症例・治療例紹介
Cases
最新の症例
奥歯が痛い。根管治療
担当医 河口智英


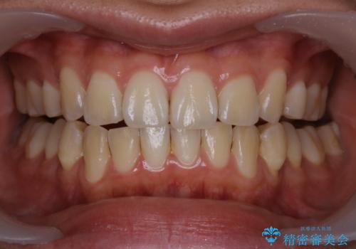
矯正治療が終了してからのメンテナンス
担当医 歯科衛生士


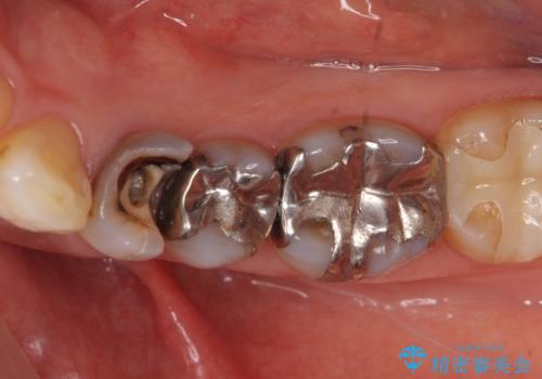
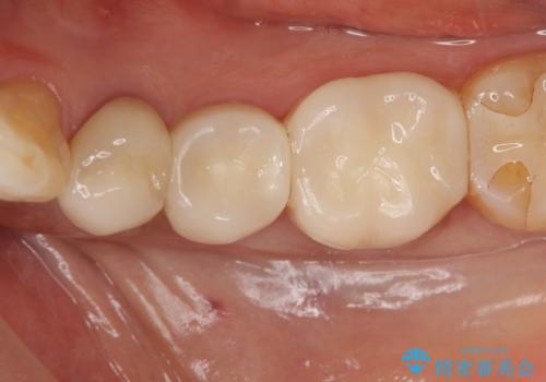
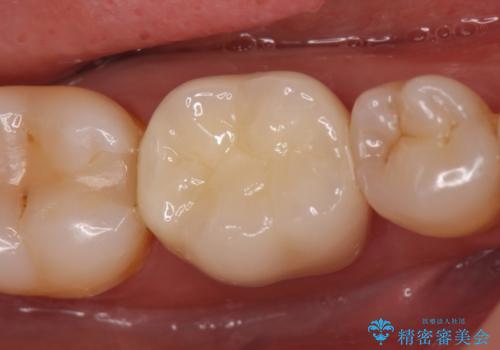
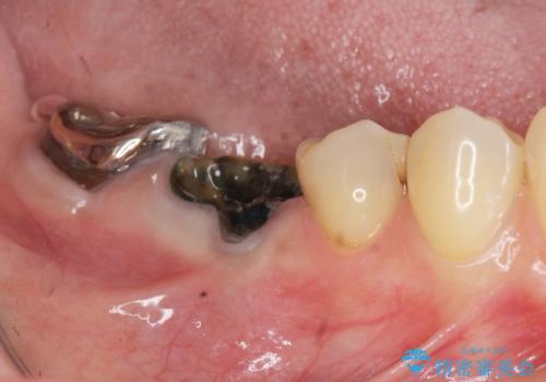
オールセラミッククラウン 奥歯の銀歯を白く


オールセラミッククラウン 他院にて抜歯と言われた歯の治療


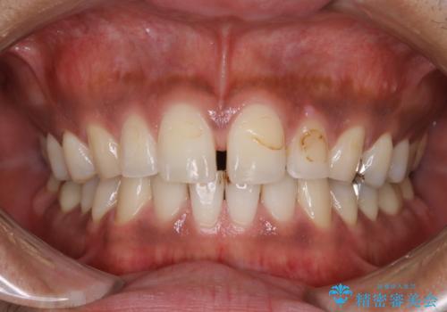
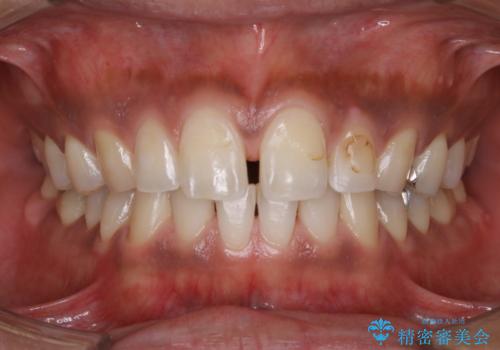
マスクをすると口臭が気になる
担当医 歯科衛生士


Whitening前のクリーニング
担当医 歯科衛生士


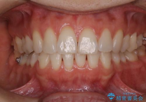
歯の着色落とし
担当医 歯科衛生士


前歯のガタガタ 治療期間がかかっても良いので非抜歯でマウスピースで


前歯のがたつき インビザラインで抜歯矯正
担当医 井上季実子


invisalign中のクリーニング
担当医 歯科衛生士


50代男性 受け口 他院で5年以上かかると治療を断られた
担当医 井上季実子


前歯ブリッジのやりかえ 下の歯のがたつき 銀歯を全てセラミックに


歯並びのがたつきを直したい ワイヤーは嫌 抜きたくない


オールセラミッククラウン 目立つ銀歯を白い歯へ




