症例・治療例紹介
Cases
最新の症例
iTero Elementでスキャニング前にPMTC
担当医 歯科衛生士


invisalign矯正治療中のPMTC クリーニング
担当医 歯科衛生士


インビザライン中に歯の着色落としクリーニング PMTC
担当医 歯科衛生士


閉じにくい口元 前歯を引っ込める抜歯矯正


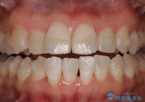
オールセラミッククラウン 歯茎から膿が出る歯の治療


前歯のクロスバイトを治したい インビザラインによる矯正治療


全く目立たないワイヤー矯正 上下リンガル矯正


上下の八重歯を治したい インビザラインと補助装置を用いた抜歯治療
担当医 藤巻太一朗


総合歯科治療 矯正治療と失活歯のセラミック補綴治療


八重歯のインビザライン矯正治療
担当医 藤巻太一朗


前歯のデコボコを解消 インビザラインによる矯正治療
担当医 藤巻太一朗


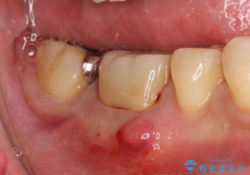
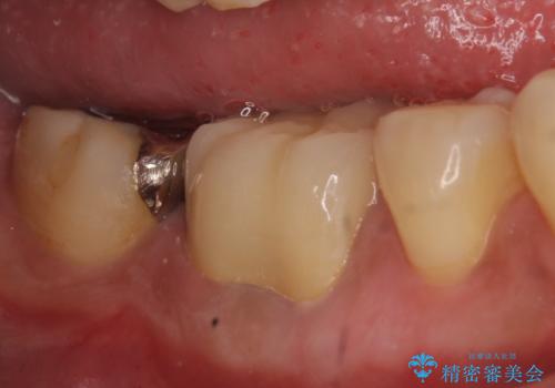
歯周病で抜歯に 奥歯のインプラント治療


オープンバイトでかみにくい インビザラインによる矯正治療
担当医 藤巻太一朗






