症例・治療例紹介
Cases
最新の症例
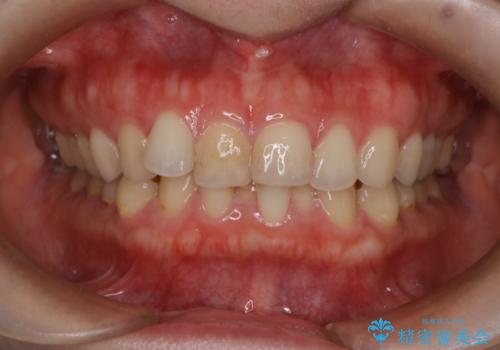
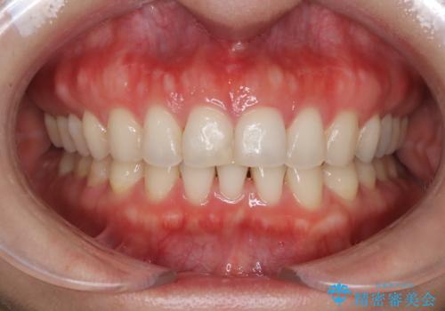
前歯が隠れていて見えない クロスバイトの矯正治療


前歯の色が気になる オールセラミッククラウン(SP)
担当医 菊地俊介


前歯のがたつき、八重歯 インビザラインで抜歯矯正


目立つ金属をすべてセラミックに 全顎的メタルフリー治療


ガタガタの歯並び、八重歯をなおしたい、骨格性下顎前突 カモフラージュ矯正


【インビザライン】前歯の凸凹を治したい。
担当医 河口智英


欠損した奥歯のインプラント補綴治療


海外赴任前に間に合わせたい 内部でむし歯が進行した奥歯の補綴治療


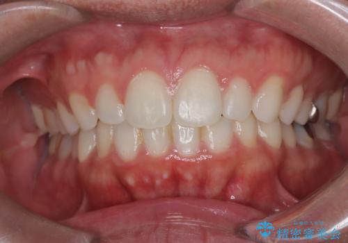
前歯のデコボコとクロスバイトを治したい ワイヤー装置による抜歯矯正


八重歯と出っ歯を治したい ワイヤー装置での抜歯矯正


根管治療の土台のまま放置してしまった前歯 オールセラミッククラウンによる補綴治療



![[セラミックインレー] 黒くなった歯の溝を白くしたいの症例 治療前](https://seimitsushinbi.jp/wp/wp-content/uploads/2023/08/IMG_3921-1-500x350.jpg?v=1693475092)
![[セラミックインレー] 黒くなった歯の溝を白くしたいの症例 治療後](https://seimitsushinbi.jp/wp/wp-content/uploads/2023/08/IMG_4342-500x350.jpg?v=1693475025)





