症例・治療例紹介
Cases
最新の症例
裏打ちが金属のセラミッククラウンをオールセラミッククラウンで自然に


部分矯正を併用した奥歯のインプラント補綴治療


奥に引っ込んでいる歯をセラミックでかぶせたい 補綴前矯正 50代男性


変色した前歯のオールセラミック治療


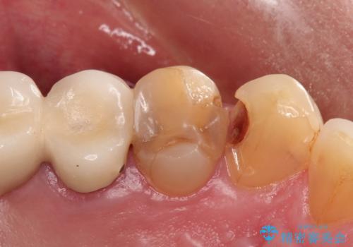
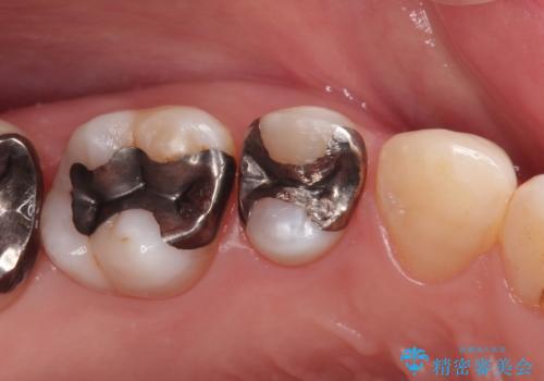
拡大鏡にて虫歯を除去。精度の高いセラミッククラウン
担当医 河口智英


奥歯が痛い。根管治療からセラミッククラウン
担当医 河口智英


インビザライン矯正とインプラント補綴 深い咬み合わせと奥歯の欠損治療


歯周病におかされた前歯の再建治療


奥歯が痛い! 中途半端な治療をしっかりとやり治す


歯周病にて保存不可能な歯をショートインプラントで回復する


大きな虫歯で崩壊した歯の修復


ハーフリンガル矯正 抜歯をして前歯を下げる


フルリンガル矯正 非抜歯でガタつきを整える






