症例詳細
Case detail
受け口を治す ワイヤー装置での矯正治療
- 患者様
- 40代男性
- 矯正装置
- 審美装置
- 治療期間
- 4年
- 治療回数
- 30回以上
- 治療計画
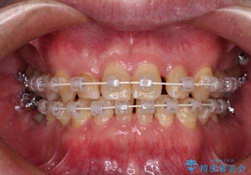
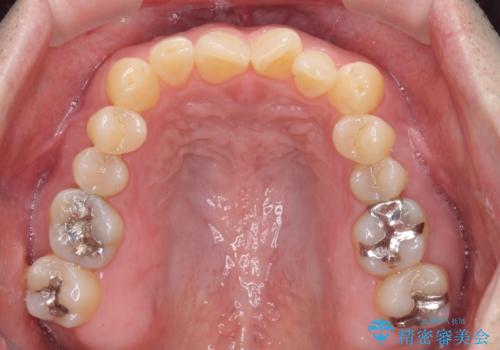
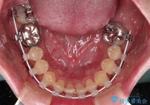
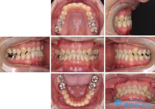
- 上下前歯の反対咬合と左下奥歯の痛みを気にして来院された患者様です。
歯並びや口元の印象、奥歯の咬み合わせから、非抜歯にて矯正治療を行うこととしました。
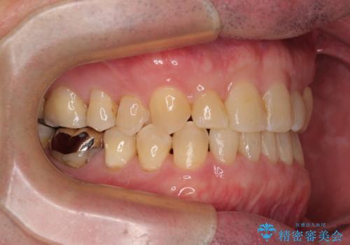
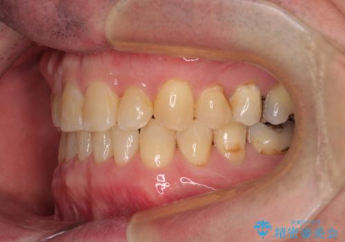
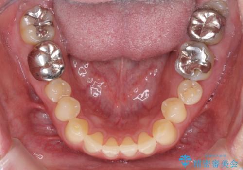
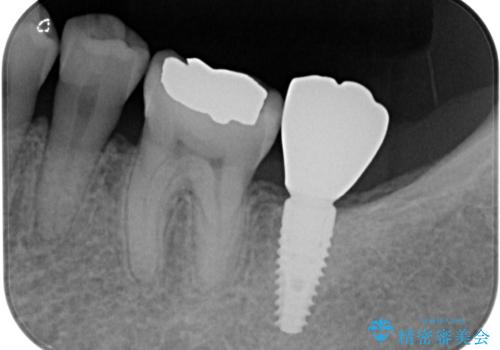
また、左下の奥歯は親知らずの影響で手前の歯の歯根までむし歯になってしまったため、親知らずとともに抜歯をし、インプラントによる補綴治療を行うこととしました。
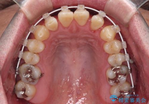
矯正治療は、ワイヤー装置とマウスピース矯正との選択肢がありましたが、マウスピース矯正は自己管理が煩わしいことを気にされて、目立たないワイヤー装置にて行うこととしました。
- 費用(概算)
- 治療費の目安: 135万円(税込)費用は治療当時の料金となります
治療について
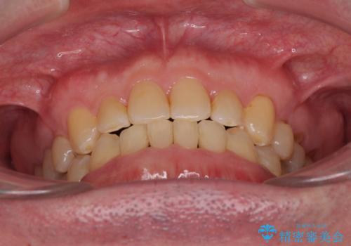
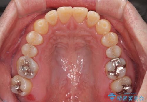
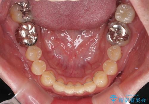
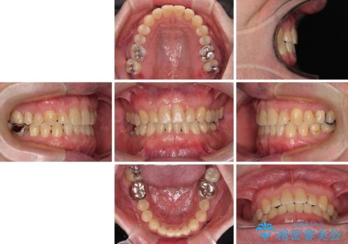
インプラント埋入による仮歯の装着や、前歯の反対咬合の改善は比較的スムーズに達成されましたが、舌突出癖などの影響による、歯列全体のスペースを閉じることが難航し、期間がかかってしまいました。
治療後も舌突出癖が残っていると、あっという間にスペースができてしまうので、トレーニングを継続するように指導をしています。
ワイヤー矯正の注意事項(リスク・副作用など)
- 治療中は違和感や痛みが起こることがあります
- 症状により、抜歯が必要な場合があります
- 治療中は歯磨きがしにくくなるため、虫歯や歯周病になりやすくなります
- 矯正治療後の保定が不十分だと後戻り(元の位置に戻ろうとする動き)をします
- 自費診療(保険適用外)となります
インプラント治療の注意事項(リスク・副作用など)
- 外科手術のため、術後に痛みや腫れ、違和感を伴います
- メンテナンスを怠ったり喫煙により、お口の中に大きな悪影響を及ぼすインプラント周囲炎等にかかる可能性があります
- 糖尿病、肝硬変、心臓病等の場合、インプラント治療ができない可能性があります
- 高血圧、貧血・不整脈等の場合、インプラント治療後に治癒不全を招く可能性があります
- 自費診療(保険適用外治療)となります
セラミック治療の注意事項(リスク・副作用など)
- 天然歯を削ります
- 硬い素材は天然歯を傷つけてしまう場合があります
- かみ合わせや歯ぎしりが強すぎる方はセラミックが割れてしまう可能性があります
- 自費診療(保険適用外治療)となります
当サイトの内容、テキスト、画像等の無断転載、複製、複写、盗用を固く禁じます。






























