症例・治療例紹介
Cases
最新の症例
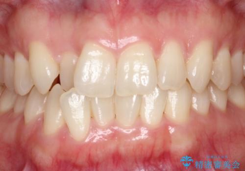
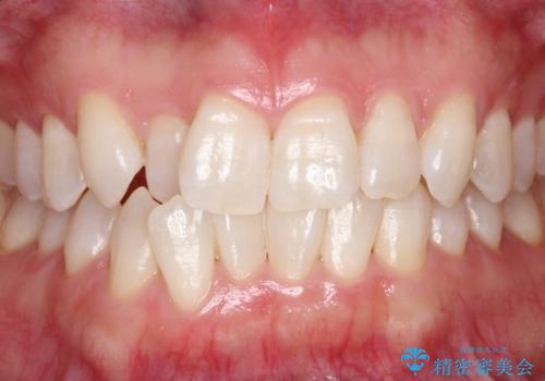
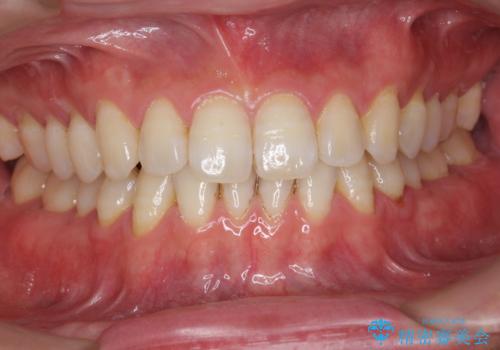
矯正を考えている方のPMTC
担当医 歯科衛生士


20代女性 出っ歯 口元を引っ込めたい


出っ歯 インビザラインで歯を抜かない治療


歯科医院での専門的なクリーニンング
担当医 歯科衛生士


インビザラインでのマウスピース矯正中にPMTCでステインの除去
担当医 歯科衛生士


奥歯がないまま過ごしていたら前歯もぐらぐらしてきた 60代女性


骨を再生させて歯周病を治す 再生療法 50代男性


審美装置でワイヤー矯正中の方 ワイヤーを外してPMTC
担当医 歯科衛生士


1年ぶりの歯医者でクリーニング
担当医 歯科衛生士


治療途中にステインをPMTCで除去
担当医 歯科衛生士


初めてのPMTC
担当医 歯科衛生士


虫歯の治療を始める前にPMTCできれいに
担当医 歯科衛生士








