症例・治療例紹介
Cases
最新の症例
歯肉の高さをそろえたい 前歯の審美歯科治療


抜かない矯正 前歯がとび出ているのをマウスピースで


昔ぶつけた前歯 つめもの変色


オールセラミッククラウン 根管治療後の補綴


歯冠長延長術を併用した審美的セラミック治療


米国で笑われた 保険のつめものをやり直す


インビザラインで前歯のがたつきを目立たずに矯正治療


オールセラミッククラウン 銀歯を白い歯へ


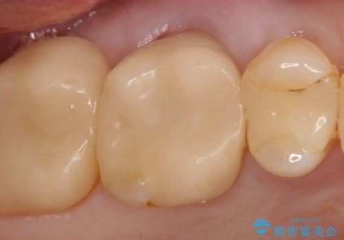
オールセラミッククラウン しみる歯の治療


前歯 インプラントによる欠損補綴


オールセラミッククラウン(スペシャル) 不揃いな前歯を美しく


差し歯をもっと自然に 30代女性


オールセラミッククラウン 根管治療・深い虫歯の治療


オールセラミッククラウン 土台ごと外れた前歯の補綴


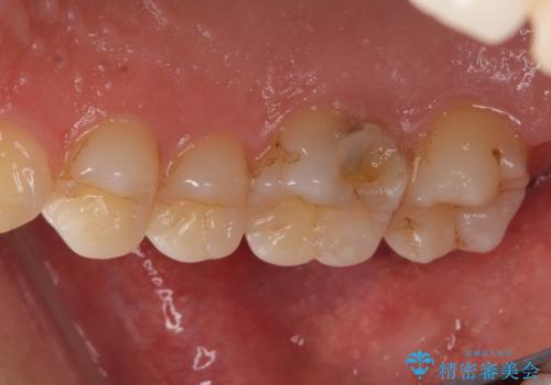
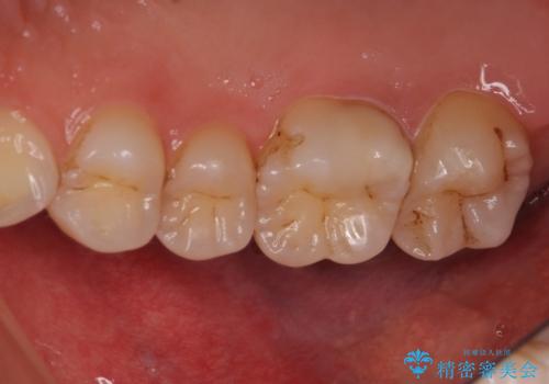
PGA(ゴールド)インレー しみる歯の治療


