症例詳細
Case detail
むし歯と咬み合わせで奥歯に負担がかかる 総合歯科治療で悩みを改善
- 患者様
- 30代女性
- 矯正装置
- 審美装置
- 治療期間
- 2年8ヶ月
- 治療回数
- 10-30回
- 治療計画
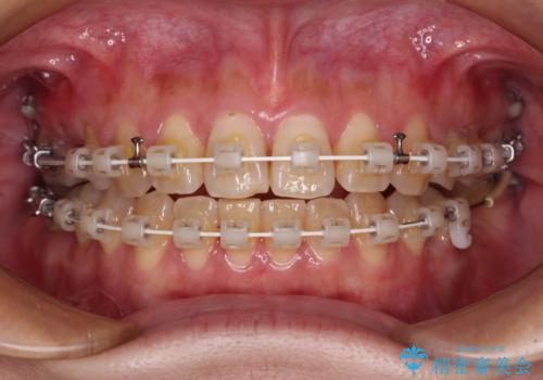
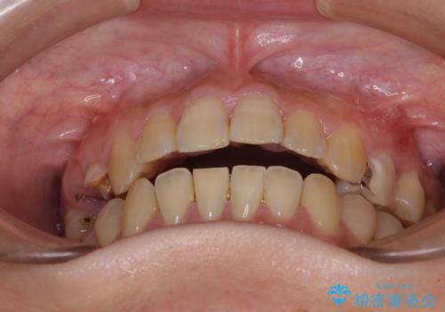
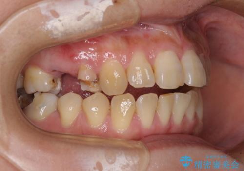
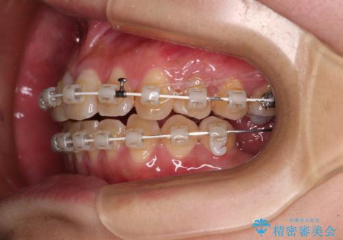
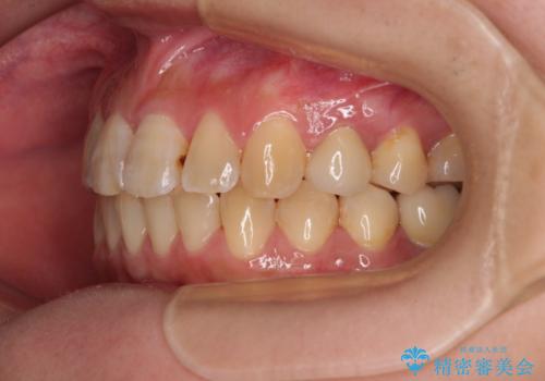
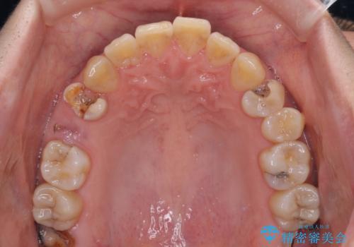
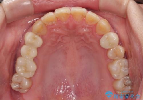
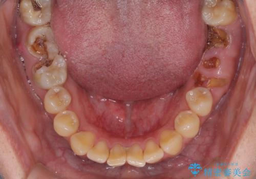
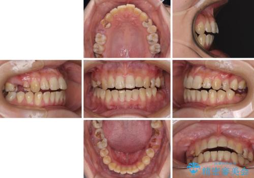
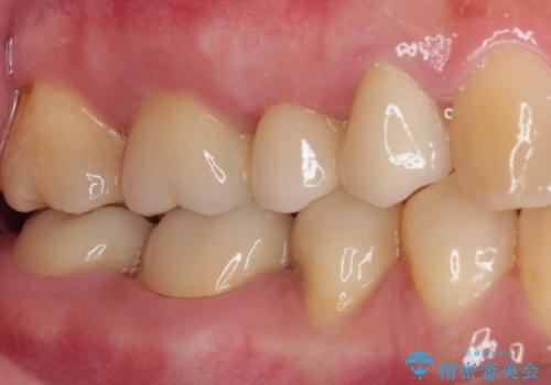
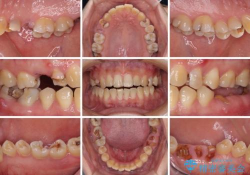
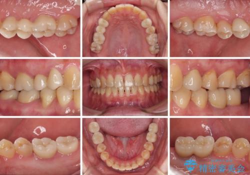
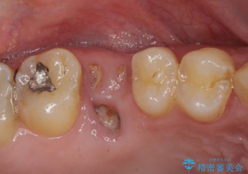
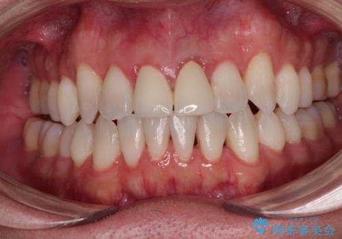
- 奥歯に問題が多くて困っているとのことで来院された患者様です。
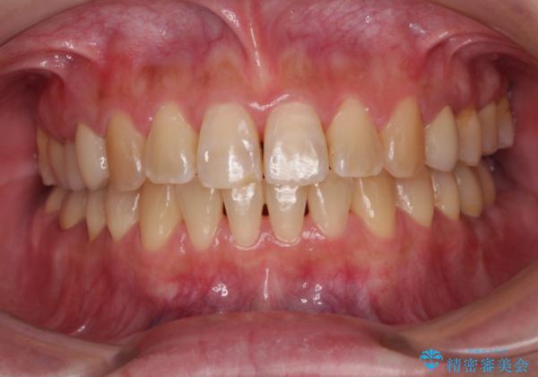
開咬により奥歯のみが接触している状態で、前歯部にほとんど接触のない状態で、奥歯に非常に負担のかかる咬み合わせでした。
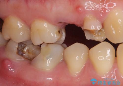
また、欠損や根管治療の必要な歯など、むし歯による問題も多く散見されました。
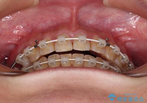
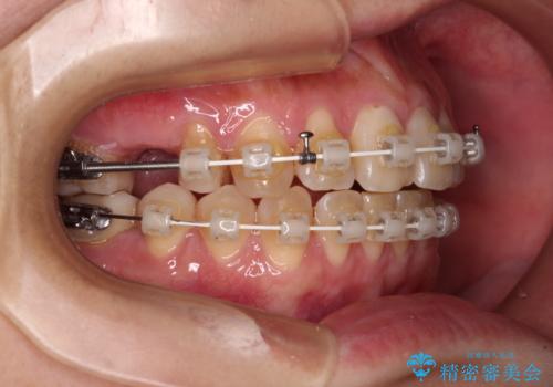
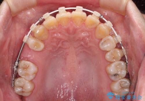
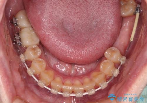
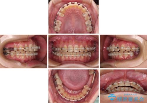
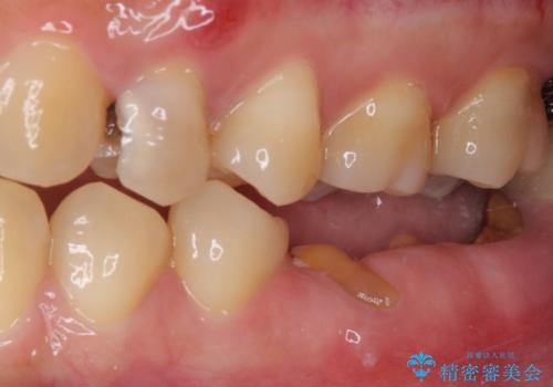
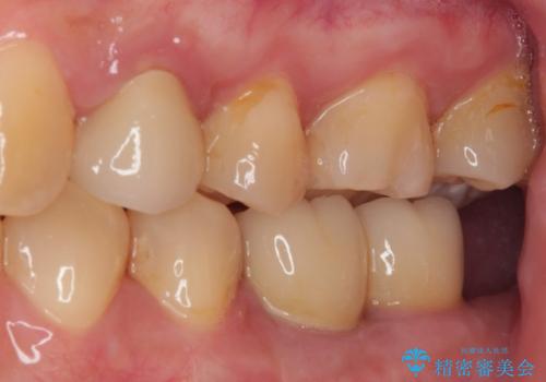
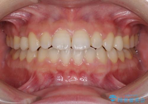
まずはむし歯の治療を行い、その後ワイヤー矯正にて咬み合わせを改善し、途中インプラント埋入を行い、矯正治療後に補綴治療を行うこととしました。
- 費用(概算)
- 治療費の目安: 400万円(税込)費用は治療当時の料金となります
治療について
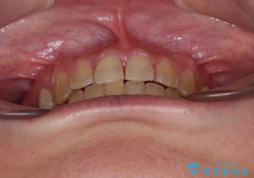
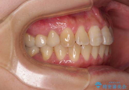
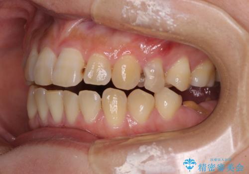
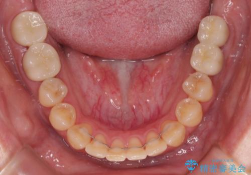
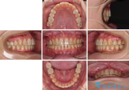
治療の期間と費用はかかりますが、初診時とは比べものにならないほど良好な状態にて治療を終えることができました。
セラミック治療の注意事項(リスク・副作用など)
- 天然歯を削ります
- 硬い素材は天然歯を傷つけてしまう場合があります
- かみ合わせや歯ぎしりが強すぎる方はセラミックが割れてしまう可能性があります
- 自費診療(保険適用外治療)となります
インプラント治療の注意事項(リスク・副作用など)
- 外科手術のため、術後に痛みや腫れ、違和感を伴います
- メンテナンスを怠ったり喫煙により、お口の中に大きな悪影響を及ぼすインプラント周囲炎等にかかる可能性があります
- 糖尿病、肝硬変、心臓病等の場合、インプラント治療ができない可能性があります
- 高血圧、貧血・不整脈等の場合、インプラント治療後に治癒不全を招く可能性があります
- 自費診療(保険適用外治療)となります
ワイヤー矯正の注意事項(リスク・副作用など)
- 治療中は違和感や痛みが起こることがあります
- 症状により、抜歯が必要な場合があります
- 治療中は歯磨きがしにくくなるため、虫歯や歯周病になりやすくなります
- 矯正治療後の保定が不十分だと後戻り(元の位置に戻ろうとする動き)をします
- 自費診療(保険適用外)となります
根管治療の注意事項(リスク・副作用など)
- 根管治療により類似の全ての症例の問題が解決するわけではなく、症例はあくまでも一例です
- 根管治療により痛みや腫れがひかない事や、術後に痛みや腫れが生じる事、治療によるファイル破折やパーフォレーションなどの偶発症、術後の歯根破折を生じる可能性もあります
- 自費診療(保険適用外)となります
当サイトの内容、テキスト、画像等の無断転載、複製、複写、盗用を固く禁じます。

































