症例詳細
Case detail
隙間の空いた歯列とボロボロの乳歯 インプラント治療と矯正治療
- 患者様
- 30代女性
- 矯正装置
- 審美装置
- 治療期間
- 2年9ヶ月
- 治療回数
- 10-30回
- 治療計画
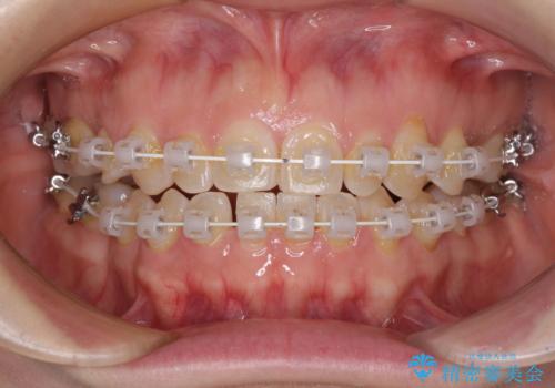
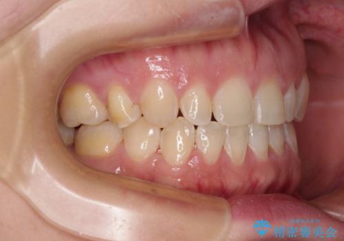
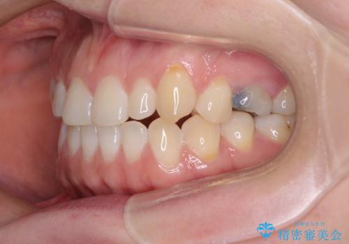
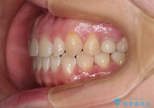
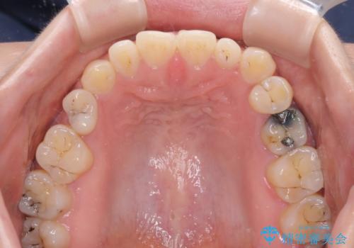
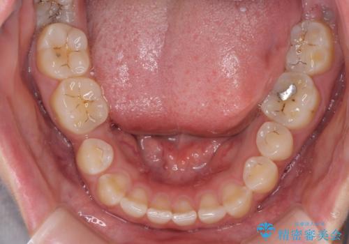
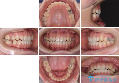
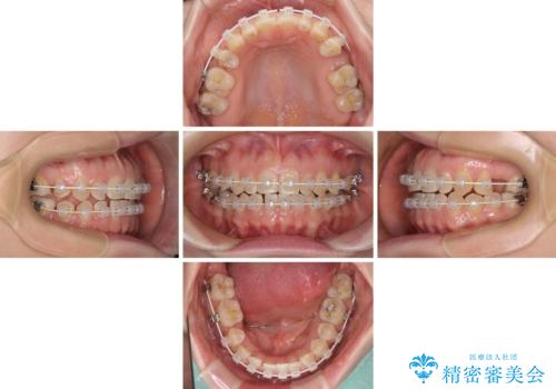
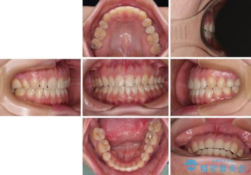
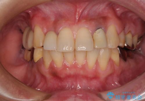
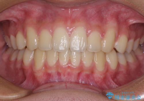
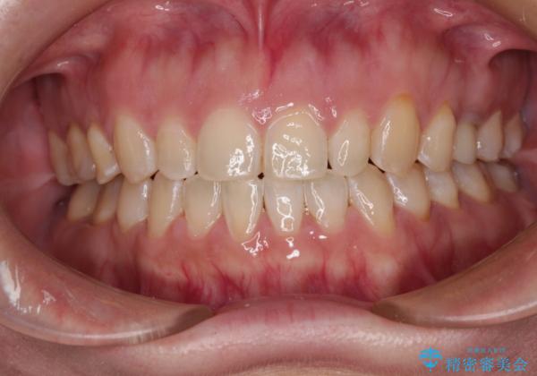
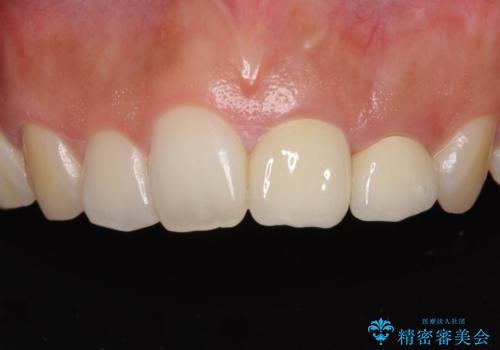
- 隙間の多い歯列や傾斜した奥歯、むし歯の酷い残存乳歯を気にして来院された患者様です。
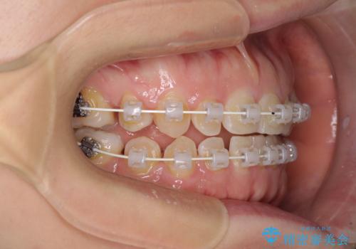
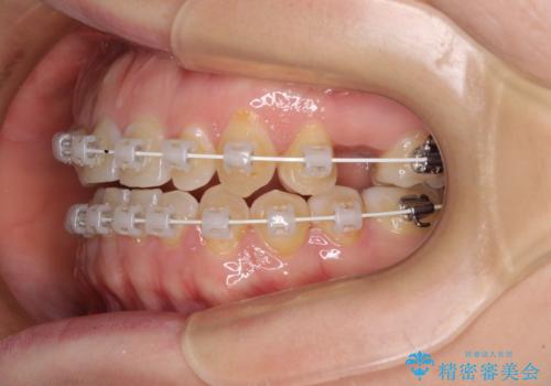
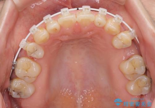
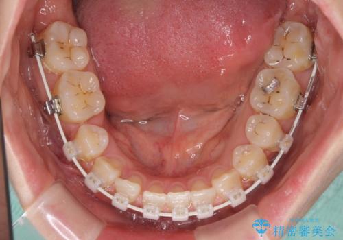
歯列はワイヤー矯正にて改善することとしましたが、上下歯列にも隙間があったので、舌の突出癖を改善するトレーニングを徹底的に行うこととしました。
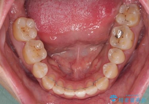
傾斜した下顎の奥歯は、矯正治療にてまずは歯軸を改善させ、隙間が閉じられるようであればそのままに、閉じられないようであればインプラント治療を行うこととしました。
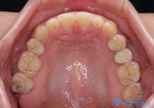
上顎のむし歯の酷い残存乳歯は抜歯をし、矯正治療の途中でインプラントを埋入、矯正治療後に補綴治療を行うこととしました。
- 費用(概算)
- 治療費の目安: 200万円(税込)費用は治療当時の料金となります
治療について
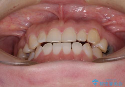
舌の突出癖改善のトレーニングが全くうまくできず、治療期間が長期化しました。
早く治療を終えたいとの要望があり、トレーニング次第と伝えるとようやく練習をするようになり、その後は速やかに上下の隙間が改善されました。
セラミック治療の注意事項(リスク・副作用など)
- 天然歯を削ります
- 硬い素材は天然歯を傷つけてしまう場合があります
- かみ合わせや歯ぎしりが強すぎる方はセラミックが割れてしまう可能性があります
- 自費診療(保険適用外治療)となります
インプラント治療の注意事項(リスク・副作用など)
- 外科手術のため、術後に痛みや腫れ、違和感を伴います
- メンテナンスを怠ったり喫煙により、お口の中に大きな悪影響を及ぼすインプラント周囲炎等にかかる可能性があります
- 糖尿病、肝硬変、心臓病等の場合、インプラント治療ができない可能性があります
- 高血圧、貧血・不整脈等の場合、インプラント治療後に治癒不全を招く可能性があります
- 自費診療(保険適用外治療)となります
ワイヤー矯正の注意事項(リスク・副作用など)
- 治療中は違和感や痛みが起こることがあります
- 症状により、抜歯が必要な場合があります
- 治療中は歯磨きがしにくくなるため、虫歯や歯周病になりやすくなります
- 矯正治療後の保定が不十分だと後戻り(元の位置に戻ろうとする動き)をします
- 自費診療(保険適用外)となります
当サイトの内容、テキスト、画像等の無断転載、複製、複写、盗用を固く禁じます。


























