症例・治療例紹介
Cases
その他 → 親知らず・埋伏歯の抜歯
1ページ目 / 3
正中過剰埋伏歯で生じた前歯の審美障害 矯正治療での改善


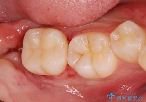
詰め物が欠けた フルジルコニアクラウン


大きく歯が欠けた。 外科処置を行ったセラミック治療


左下の親知らずが腫れた感じがする。
担当医 青山卓弘


斜めに生えてきている親知らずを抜きたい
担当医 青山卓弘


左の親知らず抜歯したい。
担当医 青山卓弘


右下親知らず抜きたい。
担当医 青山卓弘


奥歯にインプラントを入れて銀歯もやり替えたい。


[ 正中過剰埋伏歯 ] 正中離開・過蓋咬合のマウスピース矯正
担当医 大元洋佑
![[ 正中過剰埋伏歯 ] 正中離開・過蓋咬合のマウスピース矯正の症例 治療前](https://seimitsushinbi.jp/wp/wp-content/uploads/2024/11/C1-1-500x350.jpg?v=1731900434)
![[ 正中過剰埋伏歯 ] 正中離開・過蓋咬合のマウスピース矯正の症例 治療後](https://seimitsushinbi.jp/wp/wp-content/uploads/2024/11/IMG_9978-500x350.jpg?v=1731900241)
歯冠長延長術をおこなったアプローチの難しい虫歯治療


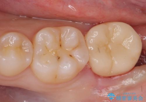
奥の虫歯 ジルコニアクラウンでの修復


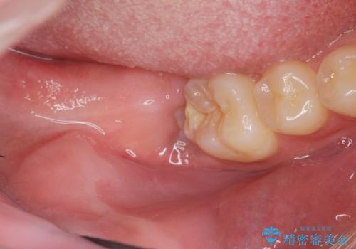
まっすぐ生えた親知らず抜歯
担当医 青山卓弘


左奥歯が痛い。(親知らず抜歯 ジルコニアクラウン)


親知らず、過剰歯抜歯の抜歯
担当医 青山卓弘


【根管治療】ズーンと痛い歯の治療。


外科処置の注意事項(リスク・副作用など)
- 外科手術のため、術後に出血、痛みや腫れ、違和感を伴います
- 口腔内の状態によっては適応できないことがあります
