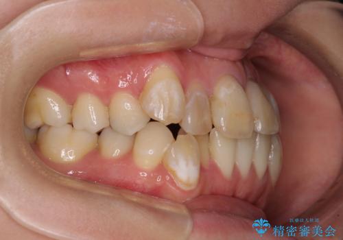
上顎前歯4本は、以前むし歯により神経をすべて取り除かれており、その影響で既に変色を起こしている状態でした。
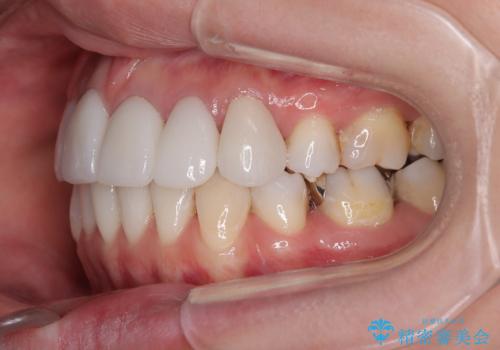
4本とも歯根部先端の骨が炎症により吸収していることがレントゲン写真から示唆されたため、矯正治療後に4本を再根管治療し、その後上顎6歯をオールセラミッククラウンにて補綴治療することとしました。
- 費用(概算)
- 治療費の目安: 135万円(税込)費用は治療当時の料金となります
治療について
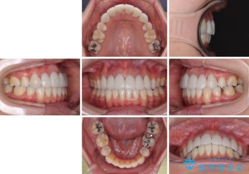
歯並びだけでなく、歯の色も明るくなり、すっきりとした口元の印象となりました。
ワイヤー矯正の注意事項(リスク・副作用など)
- 治療中は違和感や痛みが起こることがあります
- 症状により、抜歯が必要な場合があります
- 治療中は歯磨きがしにくくなるため、虫歯や歯周病になりやすくなります
- 矯正治療後の保定が不十分だと後戻り(元の位置に戻ろうとする動き)をします
- 自費診療(保険適用外)となります
根管治療の注意事項(リスク・副作用など)
- 根管治療により類似の全ての症例の問題が解決するわけではなく、症例はあくまでも一例です
- 根管治療により痛みや腫れがひかない事や、術後に痛みや腫れが生じる事、治療によるファイル破折やパーフォレーションなどの偶発症、術後の歯根破折を生じる可能性もあります
- 自費診療(保険適用外)となります
セラミック治療の注意事項(リスク・副作用など)
- 天然歯を削ります
- 硬い素材は天然歯を傷つけてしまう場合があります
- かみ合わせや歯ぎしりが強すぎる方はセラミックが割れてしまう可能性があります
- 自費診療(保険適用外治療)となります
当サイトの内容、テキスト、画像等の無断転載、複製、複写、盗用を固く禁じます。


























