症例・治療例紹介
Cases
最新の症例
前歯の歯並びが気になる マウスピース矯正 30代女性


ワイヤーによる抜歯矯正 全体的なガタガタを整った歯並びへ


[舌小帯形成術] ベロが短く話しづらい
担当医 大元洋佑
![[舌小帯形成術] ベロが短く話しづらいの症例 治療前](https://seimitsushinbi.jp/wp/wp-content/uploads/2020/03/60b841f31a5300682ba3155ab37e9144-500x350.jpg?v=1585569459)
![[舌小帯形成術] ベロが短く話しづらいの症例 治療後](https://seimitsushinbi.jp/wp/wp-content/uploads/2020/03/IMG_0011-2-500x350.jpg?v=1585569481)
[インビザライン ライト] 短期間(3.5ヶ月)で終わるマウスピース矯正
![[インビザライン ライト] 短期間(3.5ヶ月)で終わるマウスピース矯正の症例 治療前](https://seimitsushinbi.jp/wp/wp-content/uploads/2020/02/C3-500x350.jpg?v=1580813654)
![[インビザライン ライト] 短期間(3.5ヶ月)で終わるマウスピース矯正の症例 治療後](https://seimitsushinbi.jp/wp/wp-content/uploads/2020/02/2f36cdf472a802b537022ae239b8cb6b-500x350.jpg?v=1580813669)
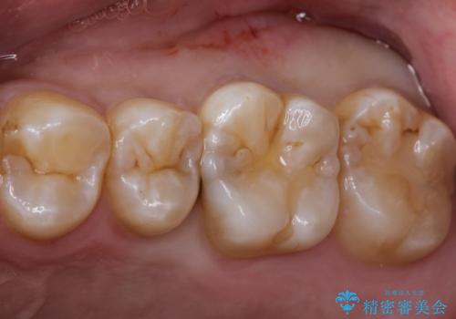
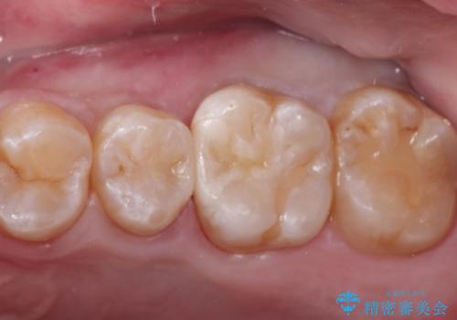
深いむし歯。根本的な治療
担当医 河口智英


奥歯のオールセラミックブリッジ


前歯が痛い。根管治療~セラミッククラウン
担当医 河口智英


治療したむし歯の再治療。セラミックにしたい!
担当医 河口智英


オールセラミッククラウン 外れてしまった銀歯の治療


上の前歯の根元が黒い 根の治療を含めたセラミック再治療


[遊離歯肉移植] インプラント周囲の角化歯肉の獲得
![[遊離歯肉移植] インプラント周囲の角化歯肉の獲得の症例 治療前](https://seimitsushinbi.jp/wp/wp-content/uploads/2020/01/ed937e86f21629e18e8c1dc62b85d1a9-500x350.jpg?v=1580303875)
![[遊離歯肉移植] インプラント周囲の角化歯肉の獲得の症例 治療後](https://seimitsushinbi.jp/wp/wp-content/uploads/2020/01/f8e73ac6cf91eb450f830ba6ff08cd3a-500x350.jpg?v=1580303890)
臼歯 咬合の再構成
担当医 大元洋佑


インビザライン矯正 神経のない歯をとって、全て天然歯に


セラミックインレー しみる歯の歯の治療




