症例詳細
Case detail
痛むむし歯と小さい歯とデコボコ むし歯治療と矯正治療を並行した総合歯科治療
- 患者様
- 30代女性
- 矯正装置
- インビザライン
- 治療期間
- 2年2ヶ月
- 治療回数
- 10-30回
- 治療計画
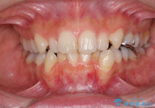
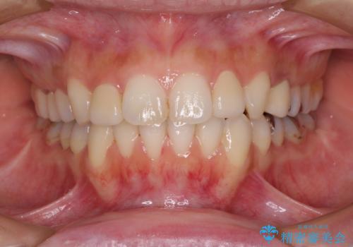
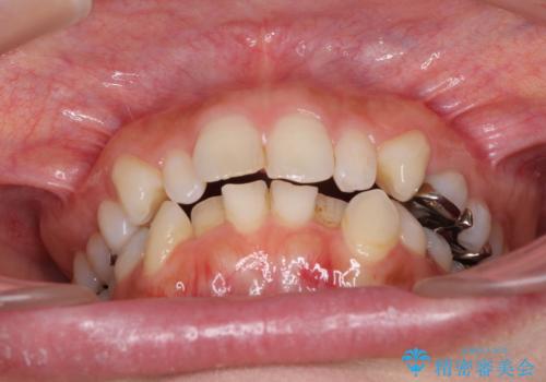
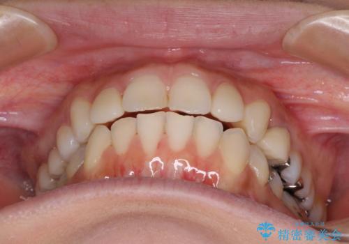
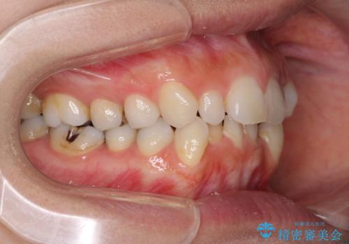
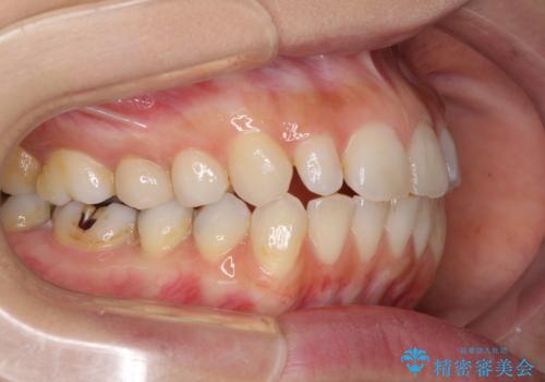
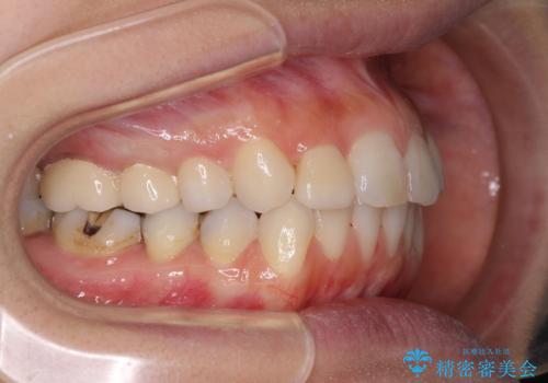
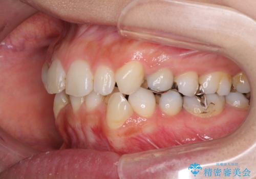
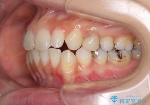
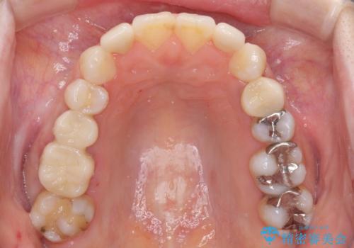
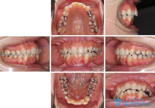
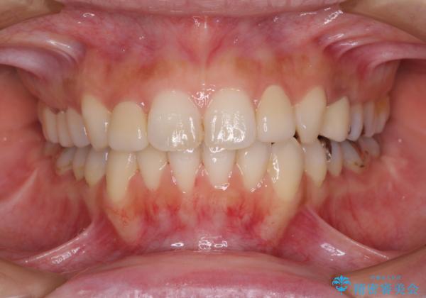
- 前歯のデコボコと矮小歯、更には痛みを感じる奥歯のむし歯を気にして来院された患者様です。
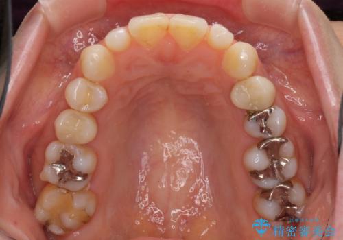
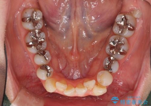
奥歯には根管治療が必要な歯があり、上顎側切歯は左右ともに矮小歯でした。
上下前歯のデコボコはワイヤーでもインビザラインでも対応可能でしたが、補綴治療が多く必要となることから、インビザラインでの矯正治療を行いながら、並行して補綴治療を行うこととしました。
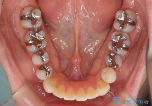
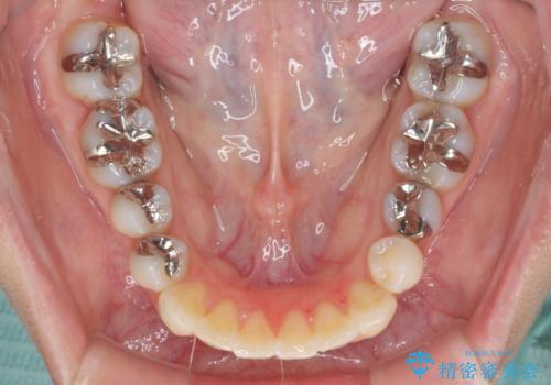
まずは根管治療を行った上で矯正治療用の仮歯を装着し、矯正治療後半に補綴治療を並行して行うこととしました。
- 費用(概算)
- 治療費の目安: 200万円(税込)費用は治療当時の料金となります
治療について
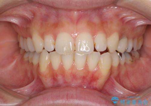
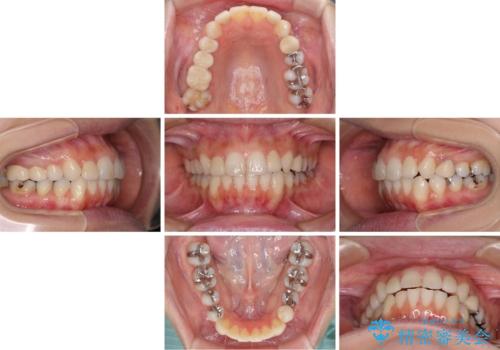
複数歯の補綴治療を行う場合、仮歯やセラミッククラウンを装着する度に保定装置を作り替える必要があり、その度に後戻りを起こす可能性が高くなります。
インビザラインであれば、矯正治療後半で補綴治療を行い、その後矯正治療を継続することでスムーズに治療を終えることができます。
マウスピース矯正の注意事項(リスク・副作用など)
- 口腔内・歯並びの状態によっては対応できない場合があります
- マウスピース型矯正装置の長時間装着(1日20時間以上)が必須です
- 治療計画通りに進めるためには、患者様の意志が重要になります
- 矯正治療後の保定が不十分だと後戻り(元の位置に戻ろうとする動き)をします
- 薬機法対象外の矯正歯科装置のため医薬品副作用被害救済制度の対象外となる場合があります
- 自費診療(保険適用外)となります
セラミック治療の注意事項(リスク・副作用など)
- 天然歯を削ります
- 硬い素材は天然歯を傷つけてしまう場合があります
- かみ合わせや歯ぎしりが強すぎる方はセラミックが割れてしまう可能性があります
- 自費診療(保険適用外治療)となります
当サイトの内容、テキスト、画像等の無断転載、複製、複写、盗用を固く禁じます。























