症例詳細
Case detail
{ 歯周外科 } 骨隆起除去を含む歯冠長延長術
治療症例の内容
- 患者様
- 40代女性
- 治療期間
- 8ヶ月
- 治療回数
- 10-30回
- 治療計画
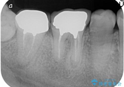
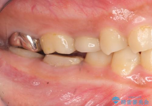
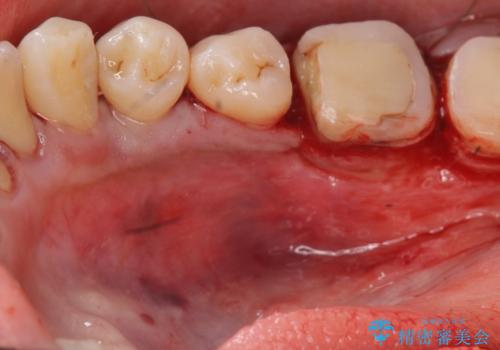
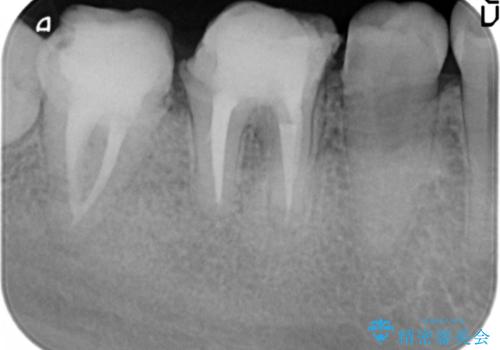
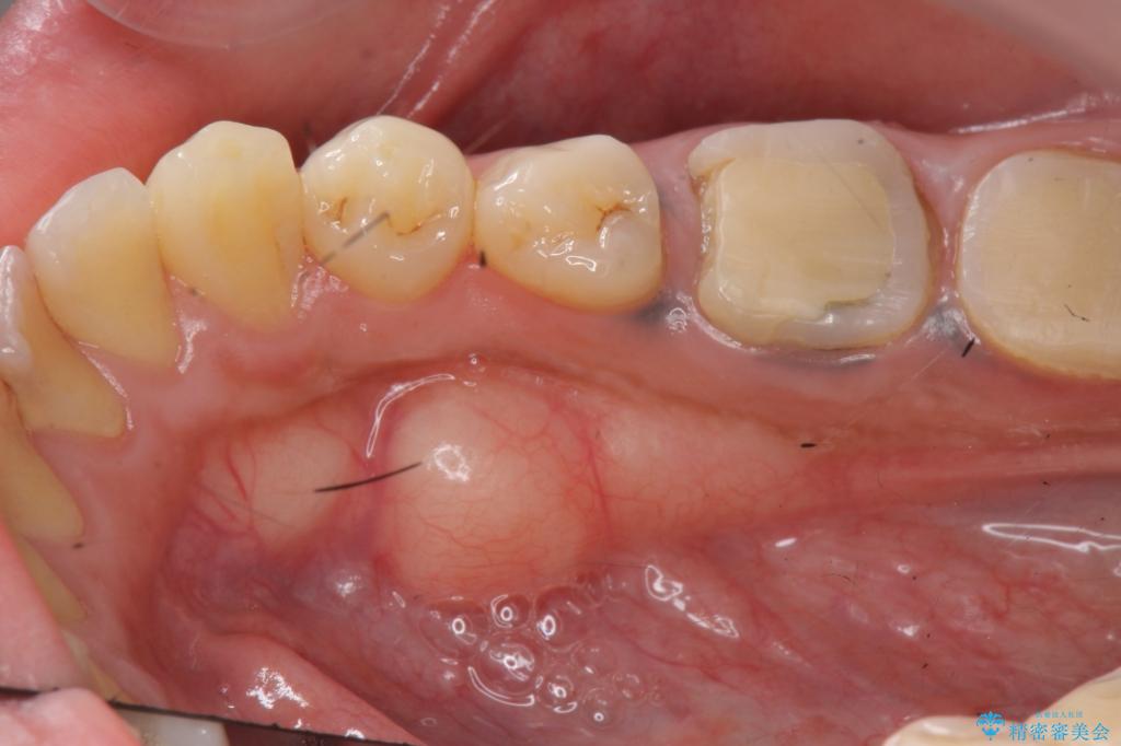
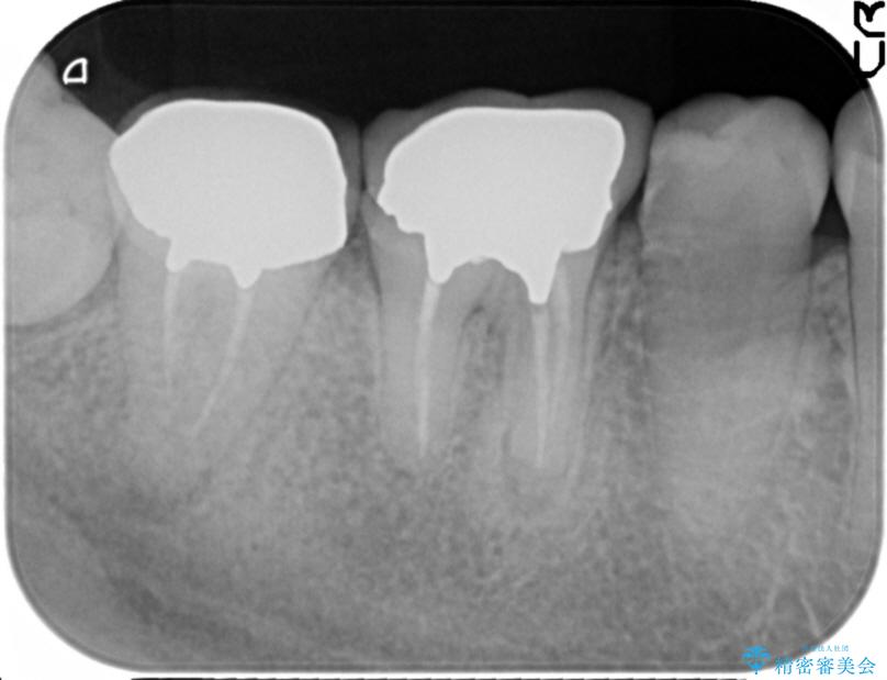
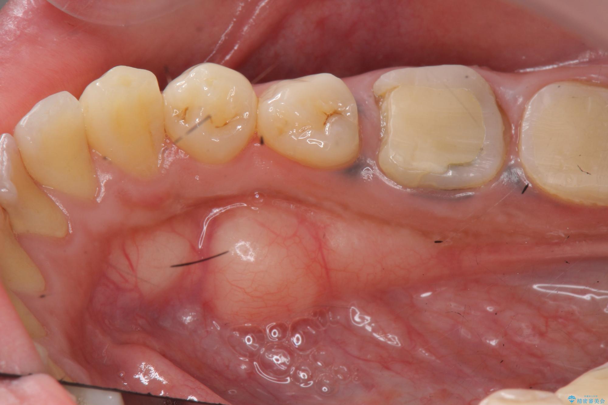
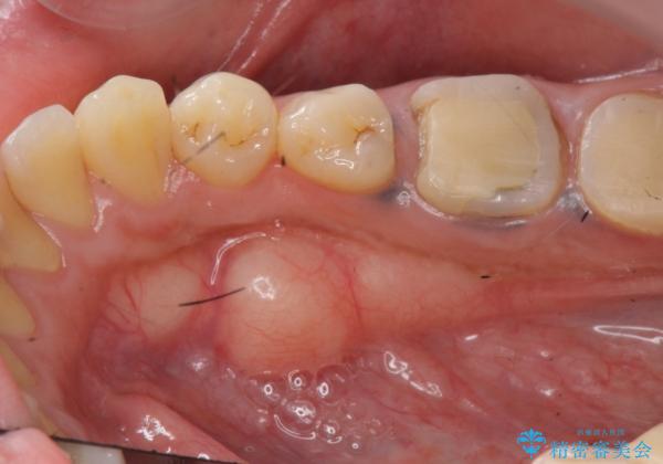
- 治療途中で放置してしまった奥歯の治療の続きを希望され来院されました。
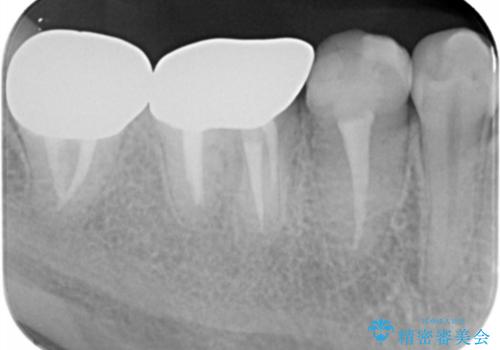
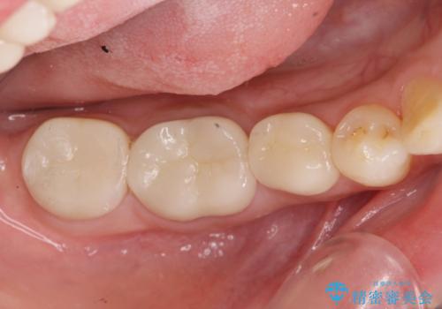
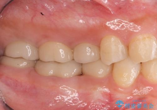
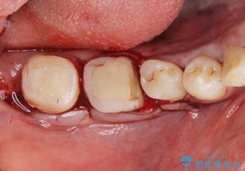
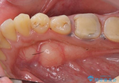
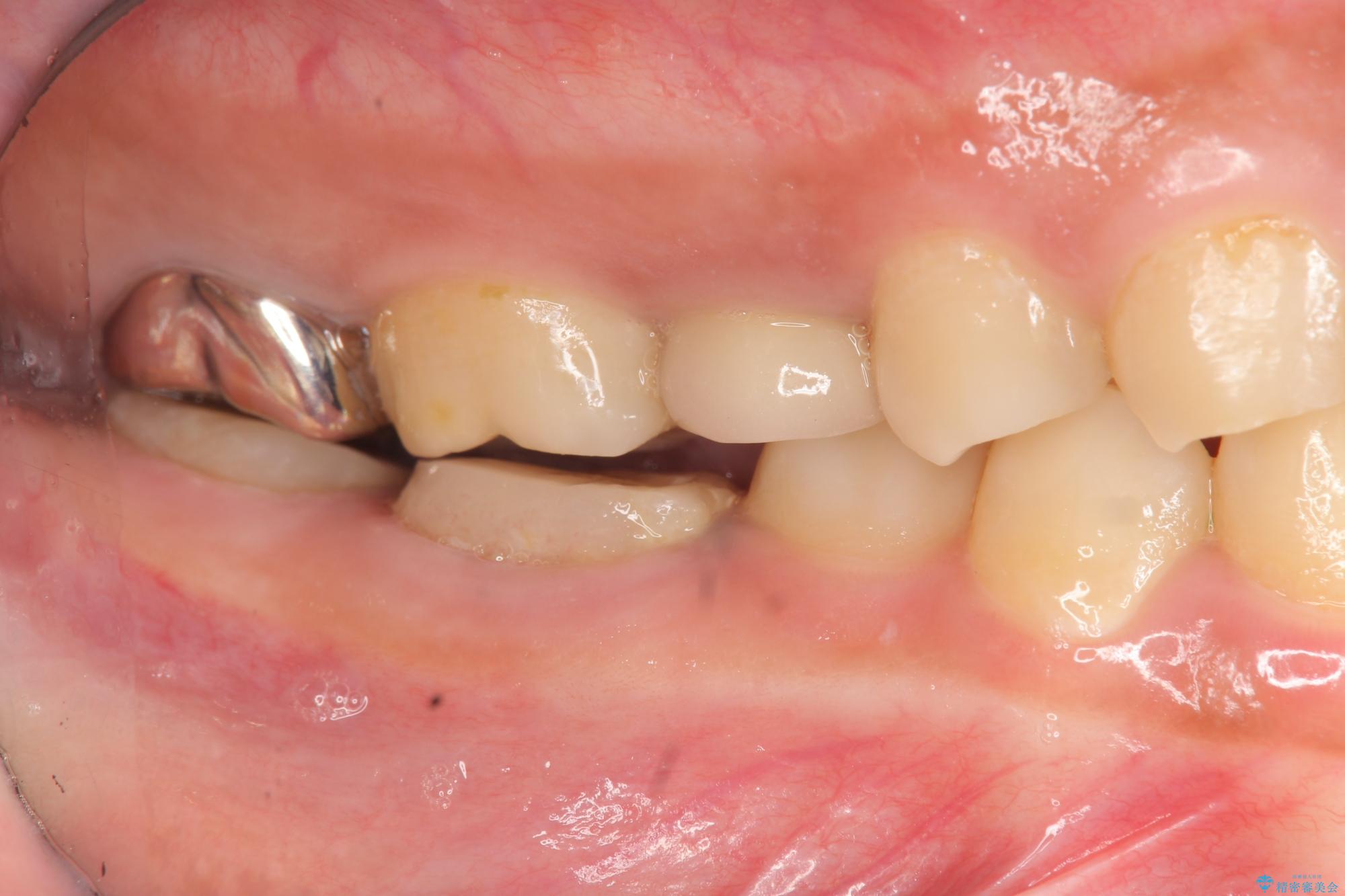
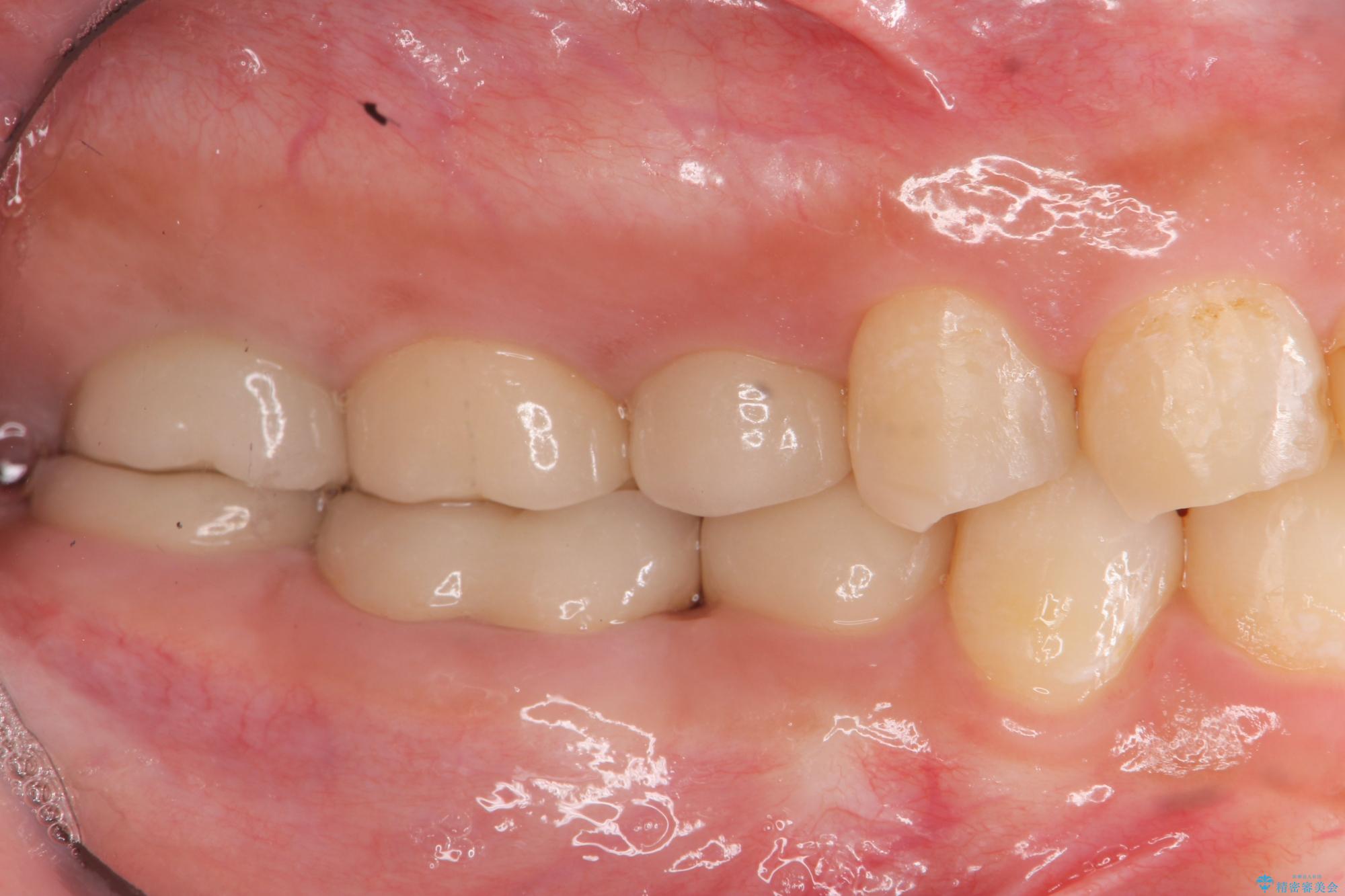
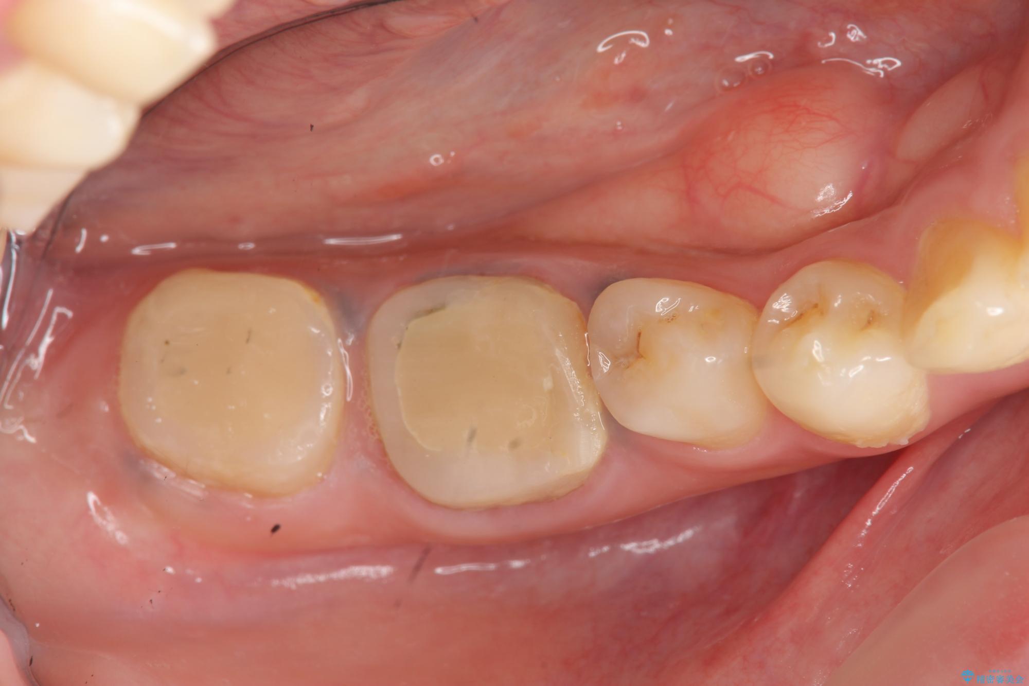
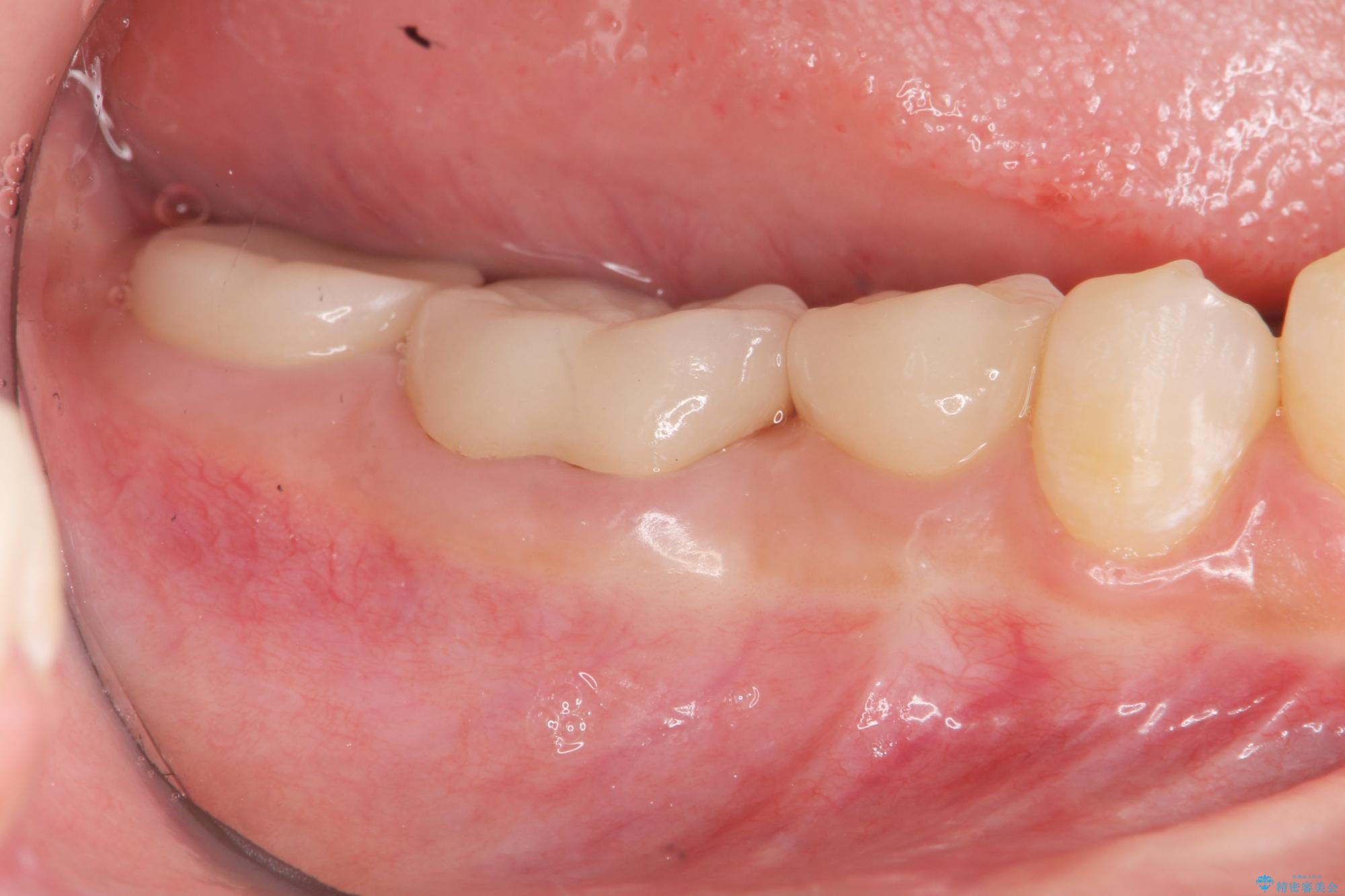
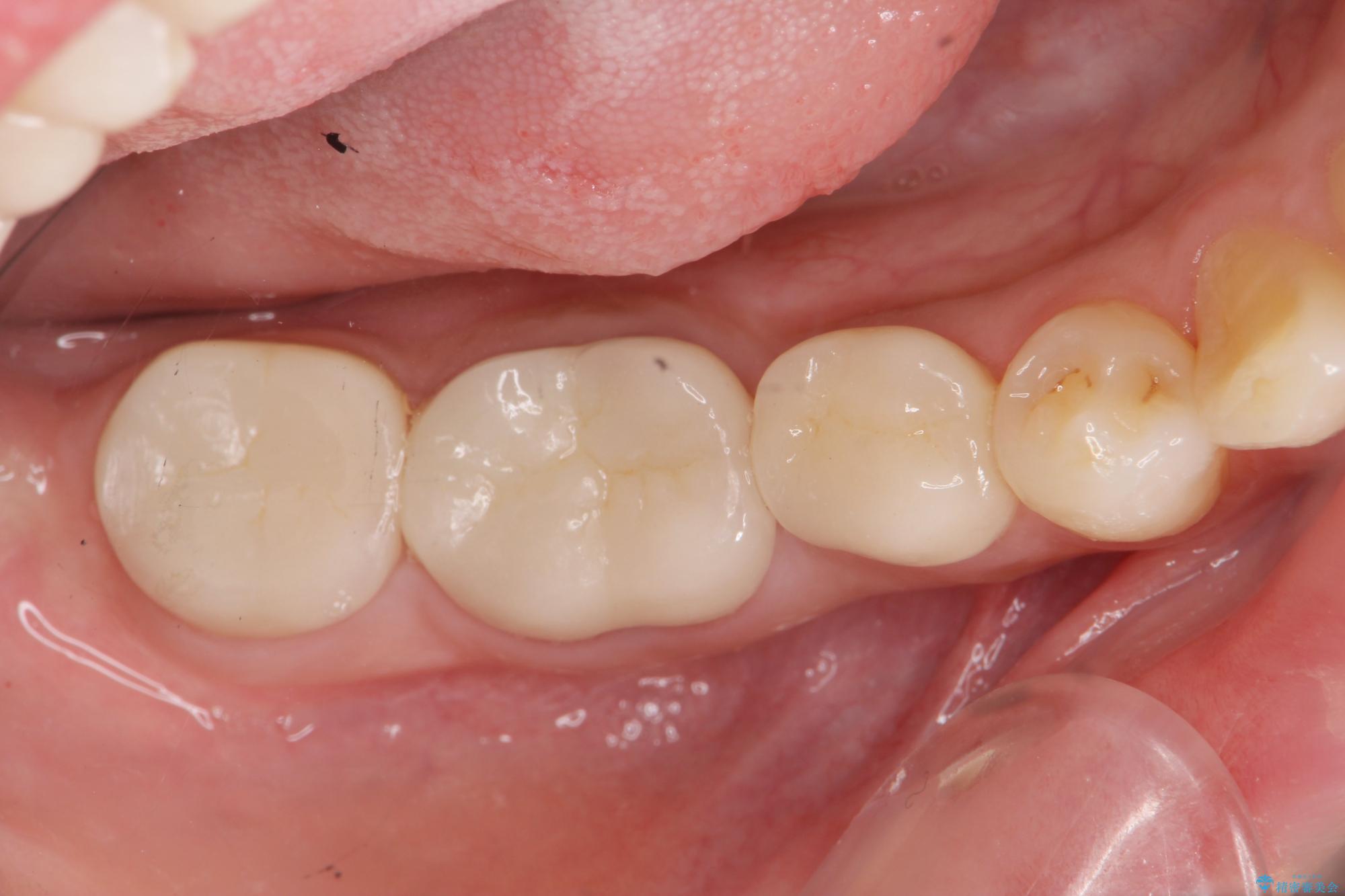
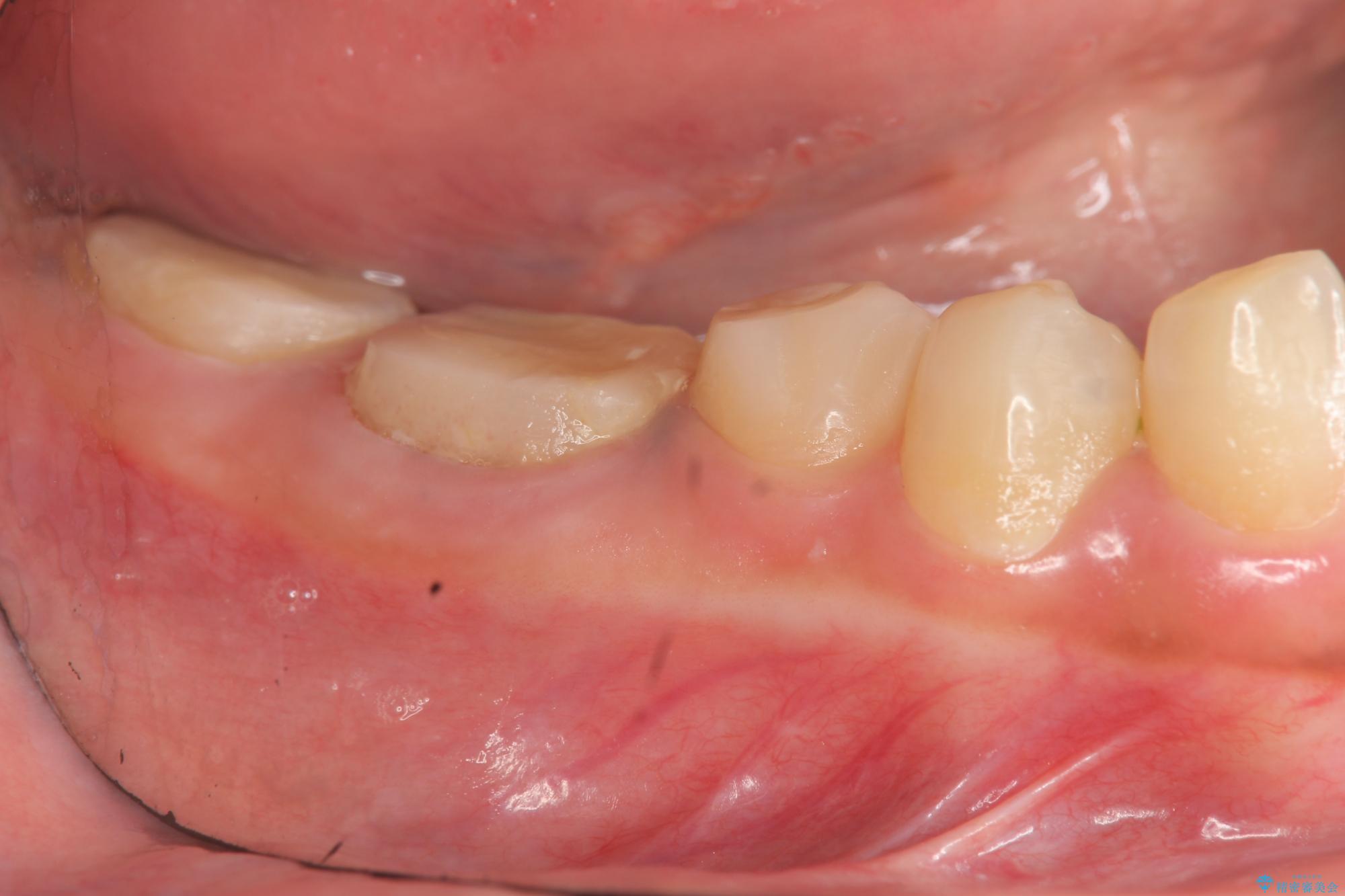
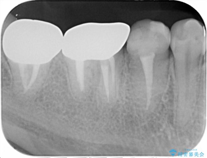
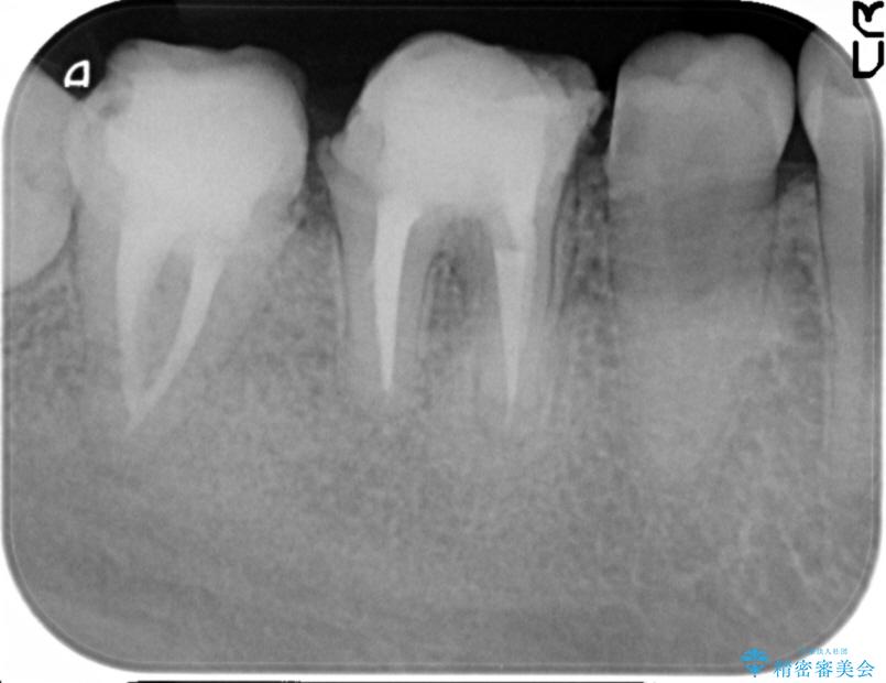
奥歯は既に根管治療が為されクラウンを装着する必要性がある状態ですが、歯の高さが低くクラウンの安定性・強度を担保するために歯周外科を行う治療計画としました。
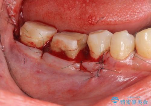
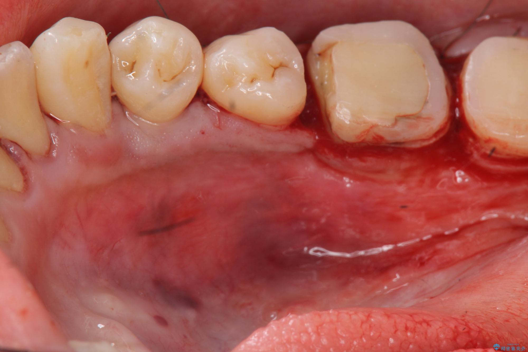
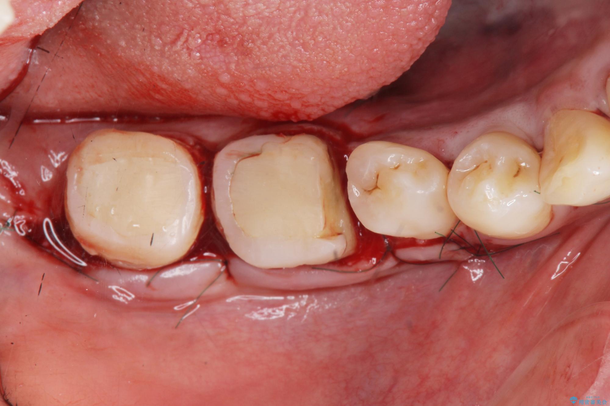
歯周外科を行うことで、歯ぐきの位置を下げ歯の高さを作り出し安定したクラウンの装着が可能となります。また同時に舌の邪魔となっていた骨隆起の除去を行うこととしました。
- 費用(概算)
- 37.4万円(ジルコニアクラウン×2・仮歯×2・歯周外科手術)費用は治療当時の料金となります
歯周外科を行う際の静脈麻酔について
歯周外科に際しては、静脈内麻酔を行うことでほとんど記憶のないうちにリラックスした状態で受けていただくことができました。
外科処置の注意事項(リスク・副作用など)
- 外科手術のため、術後に出血、痛みや腫れ、違和感を伴います
- 口腔内の状態によっては適応できないことがあります
セラミック治療の注意事項(リスク・副作用など)
- 天然歯を削ります
- 硬い素材は天然歯を傷つけてしまう場合があります
- かみ合わせや歯ぎしりが強すぎる方はセラミックが割れてしまう可能性があります
- 自費診療(保険適用外治療)となります
当サイトの内容、テキスト、画像等の無断転載、複製、複写、盗用を固く禁じます。














