症例・治療例紹介
Cases
最新の症例
咬合平面を揃え、早期接触・干渉を防ぐ補綴治療


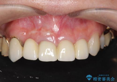
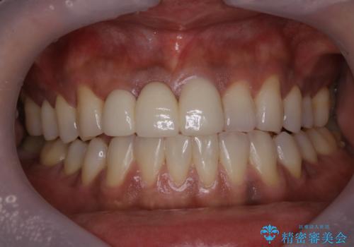
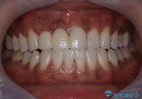
[歯ぐきの腫れを改善] 不適合なセラミッククラウン
![[歯ぐきの腫れを改善] 不適合なセラミッククラウンの症例 治療前](https://seimitsushinbi.jp/wp/wp-content/uploads/2021/05/d3698f75da5c9c2f1517ff65517f93ea-500x350.jpg?v=1620805736)
![[歯ぐきの腫れを改善] 不適合なセラミッククラウンの症例 治療後](https://seimitsushinbi.jp/wp/wp-content/uploads/2021/05/13abcd3b3530a8d46fdac3629a597138-500x350.jpg?v=1620805776)
歯医者に久しぶりの来院でPMTC60分コース
担当医 歯科衛生士


ワインによる黄ばみをPMTCできれいに除去
担当医 歯科衛生士


PMTCでメンテナンス
担当医 歯科衛生士


歯並びを含めて前歯をきれいにしたい インビザラインとセラミック治療


ワイヤー矯正終了時に装置除去と合わせてPMTC
担当医 歯科衛生士


インビザライン矯正治療中にPMTCでお口の中を清潔に
担当医 歯科衛生士


インビザラインの開始前に歯磨きのチェックとPMTC
担当医 歯科衛生士


ホワイトニング前にPMTCで歯石取り
担当医 歯科衛生士


前後に重なった前歯 ワイヤー装置と急速拡大装置を併用したインビザライン矯正


出血が止まらない インプラント補綴を用いた歯周病治療


八重歯と奥歯のクロスバイト 上顎骨を拡大してインビザラインで矯正






