症例・治療例紹介
Cases
最新の症例
【ヘミセクション】なんとか残したい、割れた奥歯。


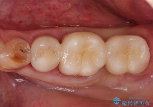
【メタルフリー】銀歯を白くしたい。オールセラミッククラウン。


奥歯が痛い。乳歯を抜歯し、ブリッジによる咬合回復。


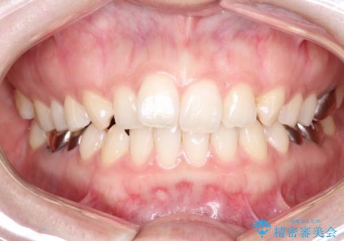
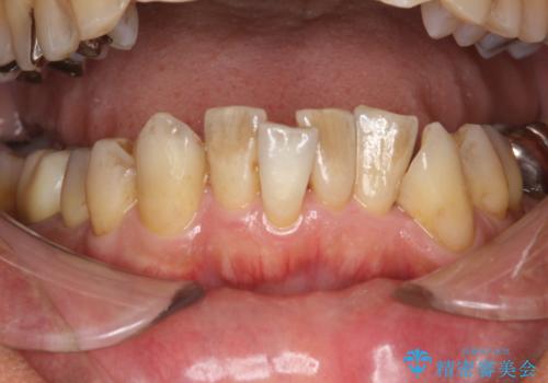
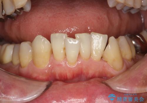
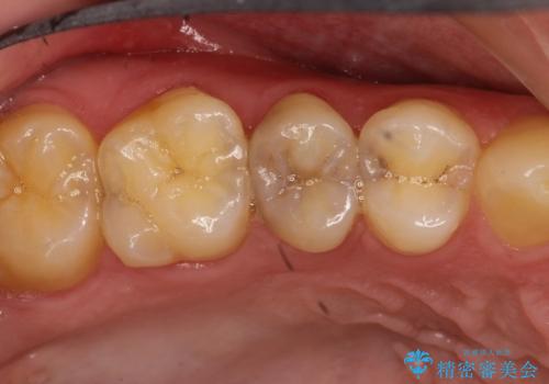
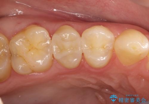
被せ物治療が終了したため全体的にクリーニングを
担当医 歯科衛生士


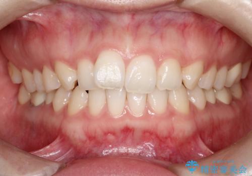
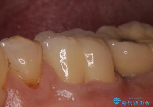
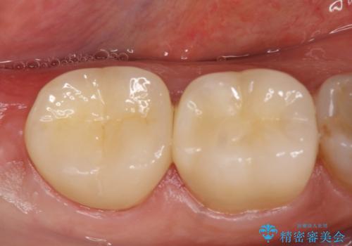
PMTCによるステインの除去
担当医 歯科衛生士


オールセラミッククラウン 前歯の被せ物を綺麗に


インプラント治療とインビザライン矯正治療 総合歯科治療


オールセラミッククラウン 口臭の原因であるフィステル(膿の出口)の治療


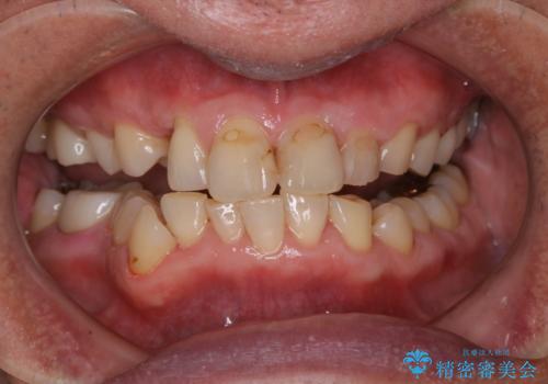
オールセラミッククラウン 咬むと痛む奥歯の根管治療


オールセラミッククラウン 奥歯の見た目の改善


オールセラミッククラウン 歯茎の腫れが引かない歯の治療


オールセラミッククラウン 被せ物の継ぎ目が気になる







![[歯周病再生治療] 根尖に至る骨欠損の改善の症例 治療前](https://seimitsushinbi.jp/wp/wp-content/uploads/2020/07/fd07978d0f24f1b65018bd958cf20263-500x350.jpg?v=1596021372)
![[歯周病再生治療] 根尖に至る骨欠損の改善の症例 治療後](https://seimitsushinbi.jp/wp/wp-content/uploads/2020/07/2b12ec0a179938fa563a1a354b3252f8-500x350.jpg?v=1596021396)