症例・治療例紹介
Cases
最新の症例
奥歯が欠けてしまった オールセラミッククラウンによる補綴治療
担当医 齋藤佑磨


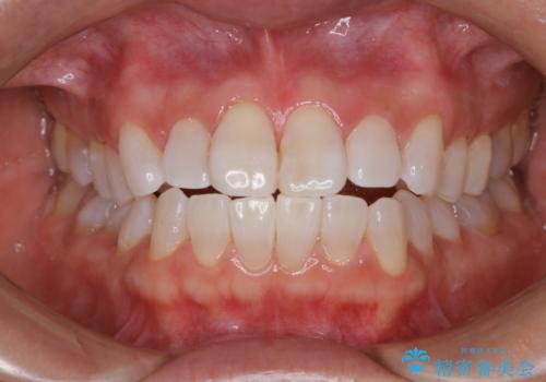
上下の前歯がかめない インビザライン矯正で正しいかみ合わせへ


放置した虫歯 インプラントによる機能回復


前歯が一本取れた オールセラミックブリッジによる補綴治療


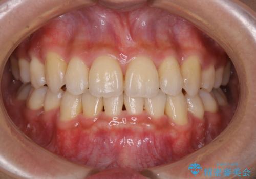
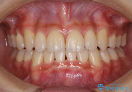
真ん中が右にずれている 前歯のがたつき 治療途中に地方へ引っ越したが、通ってワイヤー矯正


前歯のセラミックの被せ物に合わせてホワイトニング
担当医 歯科衛生士


軽度な着色落としは、30分コースのPMTC
担当医 歯科衛生士


PMTCの30分コース
担当医 歯科衛生士


インビザライン中のクリーニング(PMTC)
担当医 歯科衛生士


転んで前歯が折れた 何とか残したい


放置した虫歯 精密な治療の希望









![[ 2次カリエス ]クラウンのグラつき クラウン下の虫歯再発の症例 治療前](https://seimitsushinbi.jp/wp/wp-content/uploads/2022/06/4ae3379503827b239da023fb595493f5-500x350.jpg?v=1655105440)
![[ 2次カリエス ]クラウンのグラつき クラウン下の虫歯再発の症例 治療後](https://seimitsushinbi.jp/wp/wp-content/uploads/2022/06/6554e5a0ec335a2529564005c968f18a-500x350.jpg?v=1655105463)