症例・治療例紹介
Cases
最新の症例
ワイヤー装置をインビザラインへ 装置変更での矯正治療
担当医 藤巻太一朗


転勤予定がある インビザラインによる矯正治療
担当医 藤巻太一朗


急速拡大装置 狭い上顎骨を拡大してワイヤー装置で短期間治療


【モニター】口が閉じにくい 目立たないワイヤー装置で口元を引っ込める


【モニター】八重歯と前歯のクロスバイト ワイヤーを併用しインビザラインで矯正治療


隙間が空いて突出した前歯を治したい ワイヤー装置による抜歯矯正


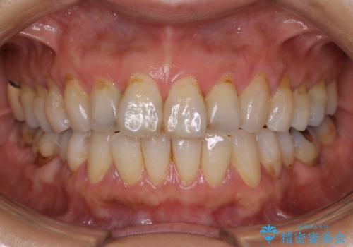
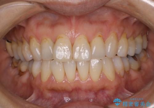
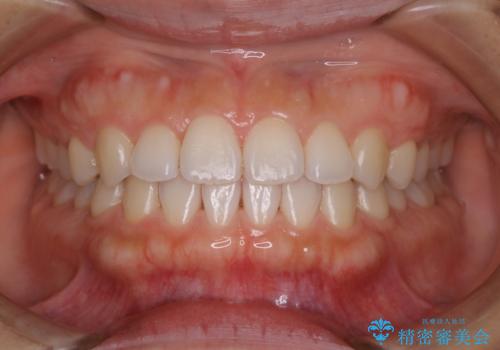
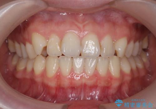
コーヒー、タバコなどで着色した歯をPMTCで、きれいに!!
担当医 歯科衛生士


インビザライン中の着色を落とす
担当医 歯科衛生士


クリーニングで虫歯の進行をストップ
担当医 歯科衛生士


矯正を終えた患者様のクリーニング
担当医 歯科衛生士


ワイヤーの調整日と一緒にクリーニングを
担当医 歯科衛生士










