症例詳細
Case detail
歯が全く咬みあわない 矯正と補綴の全顎治療
- 患者様
- 40代女性
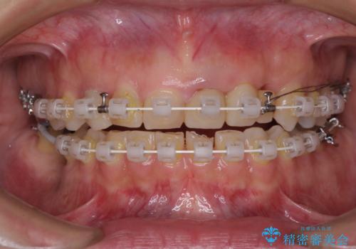
- 矯正装置
- 審美装置
- 治療期間
- 3年5ヶ月
- 治療回数
- 10-30回
- 治療計画
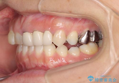
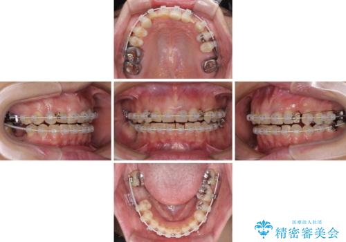
- 右下の奥歯が痛く、全体的に咬み合わせがおかしい気がするとのことで来院された患者様です。
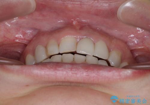
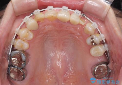
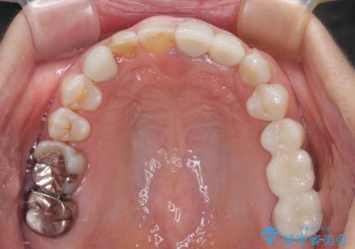
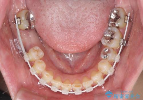
診察したところ、上顎前歯に過剰歯があることで上顎歯列が大きくなり、上下の歯が奥歯の一部でしか咬み合っていない状態でした。
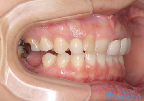
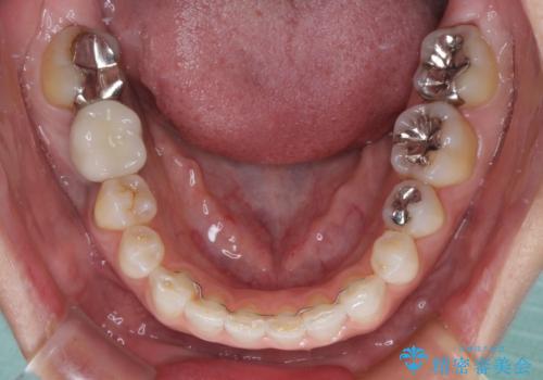
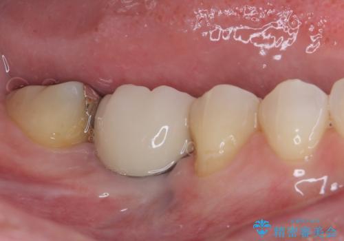
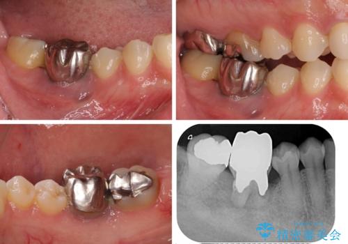
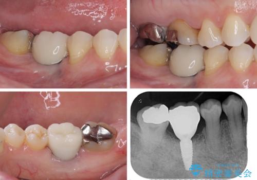
そのため右下の奥歯に強い負担が生じていて、むし歯が大きかったこともあり、抜歯が必要な状態でした。
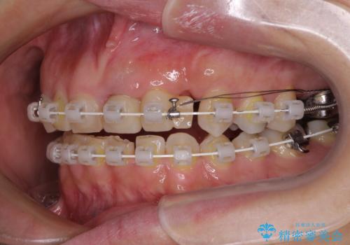
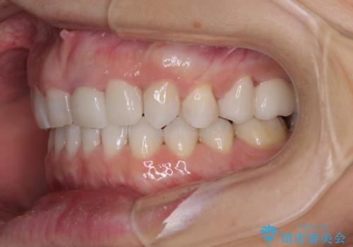
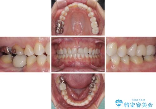
咬み合わせ改善のため、前歯の過剰歯を抜去し、ワイヤー矯正にて歯列と咬み合わせることとしました。
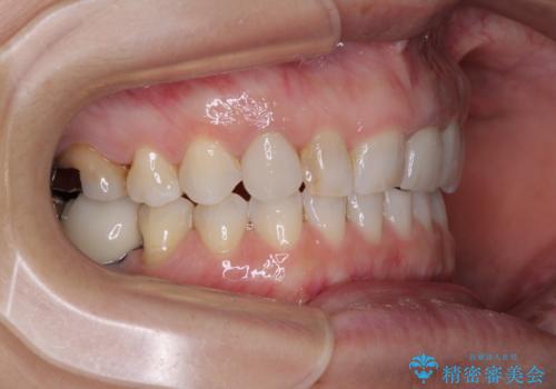
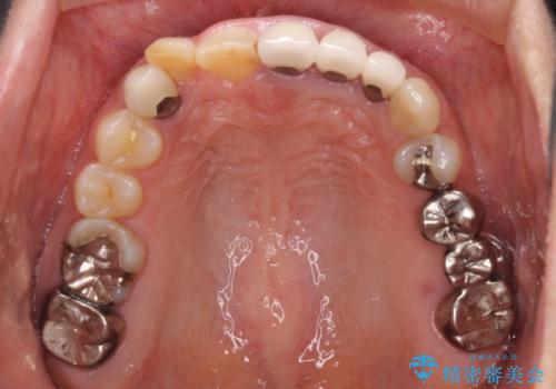
左上の奥歯のブリッジや前歯のセラミッククラウンはいったん除去し、矯正治療後に補綴治療を行うこととしました。
また、右下の抜歯が必要な奥歯は、矯正治療の途中でインプラントを埋入し、矯正治療後に上顎と合わせて補綴治療を行うこととしました。
- 費用(概算)
- 治療費の目安: 225万円(税込)費用は治療当時の料金となります
治療について
上下非接触の咬み合わせは、舌突出癖によるところが大きく、トレーニングを行いながら治療を進めていきました。
なかなか突出癖が改善できず、過剰歯を抜歯したスペースを閉じるまでに時間がかかりました。
舌突出癖の改善は、治療期間や仕上がりに大きな影響を与えるため、しっかりとトレーニングすることが大切です。
ワイヤー矯正の注意事項(リスク・副作用など)
- 治療中は違和感や痛みが起こることがあります
- 症状により、抜歯が必要な場合があります
- 治療中は歯磨きがしにくくなるため、虫歯や歯周病になりやすくなります
- 矯正治療後の保定が不十分だと後戻り(元の位置に戻ろうとする動き)をします
- 自費診療(保険適用外)となります
セラミック治療の注意事項(リスク・副作用など)
- 天然歯を削ります
- 硬い素材は天然歯を傷つけてしまう場合があります
- かみ合わせや歯ぎしりが強すぎる方はセラミックが割れてしまう可能性があります
- 自費診療(保険適用外治療)となります
インプラント治療の注意事項(リスク・副作用など)
- 外科手術のため、術後に痛みや腫れ、違和感を伴います
- メンテナンスを怠ったり喫煙により、お口の中に大きな悪影響を及ぼすインプラント周囲炎等にかかる可能性があります
- 糖尿病、肝硬変、心臓病等の場合、インプラント治療ができない可能性があります
- 高血圧、貧血・不整脈等の場合、インプラント治療後に治癒不全を招く可能性があります
- 自費診療(保険適用外治療)となります
当サイトの内容、テキスト、画像等の無断転載、複製、複写、盗用を固く禁じます。































