症例詳細
Case detail
- 患者様
- 40代女性
- 矯正装置
- 審美装置
- 治療期間
- 5年1ヶ月
- 治療回数
- 30回以上
- 治療計画
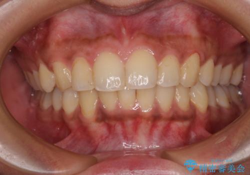
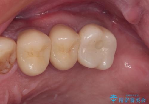
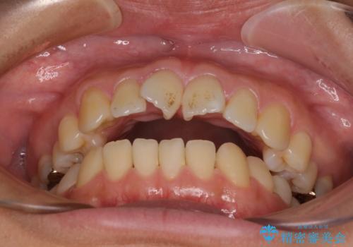
- ぼろぼろになった奥歯を治療したいとのことで来院された患者様です。
重度の歯周病と歯列不正が認められたため、歯周病治療やインプラントによる咬合回復を行った後に矯正治療を実施し、最終的にオールセラミッククラウンに補綴することとしました。
(当初の計画は前担当医によるもので、私の担当は矯正治療、その後の追加の歯周外科処置、歯周補綴処置のみ)
- 費用(概算)
- 治療費の目安: 400万円費用は治療当時の料金となります
治療を終えて
インプラント治療や歯槽骨再生治療、矯正治療など、盛りだくさんの治療計画であったため、治療期間は最低でも4年という予想でした。
歯列不正などによるプラークコントロールの不良が治療を困難なものとしましたが、矯正治療後は歯肉の状態も落ち着き、安定した状態でオールセラミッククラウンの補綴を行うことができました。
治療期間が大変長かったため、治療を終えたときには患者様の喜びもひとしおといった感じでした。
リスクについて
外科処置は術後に痛みを伴います。
セラミックは破折などにより修復や再製作が必要となることがあります。
矯正治療は後戻りのリスクがあります。
インプラント治療の注意事項(リスク・副作用など)
- 外科手術のため、術後に痛みや腫れ、違和感を伴います
- メンテナンスを怠ったり喫煙により、お口の中に大きな悪影響を及ぼすインプラント周囲炎等にかかる可能性があります
- 糖尿病、肝硬変、心臓病等の場合、インプラント治療ができない可能性があります
- 高血圧、貧血・不整脈等の場合、インプラント治療後に治癒不全を招く可能性があります
- 自費診療(保険適用外治療)となります
ワイヤー矯正の注意事項(リスク・副作用など)
- 治療中は違和感や痛みが起こることがあります
- 症状により、抜歯が必要な場合があります
- 治療中は歯磨きがしにくくなるため、虫歯や歯周病になりやすくなります
- 矯正治療後の保定が不十分だと後戻り(元の位置に戻ろうとする動き)をします
- 自費診療(保険適用外)となります
歯周病治療の注意事項(リスク・副作用など)
- 外科手術のため、術後に痛みや腫れ、違和感を伴います
- 歯周組織再生治療は患者様の状態によって術後の経過が異なります(見た目が改善しない場合もあります)
- 歯周組織再生治療は自費診療(保険適用外)となります
当サイトの内容、テキスト、画像等の無断転載、複製、複写、盗用を固く禁じます。























