症例詳細
Case detail
【インビザライン】上の前歯出ているのが気になる
治療症例の内容
- 担当医
- 菊地俊介(ドクタープロフィール)
- 患者様
- 30代女性
- 矯正装置
- インビザライン
- 治療期間
- 8ヶ月
- 治療回数
- 5-10回
- 治療計画
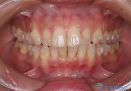
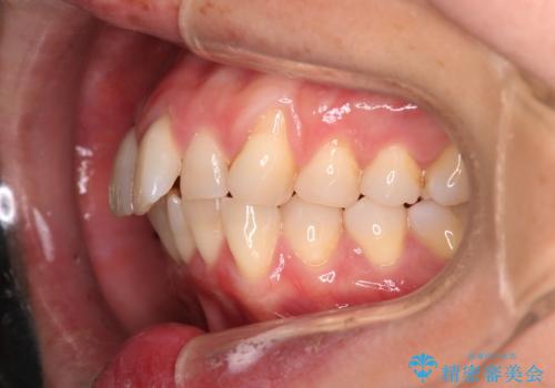
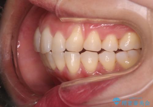
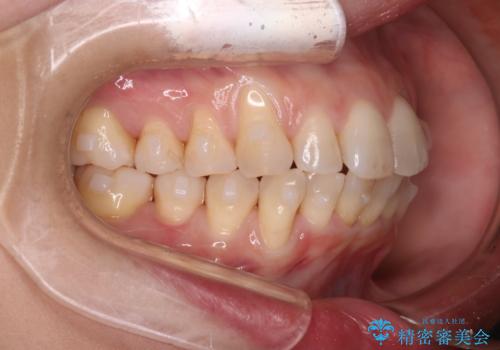
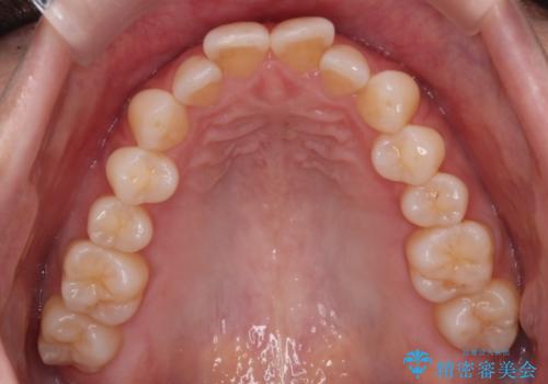
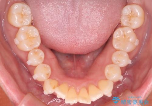
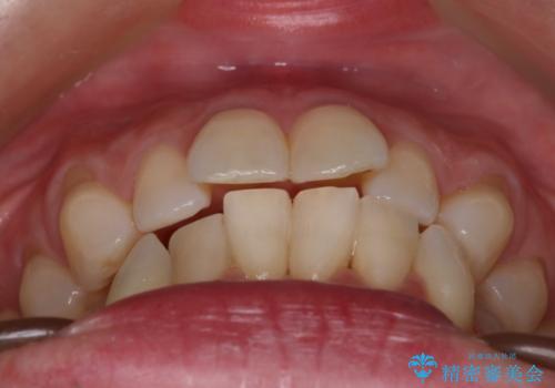
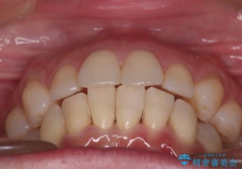
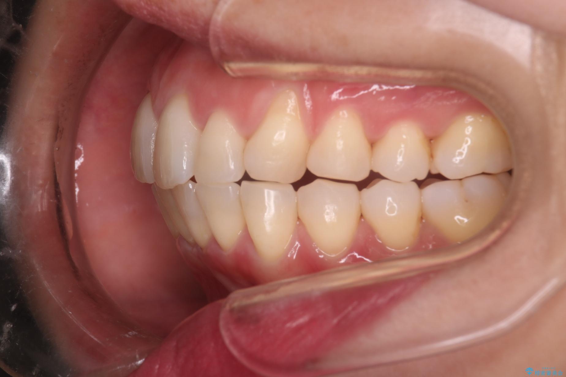
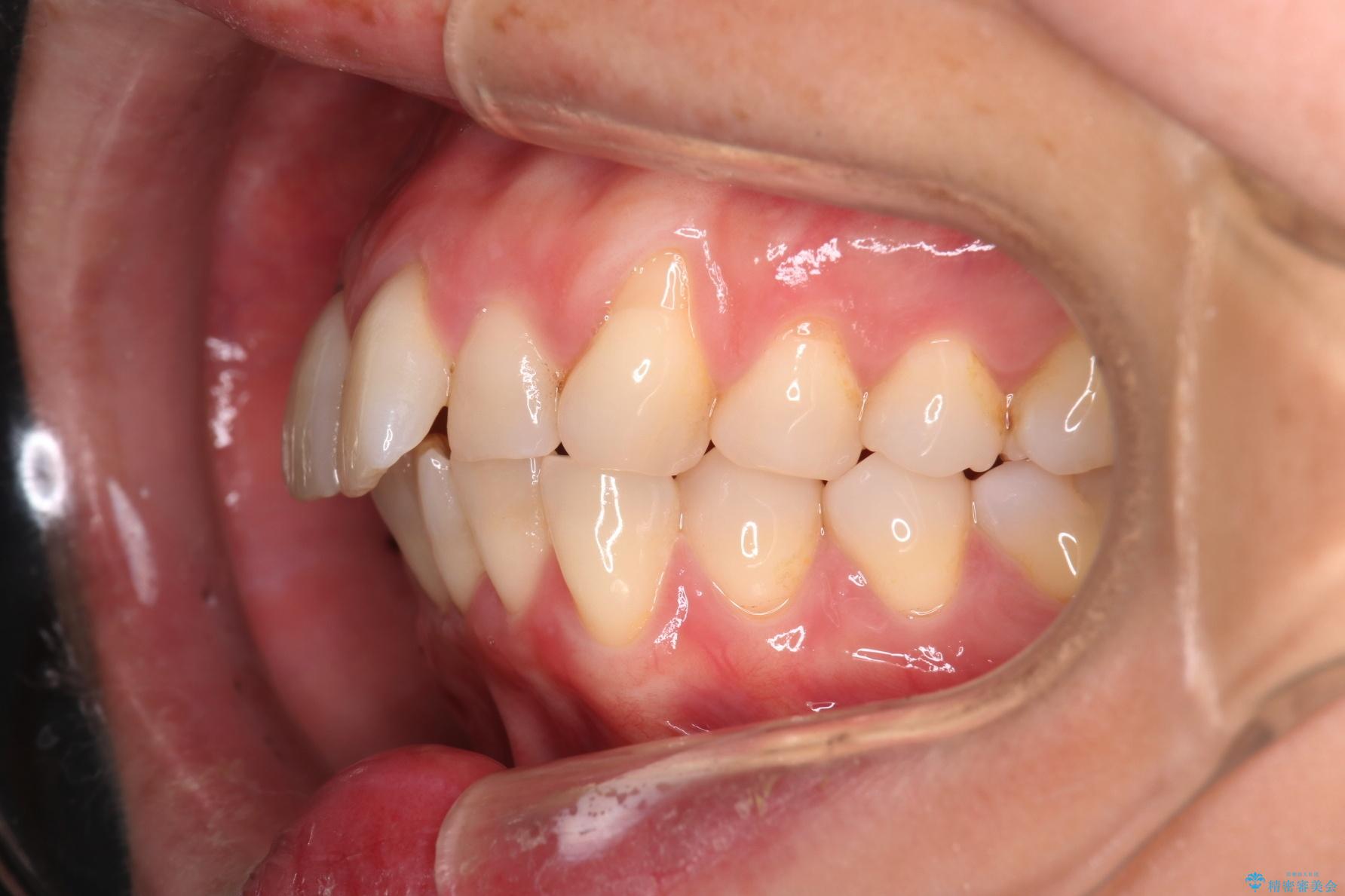
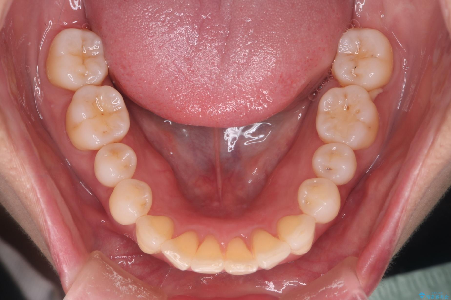
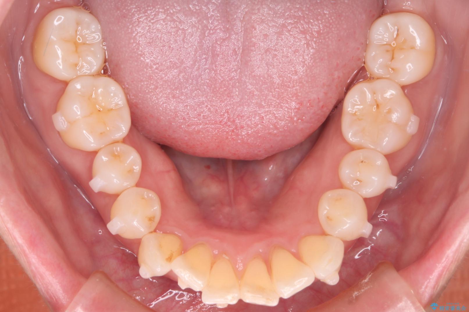
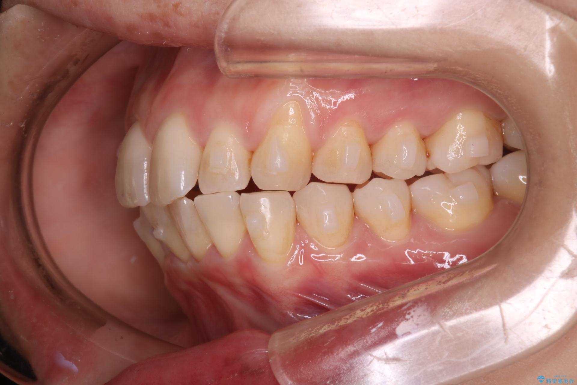
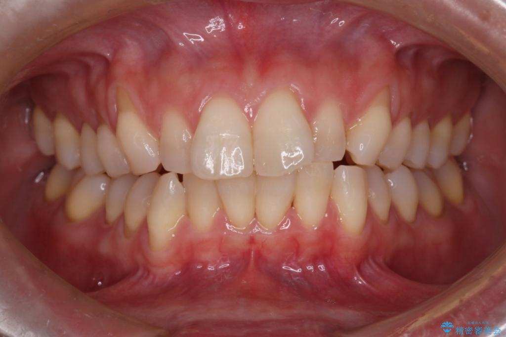
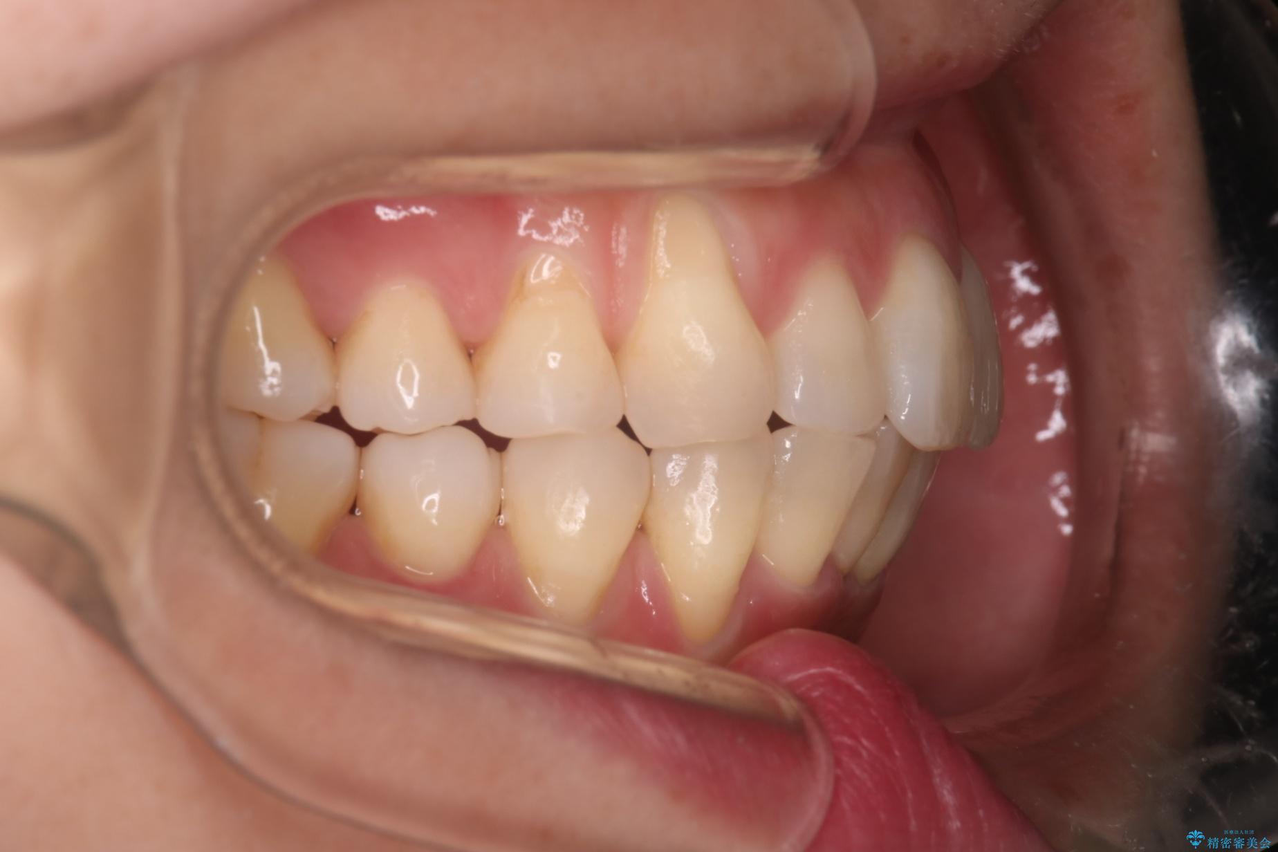
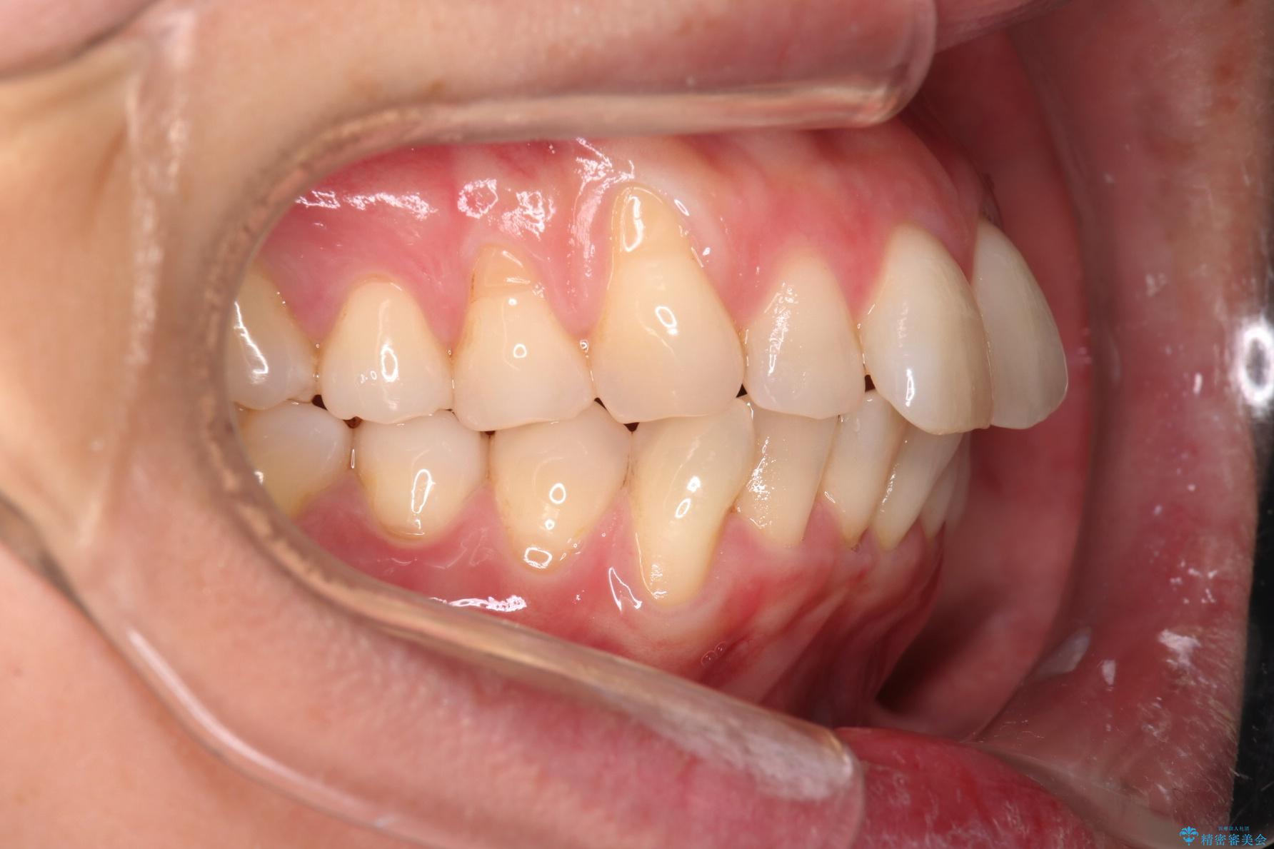
- 上の前歯出ている、がたつきが気になるのを主訴に来院されました。
口元は気にされておらず、インビザラインでの治療が可能と判断したのでインビザラインで治療を行なっていくことにしました。
インビザラインにて、歯列を拡大しながらがたつきを改善する治療計画を立てました。
- 費用(概算)
- 52.8万円(税込)費用は治療当時の料金となります
治療について
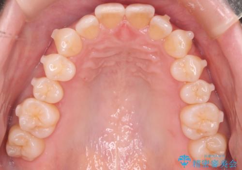
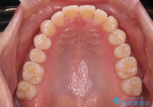
患者様がお忙しいということもあり、1枚のマウスピースを通常より長めに使用していただくことにしました。
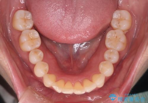
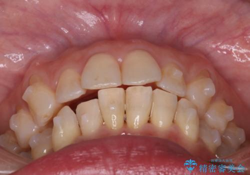
そのため少し治療期間が延びましたが、マウスピースの再発注をすることなく治療を終えることができました。
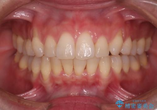
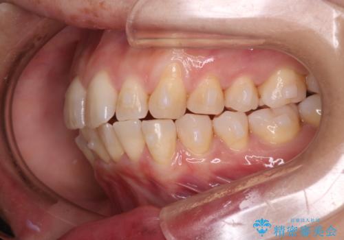
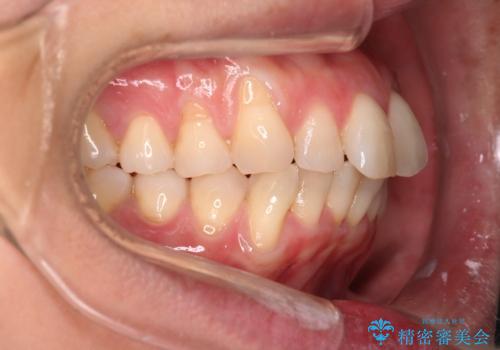
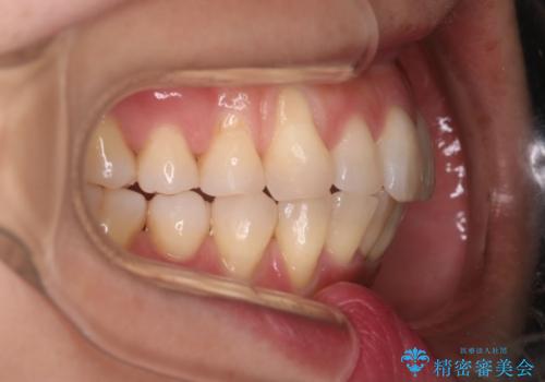
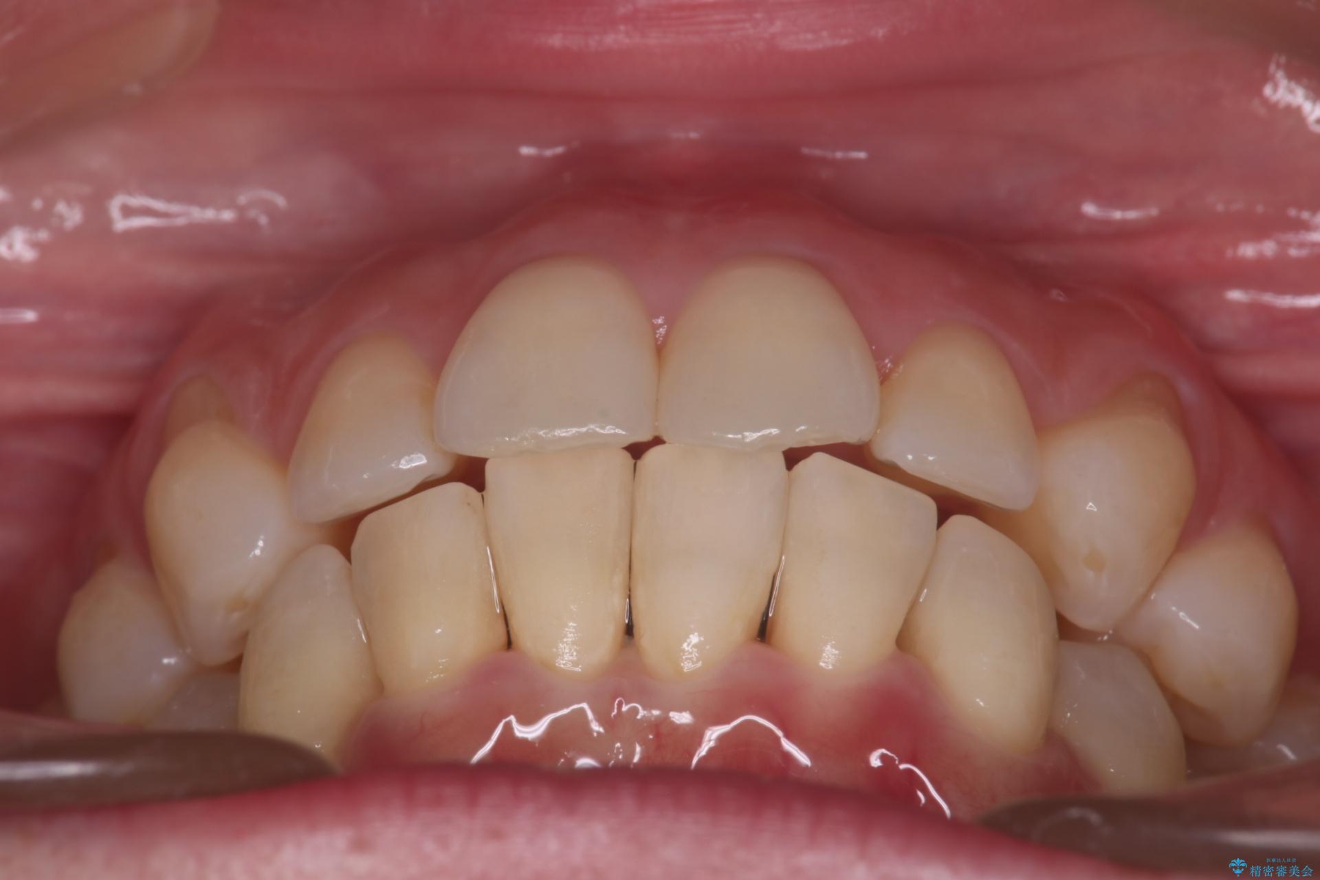
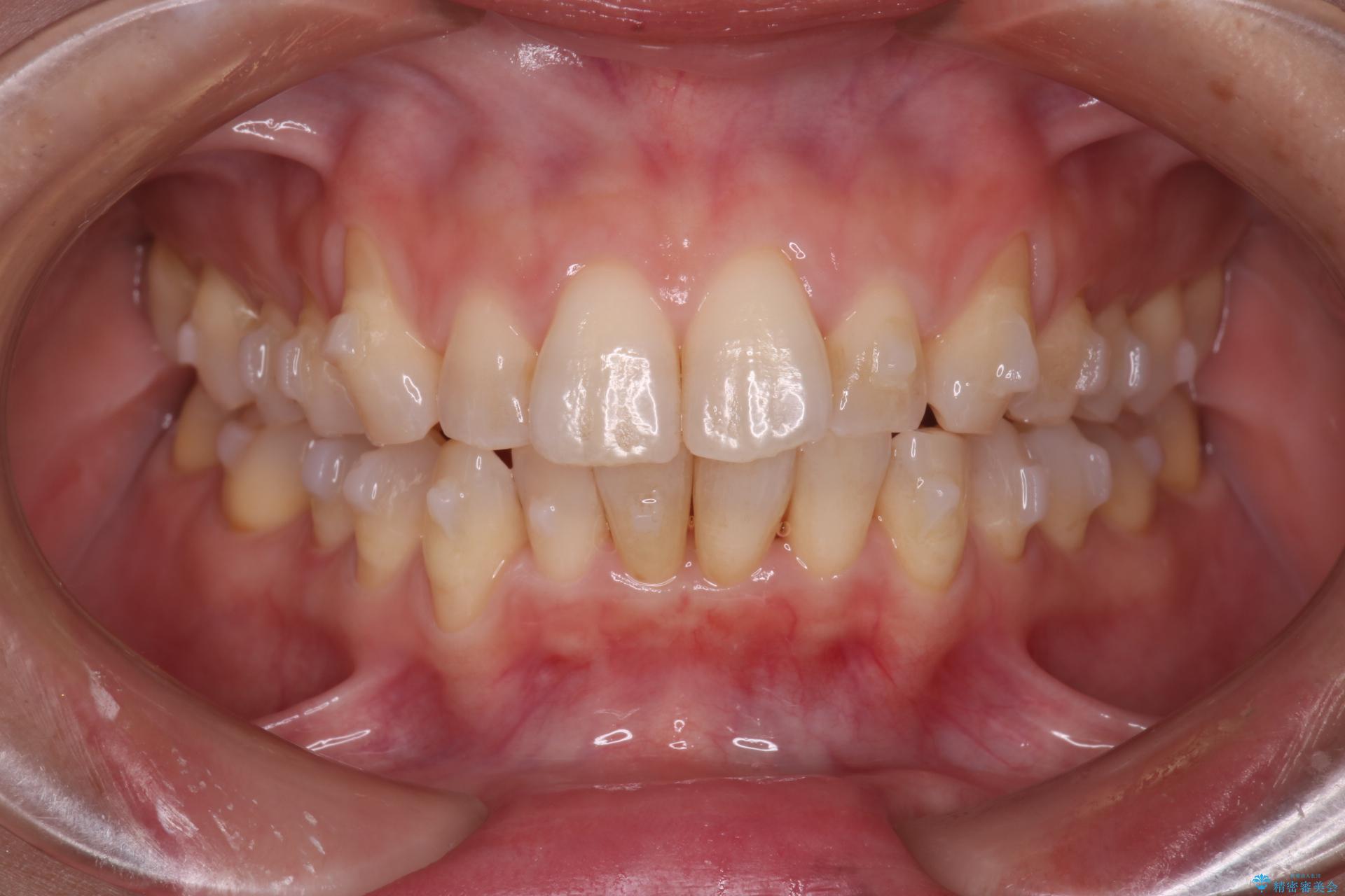
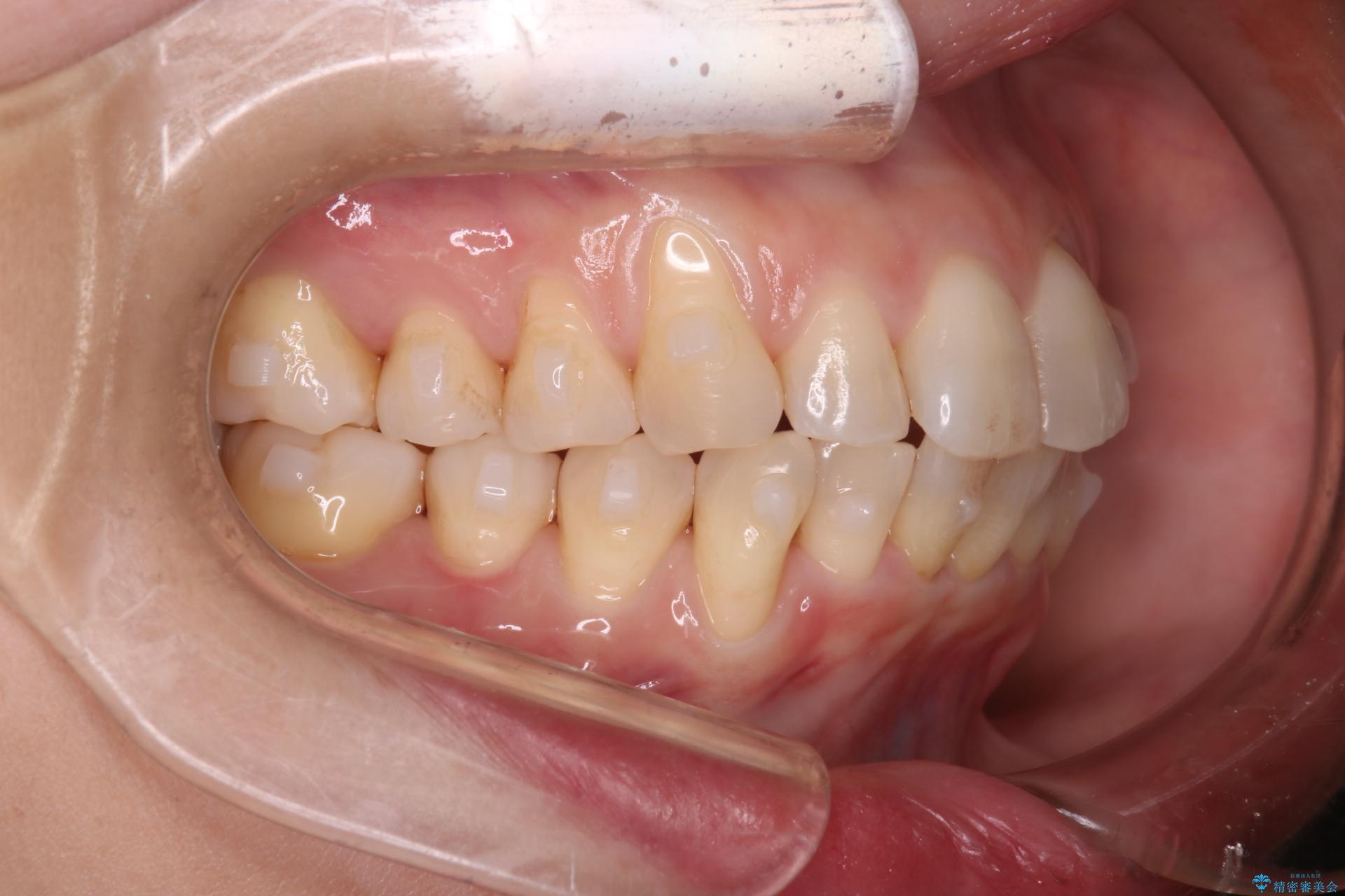
気にされていた前歯のがたつきが改善され、綺麗な歯並びになりました。
マウスピース矯正の注意事項(リスク・副作用など)
- 口腔内・歯並びの状態によっては対応できない場合があります
- マウスピース型矯正装置の長時間装着(1日20時間以上)が必須です
- 治療計画通りに進めるためには、患者様の意志が重要になります
- 矯正治療後の保定が不十分だと後戻り(元の位置に戻ろうとする動き)をします
- 薬機法対象外の矯正歯科装置のため医薬品副作用被害救済制度の対象外となる場合があります
- 自費診療(保険適用外)となります
当サイトの内容、テキスト、画像等の無断転載、複製、複写、盗用を固く禁じます。




















