症例・治療例紹介
Cases
最新の症例
欠損している歯をインプラント治療により元のように咬めるように


歯根が見えてしみる 歯肉移植による歯肉退縮の改善
担当医 藤巻太一朗


前歯のデコボコをスッキリ改善 インビザライン矯正
担当医 藤巻太一朗


やっぱり矯正をしたい セラミック治療の途中から矯正治療スタート


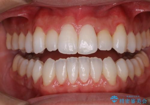
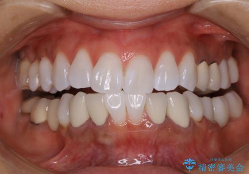
銀歯を白くしたい セラミックによる審美歯科治療


ワイヤーによる抜歯矯正でガタガタの改善


ワイヤー部分矯正を併用して治療期間を短縮 マウスピース矯正治療


前歯の見た目を改善したい
担当医 大元洋佑


着色落としにはPMTCを
担当医 歯科衛生士


奥歯の歯茎から膿が出る 根管治療とオールセラミッククラウン


治療後に歯茎から出血 インプラントとオールセラミッククラウンの補綴治療


金属の見えてしまったクラウン セラミッククラウンで自然に








