症例詳細
Case detail
歯肉の高さをそろえたい 前歯の審美歯科治療
治療症例の内容
- 診療科目
- 治療カテゴリ
- 担当医
- 藤巻太一朗(ドクタープロフィール)
- 患者様
- 40代女性
- 治療期間
- 3ヶ月
- 治療回数
- 2-5回
- 治療計画
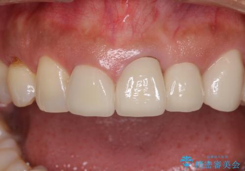
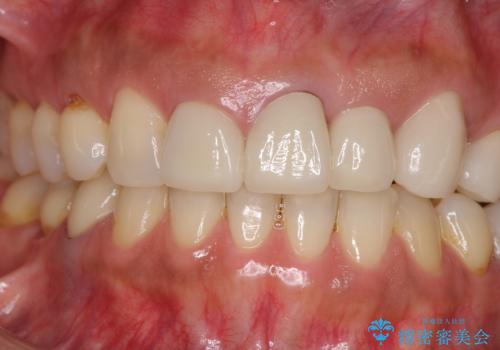
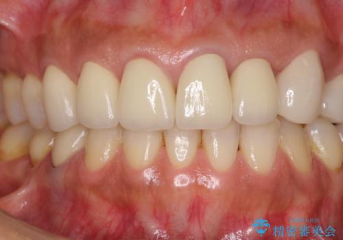
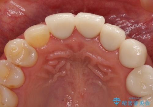
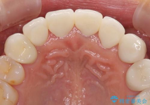
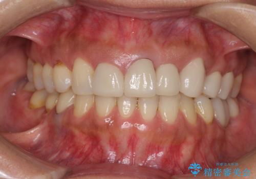
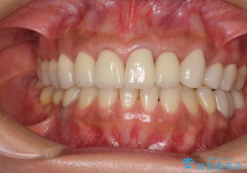
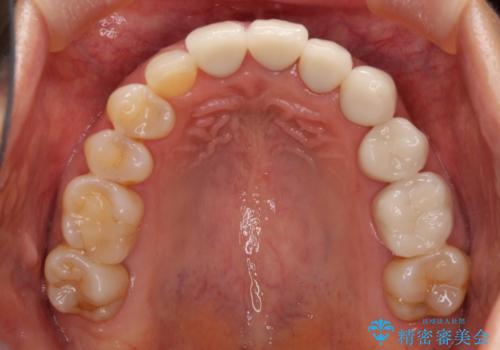
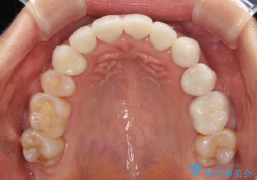
- 前歯の歯肉の高さが左右で異なっていることを気にして来院された患者様です。
歯肉レベルを調整するために歯周外科処置をおこない、その後にオールセラミッククラウンにて補綴することとしました。
- 費用(概算)
- 治療費の目安: 75万円費用は治療当時の料金となります
治療について
歯肉の位置を整えるには歯周外科処置が必要であると説明した際には、なかなか踏み切ることができず、大変悩まれていました。
処置後の痛みはあまり気にならず、歯肉位置の左右差もほとんどなくなり、患者様には大変満足していただきました。
歯周病治療の注意事項(リスク・副作用など)
- 外科手術のため、術後に痛みや腫れ、違和感を伴います
- 歯周組織再生治療は患者様の状態によって術後の経過が異なります(見た目が改善しない場合もあります)
- 歯周組織再生治療は自費診療(保険適用外)となります
セラミック治療の注意事項(リスク・副作用など)
- 天然歯を削ります
- 硬い素材は天然歯を傷つけてしまう場合があります
- かみ合わせや歯ぎしりが強すぎる方はセラミックが割れてしまう可能性があります
- 自費診療(保険適用外治療)となります
当サイトの内容、テキスト、画像等の無断転載、複製、複写、盗用を固く禁じます。














