症例・治療例紹介
Cases
最新の症例
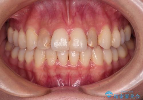
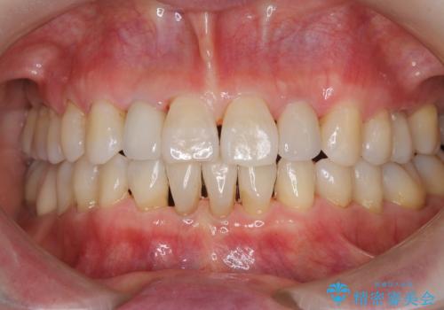
左上の前歯が出ているのが気になる 審美装置による非抜歯ワイヤー矯正


前歯をきれいにしたい オールセラミッククラウンにによる補綴
担当医 齋藤佑磨


アライナー矯正+インプラント治療で前歯を綺麗に並べました


歯医者が怖い 1DAYインプラントで外科処置の恐怖を軽減


【インビザライン】前歯のでこぼこ。真ん中の位置を合わせたい。
担当医 河口智英


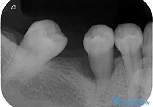
【1Dayインプラント治療! 低侵襲で短期間での治療】 咬むと歯が痛い! 歯根破折


放置したむし歯 抜歯後にインプラントで補綴治療


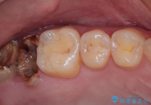
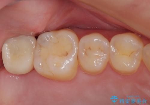
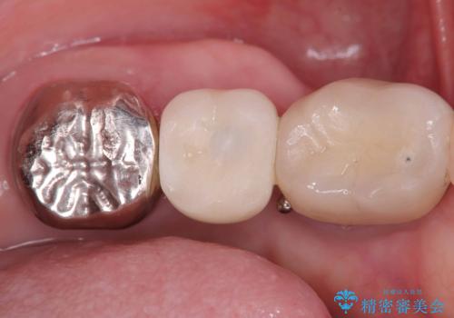
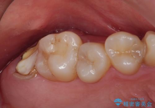
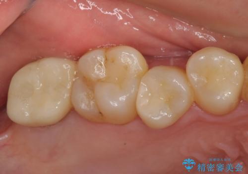
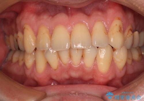
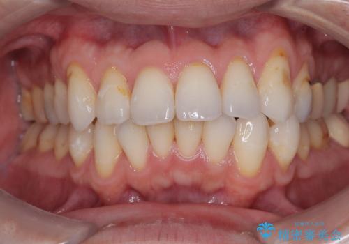
銀歯をなくしたい 全顎的なむし歯治療


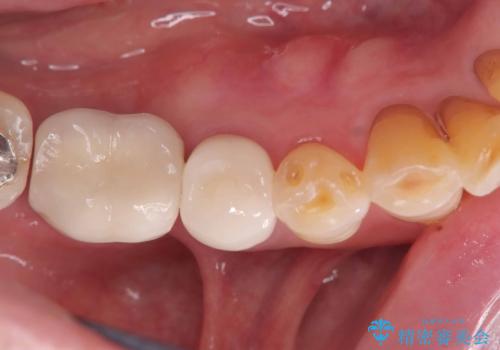
【オールセラミッククラウン】虫歯で歯が欠けた!
担当医 河野豊嘉


割れてしまった奥歯を1DAYインプラントで短期間治療


ワーキングホリデー前にきれいな歯列に










