症例・治療例紹介
Cases
最新の症例
歯と歯の間の着色をPMTCでできる限り除去
担当医 歯科衛生士


歯がぐらぐら 上顎洞底挙上術を併用した奥歯のインプラント 50代男性


矯正治療とセラミック治療が終了後のPMTC
担当医 歯科衛生士


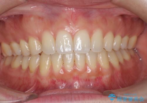
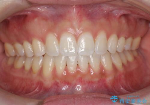
[前歯のグラつき] 根本的な前歯の審美治療を希望
![[前歯のグラつき] 根本的な前歯の審美治療を希望の症例 治療前](https://seimitsushinbi.jp/wp/wp-content/uploads/2021/05/629938b52c68d046e63cd665b21966f8-500x350.jpg?v=1621143093)
![[前歯のグラつき] 根本的な前歯の審美治療を希望の症例 治療後](https://seimitsushinbi.jp/wp/wp-content/uploads/2021/05/538a16b121bae8a84247f5fbfcf67138-500x350.jpg?v=1621143114)
歯が割れた 親知らずの移植 30代女性


前歯のガタガタをインビザラインで矯正


親知らずを起因とする虫歯治療


ワイヤー矯正を初めてから2カ月 歯磨き指導とPMTC
担当医 歯科衛生士


治療の前にPMTCできれいでツルツルな歯に
担当医 歯科衛生士


セラミックのチェックと合わせてPMTC
担当医 歯科衛生士


イベント前に綺麗な歯にしたい
担当医 歯科衛生士


気になる口臭をPMTCで改善
担当医 歯科衛生士


2カ月おきにメンテナンス
担当医 歯科衛生士





![[インビザライン ライト] 14枚のマウスピースで改善する軽度なガタつきの症例 治療前](https://seimitsushinbi.jp/wp/wp-content/uploads/2021/05/IMG_1782-500x350.jpg?v=1621059720)
![[インビザライン ライト] 14枚のマウスピースで改善する軽度なガタつきの症例 治療後](https://seimitsushinbi.jp/wp/wp-content/uploads/2021/05/IMG_0175-500x350.jpg?v=1621059777)