症例・治療例紹介
Cases
最新の症例
【非抜歯】受け口の改善 10代で始める本格的噛み合わせ治療


【抜歯】矯正治療とインプラントで正常な噛み合わせを実現
担当医 今村大二郎


【抜歯】歯の先天欠如 歯の本数が上下で違う場合の治療


【非抜歯】すきっ歯と噛み合わせの治療
担当医 今村大二郎


【非抜歯】下の前歯が1本少ない場合の矯正治療


【非抜歯】短期間で実現する前歯の反対咬合治療


【非抜歯】ガタつきと歯軸を正して長持ちする歯へ


空隙歯列を閉じる 舌のトレーニングとワイヤー矯正


【モニター】前歯のデコボコをインビザラインで改善
担当医 藤巻太一朗


深い咬み合わせとデコボコの歯列をワイヤー矯正で改善


銀歯を白くしたい
担当医 岡田康成


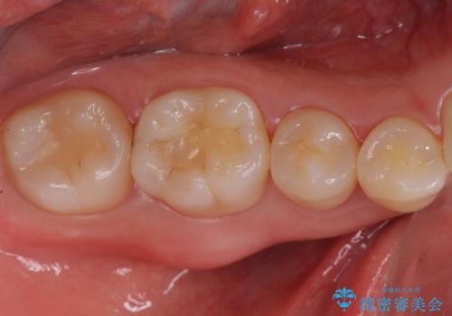
激しく痛む奥歯を治したい


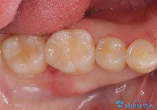
目立つ銀歯を白くしたい ジルコニアクラウンでの修復
担当医 岡田康成






