症例・治療例紹介
Cases
最新の症例
結婚式前の歯のクリーニング PMTC
担当医 歯科衛生士


PMTC 歯科衛生士による専門的クリーニング
担当医 歯科衛生士


コーヒーによる着色をpmtcできれいに
担当医 歯科衛生士


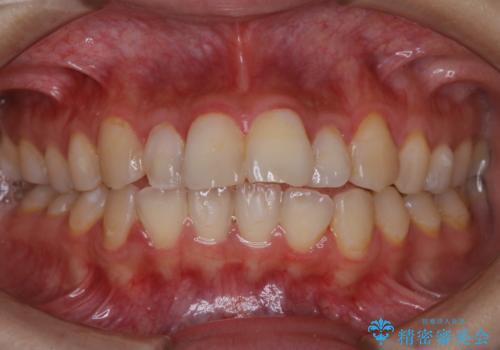
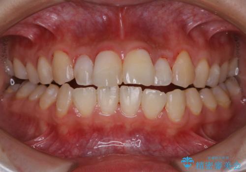
黒いところが気になる、前歯をきれいにしたい


部分矯正中のクリーニング
担当医 歯科衛生士


失った歯のインプラントでの咬合回復


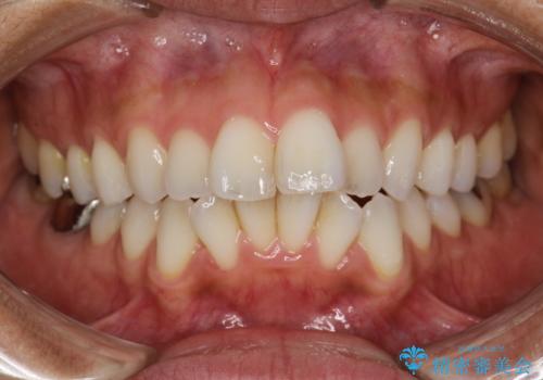
PMTCで歯石やステインの除去
担当医 歯科衛生士


歯周外科前のクリーニング
担当医 歯科衛生士


iTeroスキャン前のクリーニング
担当医 歯科衛生士


奥歯のインプラント ソケットリフト 60代男性


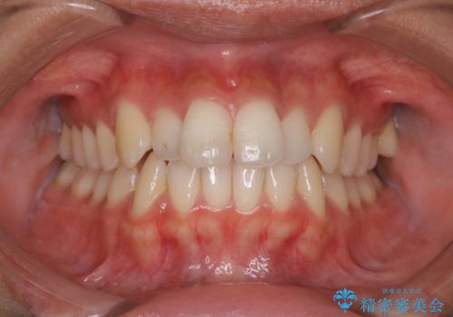
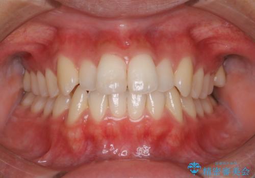
侵襲性歯周炎。前歯の歯周補綴


前歯が黒くなってきた。オールセラミッククラウン
担当医 河口智英


湾曲根管。精密根管治療
担当医 河口智英


セラミッククラウン。虫歯の治療
担当医 河口智英




