症例詳細
Case detail
酸蝕歯でボロボロの歯の審美歯科治療 矯正治療も併用して、美しい口元へ
- 患者様
- 30代女性
- 矯正装置
- 審美装置
- 治療期間
- 5年2ヶ月
- 治療回数
- 30回以上
- 治療計画
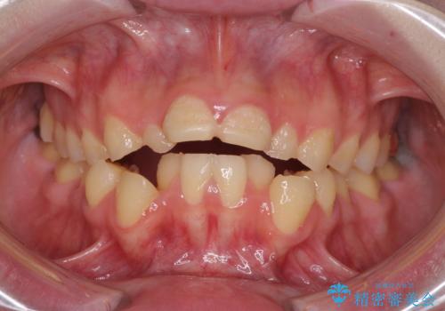
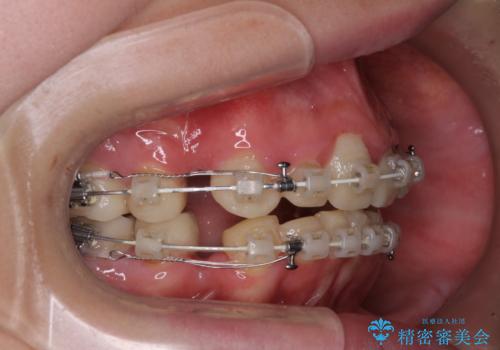
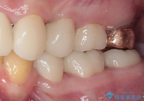
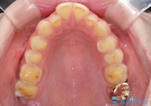
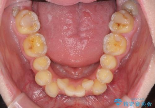
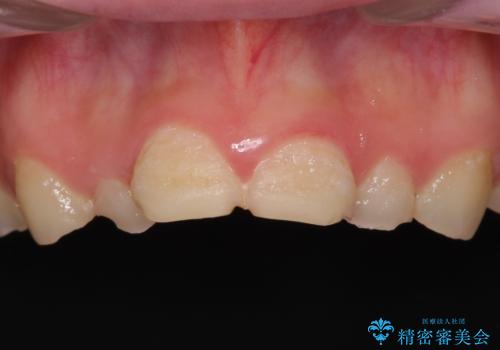
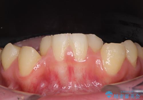
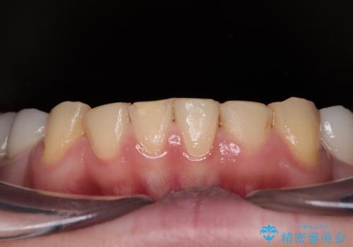
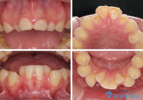
- 一時期の拒食症に伴い歯が酸で溶けてボロボロになってしまったとのことで来院された患者様です。
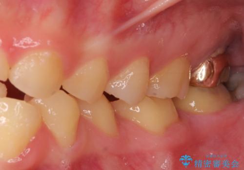
酸によりエナメル質の大半が溶けており、下顎前歯以外は酷いむし歯のような状態でした。
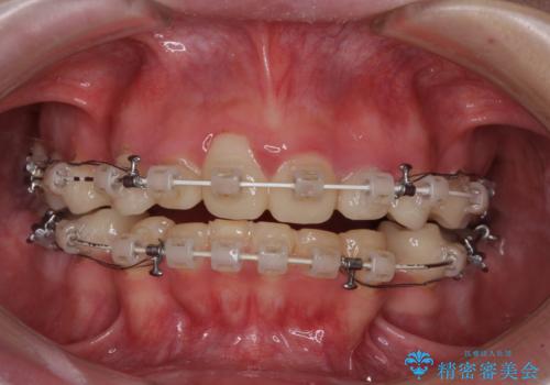
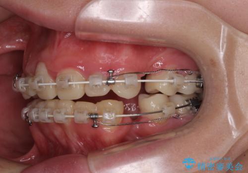
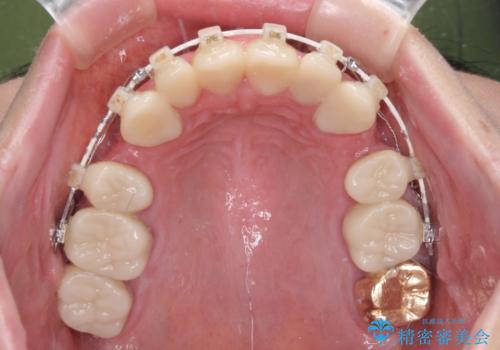
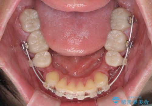
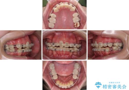
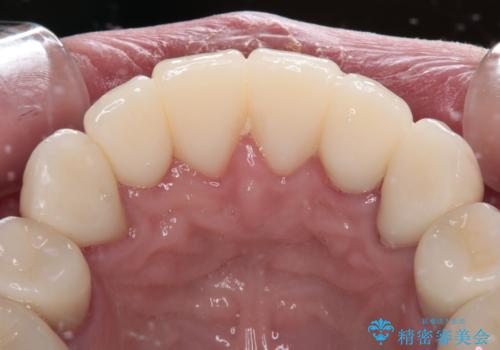
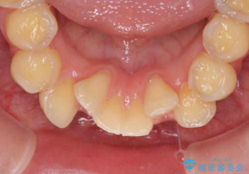
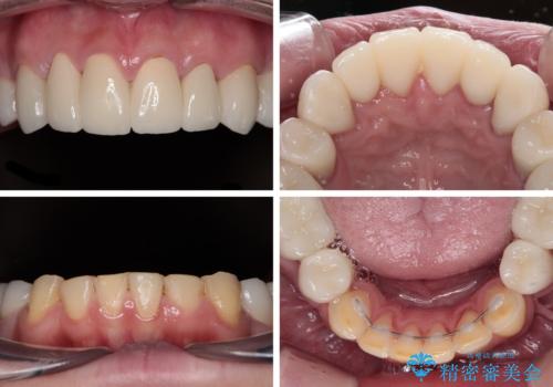
当初はほとんどの歯をむし歯治療のようにオールセラミッククラウンにて補綴治療を行う予定でしたが、仮歯に置き換えた時点で、口元の突出感や下顎前歯の叢生が気になるとのことで、上下左右の第一小臼歯4本を抜歯したワイヤー装置での抜歯矯正を行うこととしました。
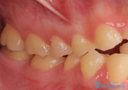
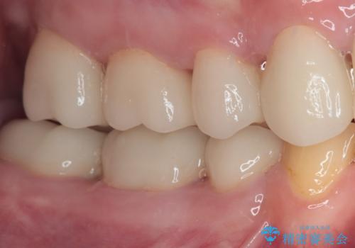
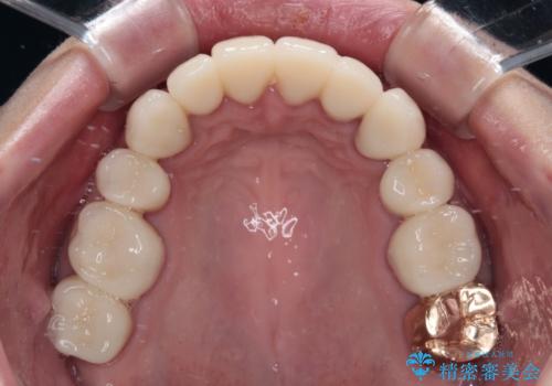
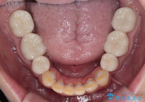
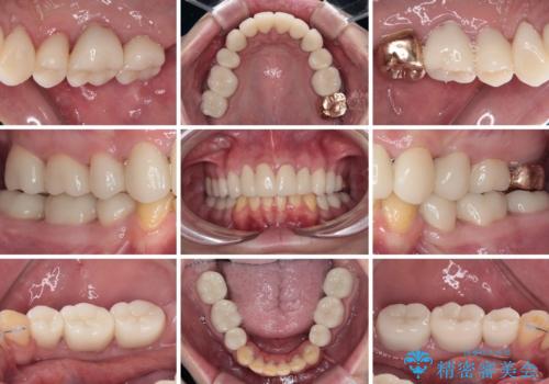
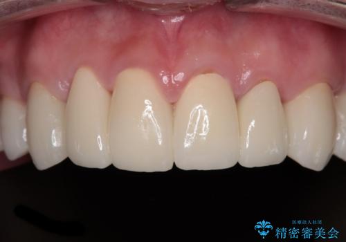
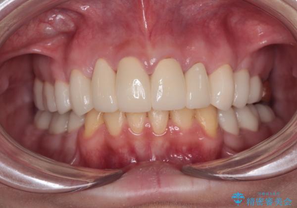
矯正治療終了後に、残った歯をオールセラミッククラウンにて補綴治療を行うこととしました。
- 費用(概算)
- 治療費の目安: 400万円(税込)費用は治療当時の料金となります
治療について
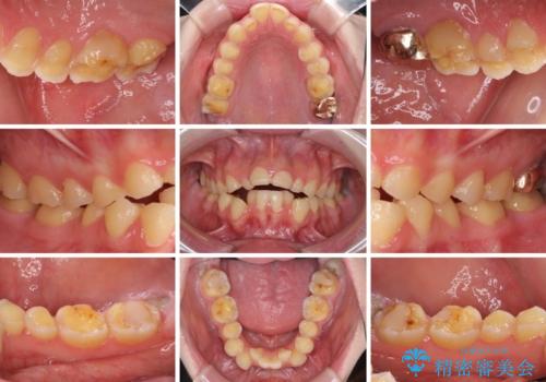
途中来院が困難な時期があったり、歯周外科処置を行って治癒を待ったりと、治療期間は長くなりましたが、初診時とは比べものにならないくらいきれいに仕上げることができました。
セラミック治療の注意事項(リスク・副作用など)
- 天然歯を削ります
- 硬い素材は天然歯を傷つけてしまう場合があります
- かみ合わせや歯ぎしりが強すぎる方はセラミックが割れてしまう可能性があります
- 自費診療(保険適用外治療)となります
ワイヤー矯正の注意事項(リスク・副作用など)
- 治療中は違和感や痛みが起こることがあります
- 症状により、抜歯が必要な場合があります
- 治療中は歯磨きがしにくくなるため、虫歯や歯周病になりやすくなります
- 矯正治療後の保定が不十分だと後戻り(元の位置に戻ろうとする動き)をします
- 自費診療(保険適用外)となります
当サイトの内容、テキスト、画像等の無断転載、複製、複写、盗用を固く禁じます。

































