症例・治療例紹介
Cases
最新の症例
【モニター】口が閉じにくい 膨らんだ口元を抜歯矯正ですっきりと


前歯のすき間、犬歯の異所萌出 乳歯を抜かずに矯正


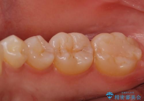
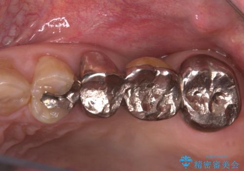
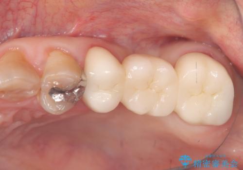
大きなむし歯と欠損をセラミックに 部分矯正を併用した総合歯科治療


中等度歯列不正 インビザライン・モデレートによる矯正治療
担当医 藤巻太一朗


欠損と治療途中の奥歯 インプラント治療と補綴治療


前歯のデコボコとクロスバイト インビザライン矯正治療


前歯を明るくしたい 前歯のオールセラミッククラウン治療


抜歯矯正で八重歯を改善 インビザライン矯正治療
担当医 藤巻太一朗


深い咬み合わせと前歯の隙間 ハーフリンガルによる矯正治療


前歯が2本ない ワイヤー装置での抜歯矯正


不正咬合で抜歯となった奥歯 インプラントによる咬合回復










