症例・治療例紹介
Cases
最新の症例
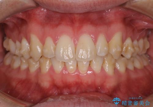
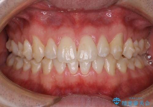
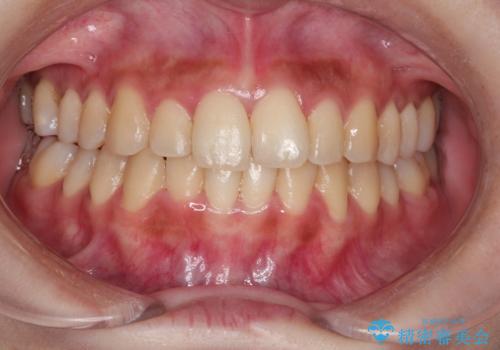
口元の突出感改善 なるべく銀歯を抜歯してワイヤー矯正
担当医 藤巻太一朗


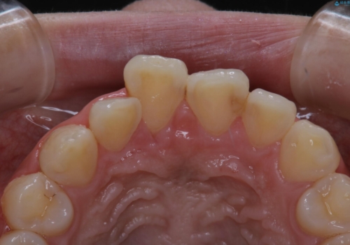
【八重歯・がたつきでお悩みの方必見】抜歯矯正症例(審美ワイヤー矯正)
担当医 奥村高広


他人から口臭を指摘されて初めてのPMTC
担当医 歯科衛生士


紅茶のステインをきれいにしたい
担当医 歯科衛生士


後戻りの再矯正治療と欠損部の補綴治療


歯周病の初期治療 歯石除去とクリーニングのみでの治療
担当医 歯科衛生士


前歯のがたつき ガミースマイルの改善


インビザライン中の着色落とし(PMTC)
担当医 歯科衛生士


PMTC60分コース(矯正中)
担当医 歯科衛生士


術前クリーニング+オフィスホワイトニングスペシャルコース
担当医 歯科衛生士


矯正スタートする前のクリーニング(PMTC)
担当医 歯科衛生士


【過蓋咬合・正中離開・奥歯のズレでお悩みの方必見】非抜歯矯正症例(顎骨の成長を利用)








